Centre for Stem Cells and Regenerative Medicine, Faculty of Life Sciences &Medicine, King's College London, 28th Floor, Tower Wing, Guy's Hospital, London SE1 9RT, UK.
Clinic for Dermatology and Venerology, Otto-von-Guericke-University, Leipziger Straße 44, Magdeburg D-39120, Germany.
Nat Commun. 2017 Mar 23;8:14744. doi: 10.1038/ncomms14744.
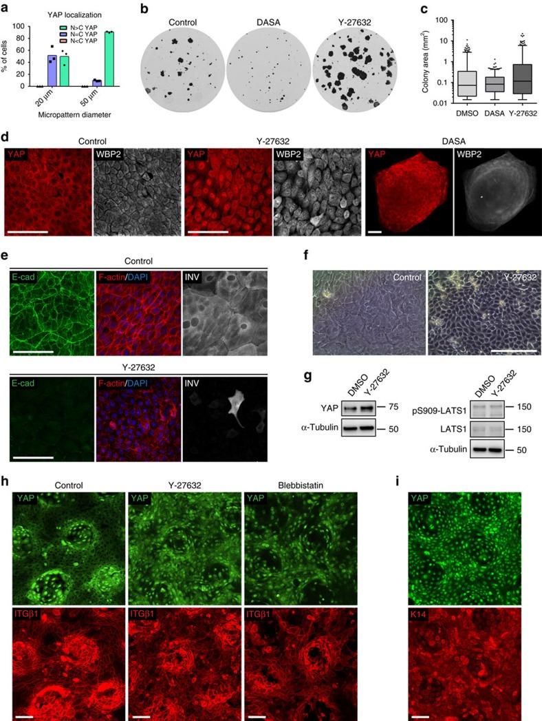
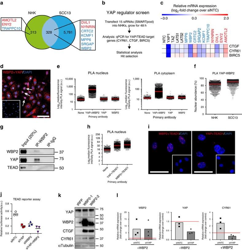
Individual human epidermal cells differ in their self-renewal ability. To uncover the molecular basis for this heterogeneity, we performed genome-wide pooled RNA interference screens and identified genes conferring a clonal growth advantage on normal and neoplastic (cutaneous squamous cell carcinoma, cSCC) human epidermal cells. The Hippo effector YAP was amongst the top positive growth regulators in both screens. By integrating the Hippo network interactome with our data sets, we identify WW-binding protein 2 (WBP2) as an important co-factor of YAP that enhances YAP/TEAD-mediated gene transcription. YAP and WPB2 are upregulated in actively proliferating cells of mouse and human epidermis and cSCC, and downregulated during terminal differentiation. WBP2 deletion in mouse skin results in reduced proliferation in neonatal and wounded adult epidermis. In reconstituted epidermis YAP/WBP2 activity is controlled by intercellular adhesion rather than canonical Hippo signalling. We propose that defective intercellular adhesion contributes to uncontrolled cSCC growth by preventing inhibition of YAP/WBP2.
个体的人类表皮细胞在自我更新能力上存在差异。为了揭示这种异质性的分子基础,我们进行了全基因组 pooled RNA 干扰筛选,鉴定了赋予正常和肿瘤(皮肤鳞状细胞癌,cSCC)人类表皮细胞克隆生长优势的基因。Hippo 效应因子 YAP 是两个筛选中排名最高的正向生长调节剂之一。通过将 Hippo 网络相互作用组与我们的数据集整合,我们确定 WW 结合蛋白 2(WBP2)是 YAP 的一个重要辅助因子,可增强 YAP/TEAD 介导的基因转录。YAP 和 WBP2 在活跃增殖的小鼠和人类表皮细胞和 cSCC 中上调,在终末分化过程中下调。在小鼠皮肤中删除 WBP2 会导致新生和受伤的成年表皮中的增殖减少。在重建的表皮中,YAP/WBP2 的活性受到细胞间黏附的控制,而不是经典的 Hippo 信号。我们提出,细胞间黏附的缺陷通过阻止 YAP/WBP2 的抑制,导致不受控制的 cSCC 生长。