Suppr超能文献

mRNA前体的体外剪接:5' 切割位点可通过5' 剪接区域与U1 snRNA的5' 末端之间的相互作用来预测。

In vitro splicing of mRNA precursors: 5' cleavage site can be predicted from the interaction between the 5' splice region and the 5' terminus of U1 snRNA.

作者信息

Weber S, Aebi M

机构信息

Institut für Molekularbiologie I, Universität Zürich, Switzerland.

出版信息

Nucleic Acids Res. 1988 Jan 25;16(2):471-86. doi: 10.1093/nar/16.2.471.

Abstract

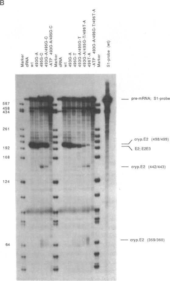
Combinations of different mutations within the 5' splice region of the rabbit beta-globin large intron were analyzed for their effect on in vitro splicing. Based upon the complementarity of the 5' splice region to the 5' terminal region of the U1 snRNA, the exact location of the 5' cleavage site of different mutants could be predicted and was experimentally confirmed. These findings add further strong support to the hypothesis (1) that the exact location of the 5' cleavage site in pre-mRNA splicing of higher eukaryotes is determined by the overall 5' splice region via the complementarity to the 5' end of the U1 snRNA, and not by the strongly conserved GU dinucleotide.

摘要

分析了兔β-珠蛋白大内含子5'剪接区域内不同突变的组合对体外剪接的影响。基于5'剪接区域与U1 snRNA 5'末端区域的互补性,可以预测不同突变体5'切割位点的精确位置,并通过实验得到了证实。这些发现进一步有力地支持了以下假设:(1)高等真核生物前体mRNA剪接中5'切割位点的精确位置是由整个5'剪接区域通过与U1 snRNA 5'末端的互补性决定的,而不是由高度保守的GU二核苷酸决定的。

https://cdn.ncbi.nlm.nih.gov/pmc/blobs/ce5e/334673/3eba48160837/nar00144-0103-a.jpg

文献检索

告别复杂PubMed语法,用中文像聊天一样搜索,搜遍4000万医学文献。AI智能推荐,让科研检索更轻松。

立即免费搜索

文件翻译

保留排版,准确专业,支持PDF/Word/PPT等文件格式,支持 12+语言互译。

免费翻译文档

深度研究

AI帮你快速写综述,25分钟生成高质量综述,智能提取关键信息,辅助科研写作。

立即免费体验