Suppr超能文献

通过正畸牙齿移动进行种植体植入的新骨形成。

New bone formation by orthodontic tooth movement for implant placement.

作者信息

Cabbar Fatih, Nur Rahime Burcu, Dikici Burcu, Canpolat Ceyhun, Capar Gonca Duygu

机构信息

Department of Oral and Maxillofacial Surgery, Faculty of Dentistry, Yeditepe University, Istanbul, Turkey.

Department of Orthodontics, Faculty of Dentistry, Yeditepe University, Istanbul, Turkey.

出版信息

Ann Maxillofac Surg. 2016 Jul-Dec;6(2):316-318. doi: 10.4103/2231-0746.200332.

Abstract

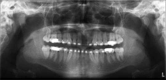
Bone defects at the anterior regions of the jaws often cause esthetic problems such as gingival disharmonies and longer crowns than neighboring teeth. Variety of procedures can be used in this region for achieving sufficient bone volume with or without different bone graft materials. All of these procedures has their own advantages and disadventages. New bone formation was defined with orthodontic tooth movement in different regions. In this case we present the use of orthodontic tooth movement, for achieving sufficient bone volume, in anterior maxillary region, for esthetic and functional results.

摘要

颌骨前部的骨缺损常常会导致美观问题,如牙龈不协调以及牙冠比相邻牙齿长。在该区域可采用多种方法,无论是否使用不同的骨移植材料来获得足够的骨量。所有这些方法都有其自身的优缺点。在不同区域,正畸牙齿移动可促进新骨形成。在此,我们介绍在前上颌区域利用正畸牙齿移动来获得足够的骨量,以实现美观和功能效果。

https://cdn.ncbi.nlm.nih.gov/pmc/blobs/8f44/5343651/16010ec91733/AMS-6-316-g001.jpg

文献检索

告别复杂PubMed语法,用中文像聊天一样搜索,搜遍4000万医学文献。AI智能推荐,让科研检索更轻松。

立即免费搜索

文件翻译

保留排版,准确专业,支持PDF/Word/PPT等文件格式,支持 12+语言互译。

免费翻译文档

深度研究

AI帮你快速写综述,25分钟生成高质量综述,智能提取关键信息,辅助科研写作。

立即免费体验