Gupta Amit, Anjomani-Virmouni Sara, Koundouros Nikos, Dimitriadi Maria, Choo-Wing Rayman, Valle Adamo, Zheng Yuxiang, Chiu Yu-Hsin, Agnihotri Sameer, Zadeh Gelareh, Asara John M, Anastasiou Dimitrios, Arends Mark J, Cantley Lewis C, Poulogiannis George
Signalling and Cancer Metabolism Team, Division of Cancer Biology, The Institute of Cancer Research, 237 Fulham Road, London SW3 6JB, UK.
Signalling and Cancer Metabolism Team, Division of Cancer Biology, The Institute of Cancer Research, 237 Fulham Road, London SW3 6JB, UK; Division of Computational and Systems Medicine, Department of Surgery and Cancer, Imperial College London, London SW7 2AZ, UK.
Mol Cell. 2017 Mar 16;65(6):999-1013.e7. doi: 10.1016/j.molcel.2017.02.019.
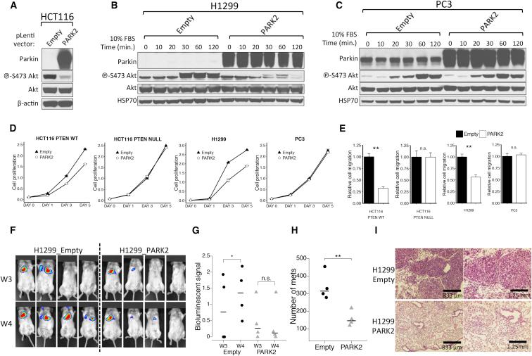
PARK2 is a gene implicated in disease states with opposing responses in cell fate determination, yet its contribution in pro-survival signaling is largely unknown. Here we show that PARK2 is altered in over a third of all human cancers, and its depletion results in enhanced phosphatidylinositol 3-kinase/Akt (PI3K/Akt) activation and increased vulnerability to PI3K/Akt/mTOR inhibitors. PARK2 depletion contributes to AMPK-mediated activation of endothelial nitric oxide synthase (eNOS), enhanced levels of reactive oxygen species, and a concomitant increase in oxidized nitric oxide levels, thereby promoting the inhibition of PTEN by S-nitrosylation and ubiquitination. Notably, AMPK activation alone is sufficient to induce PTEN S-nitrosylation in the absence of PARK2 depletion. Park2 loss and Pten loss also display striking cooperativity to promote tumorigenesis in vivo. Together, our findings reveal an important missing mechanism that might account for PTEN suppression in PARK2-deficient tumors, and they highlight the importance of PTEN S-nitrosylation in supporting cell survival and proliferation under conditions of energy deprivation.
PARK2是一种与细胞命运决定中具有相反反应的疾病状态相关的基因,但其在促生存信号传导中的作用在很大程度上尚不清楚。在此,我们表明,超过三分之一的人类癌症中PARK2发生改变,其缺失导致磷脂酰肌醇3-激酶/蛋白激酶B(PI3K/Akt)激活增强,并增加对PI3K/Akt/雷帕霉素靶蛋白(mTOR)抑制剂的敏感性。PARK2缺失促进了AMP激活的蛋白激酶(AMPK)介导的内皮型一氧化氮合酶(eNOS)激活、活性氧水平升高以及氧化型一氧化氮水平随之增加,从而通过S-亚硝基化和泛素化促进PTEN的抑制。值得注意的是,在没有PARK2缺失的情况下,单独的AMPK激活就足以诱导PTEN的S-亚硝基化。Park2缺失和Pten缺失在体内也表现出显著的协同作用以促进肿瘤发生。总之,我们的研究结果揭示了一个可能解释PARK2缺陷型肿瘤中PTEN抑制的重要缺失机制,并突出了PTEN的S-亚硝基化在能量剥夺条件下支持细胞存活和增殖的重要性。