Suppr超能文献

人类乙型肝炎病毒增强子的特性:位置效应和细胞类型非特异性

Properties of the human hepatitis B virus enhancer: position effects and cell-type nonspecificity.

作者信息

Vannice J L, Levinson A D

机构信息

Department of Molecular Biology, Genentech, Inc., South San Francisco, California 94080.

出版信息

J Virol. 1988 Apr;62(4):1305-13. doi: 10.1128/JVI.62.4.1305-1313.1988.

Abstract

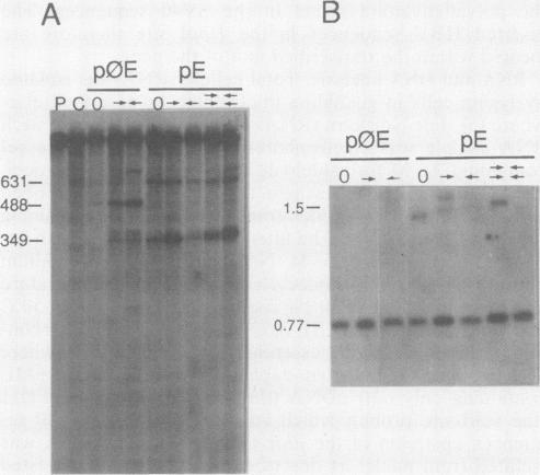
The genome of human hepatitis B virus (HBV) contains an enhancer element within a 360-base-pair transcribed region located between sequences encoding the virus surface and core antigens. Beyond the usual properties associated with enhancers (i.e., activity 5' or 3' of a heterologous promoter and relative orientation independence), DNA sequences encompassing this enhancer exhibited unexpected characteristics. Using gene expression assays in both stably and transiently transfected cells, we found that the HBV enhancer element, when located in a transcribed region of chimeric genes, dramatically increased expression levels of genes controlled by the simian virus 40 promoter/enhancer. This synergism was not observed, however, when the HBV enhancer was located outside of the transcribed region. When these transcribed sequences were reversed in orientation, expression levels decreased significantly. These data suggest that RNA stability and transcriptional activity may be affected by sequences associated with this DNA region. In contrast to the findings of others, we found that the HBV enhancer activated transcription in a relatively cell-type-independent manner when the enhancer was located either 5' of the promoter or in the 3' untranslated region of gene constructs. The implications of these and other properties of the HBV enhancer region on viral gene expression and its life cycle are discussed.

摘要

人类乙型肝炎病毒(HBV)的基因组在编码病毒表面抗原和核心抗原的序列之间的一个360个碱基对的转录区域内含有一个增强子元件。除了与增强子相关的常见特性(即异源启动子5'或3'的活性以及相对方向独立性)之外,包含该增强子的DNA序列还表现出意想不到的特征。通过在稳定和瞬时转染细胞中进行基因表达分析,我们发现,当位于嵌合基因的转录区域时,HBV增强子元件会显著提高由猿猴病毒40启动子/增强子控制的基因的表达水平。然而,当HBV增强子位于转录区域之外时,未观察到这种协同作用。当这些转录序列的方向颠倒时,表达水平显著下降。这些数据表明,RNA稳定性和转录活性可能受与该DNA区域相关的序列影响。与其他人的研究结果相反,我们发现,当增强子位于启动子的5'端或基因构建体的3'非翻译区域时,HBV增强子以相对细胞类型独立的方式激活转录。本文讨论了HBV增强子区域的这些及其他特性对病毒基因表达及其生命周期的影响。

https://cdn.ncbi.nlm.nih.gov/pmc/blobs/3c77/253142/21e50dcdfd88/jvirol00083-0224-a.jpg

文献检索

告别复杂PubMed语法,用中文像聊天一样搜索,搜遍4000万医学文献。AI智能推荐,让科研检索更轻松。

立即免费搜索

文件翻译

保留排版,准确专业,支持PDF/Word/PPT等文件格式,支持 12+语言互译。

免费翻译文档

深度研究

AI帮你快速写综述,25分钟生成高质量综述,智能提取关键信息,辅助科研写作。

立即免费体验