Suppr超能文献

原发性和转移性卵巢癌:3.0T扩散加权磁共振成像特征分析

Primary and metastatic ovarian cancer: Characterization by 3.0T diffusion-weighted MRI.

作者信息

Lindgren Auni, Anttila Maarit, Rautiainen Suvi, Arponen Otso, Kivelä Annukka, Mäkinen Petri, Härmä Kirsi, Hämäläinen Kirsi, Kosma Veli-Matti, Ylä-Herttuala Seppo, Vanninen Ritva, Sallinen Hanna

机构信息

Department of Gynaecology and Obstetrics, Kuopio University Hospital, Kuopio, Finland.

Institute of Clinical Medicine, School of Medicine, Gynaecology, University of Eastern Finland, Kuopio, Finland.

出版信息

Eur Radiol. 2017 Sep;27(9):4002-4012. doi: 10.1007/s00330-017-4786-z. Epub 2017 Mar 13.

Abstract

OBJECTIVES

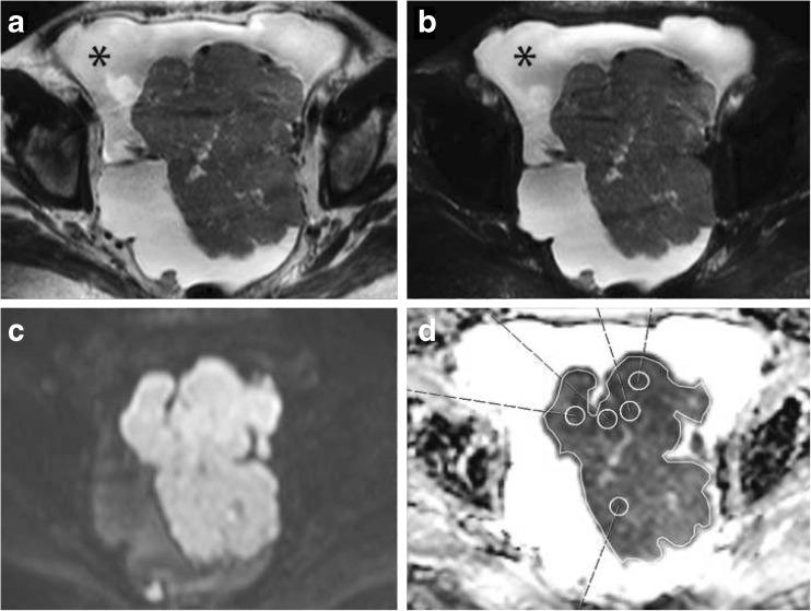
We aimed to investigate whether apparent diffusion coefficients (ADCs) measured by 3.0T diffusion-weighted magnetic resonance imaging (DWI) associate with histological aggressiveness of ovarian cancer (OC) or predict the clinical outcome. This prospective study enrolled 40 patients with primary OC, treated 2011-2014.

METHODS

DWI was performed prior to surgery. Two observers used whole lesion single plane region of interest (WLsp-ROI) and five small ROIs (S-ROI) to analyze ADCs. Samples from tumours and metastases were collected during surgery. Immunohistochemistry and quantitative reverse transcription polymerase chain reaction (qRT-PCR) were used to measure the expression of vascular endothelial growth factor (VEGF) and its receptors.

RESULTS

The interobserver reliability of ADC measurements was excellent for primary tumours ICC 0.912 (WLsp-ROI). Low ADCs significantly associated with poorly differentiated OC (WLsp-ROI P = 0.035). In primary tumours, lower ADCs significantly associated with high Ki-67 (P = 0.001) and low VEGF (P = 0.001) expression. In metastases, lower ADCs (WLsp-ROI) significantly correlated with low VEGF receptors mRNA levels. ADCs had predictive value; 3-year overall survival was poorer in patients with lower ADCs (WLsp-ROI P = 0.023, S-ROI P = 0.038).

CONCLUSION

Reduced ADCs are associated with histological severity and worse outcome in OC. ADCs measured with WLsp-ROI may serve as a prognostic biomarker of OC.

KEY POINTS

• Reduced ADCs correlate with prognostic markers: poor differentiation and high Ki-67 expression • ADCs also significantly correlated with VEGF protein expression in primary tumours • Lower ADC values are associated with poorer survival in ovarian cancer • Whole lesion single plane-ROI ADCs may be used as a prognostic biomarker in OC.

摘要

目的

我们旨在研究通过3.0T扩散加权磁共振成像(DWI)测量的表观扩散系数(ADC)是否与卵巢癌(OC)的组织学侵袭性相关或预测临床结果。这项前瞻性研究纳入了2011年至2014年接受治疗的40例原发性OC患者。

方法

在手术前进行DWI。两名观察者使用全病变单平面感兴趣区(WLsp-ROI)和五个小感兴趣区(S-ROI)分析ADC。在手术期间收集肿瘤和转移灶的样本。采用免疫组织化学和定量逆转录聚合酶链反应(qRT-PCR)检测血管内皮生长因子(VEGF)及其受体的表达。

结果

原发性肿瘤ADC测量的观察者间可靠性极佳,ICC为0.912(WLsp-ROI)。低ADC与低分化OC显著相关(WLsp-ROI,P = 0.0(此处原文有误,应为0.035))。在原发性肿瘤中,较低的ADC与高Ki-67(P = 0.001)和低VEGF(P = 0.001)表达显著相关。在转移灶中,较低的ADC(WLsp-ROI)与低VEGF受体mRNA水平显著相关。ADC具有预测价值;ADC较低的患者3年总生存率较差(WLsp-ROI,P = 0.023;S-ROI,P = 0.038)。

结论

OC中ADC降低与组织学严重程度和较差的预后相关。用WLsp-ROI测量的ADC可作为OC的预后生物标志物。

关键点

• ADC降低与预后标志物相关:低分化和高Ki-67表达 • ADC也与原发性肿瘤中的VEGF蛋白表达显著相关 • 较低的ADC值与卵巢癌较差的生存率相关 • 全病变单平面-ROI ADC可作为OC的预后生物标志物

https://cdn.ncbi.nlm.nih.gov/pmc/blobs/37fd/5544807/31c489ad7c4a/330_2017_4786_Fig1_HTML.jpg

文献检索

告别复杂PubMed语法,用中文像聊天一样搜索,搜遍4000万医学文献。AI智能推荐,让科研检索更轻松。

立即免费搜索

文件翻译

保留排版,准确专业,支持PDF/Word/PPT等文件格式,支持 12+语言互译。

免费翻译文档

深度研究

AI帮你快速写综述,25分钟生成高质量综述,智能提取关键信息,辅助科研写作。

立即免费体验