Suppr超能文献

铜绿假单胞菌外膜蛋白F制剂作为大鼠模型中针对异源免疫型菌株慢性肺部感染的疫苗。

Outer membrane protein F preparation of Pseudomonas aeruginosa as a vaccine against chronic pulmonary infection with heterologous immunotype strains in a rat model.

作者信息

Gilleland H E, Gilleland L B, Matthews-Greer J M

机构信息

Department of Microbiology and Immunology, Louisiana State University Medical Center, School of Medicine, Shreveport 71130-3932.

出版信息

Infect Immun. 1988 May;56(5):1017-22. doi: 10.1128/iai.56.5.1017-1022.1988.

Abstract

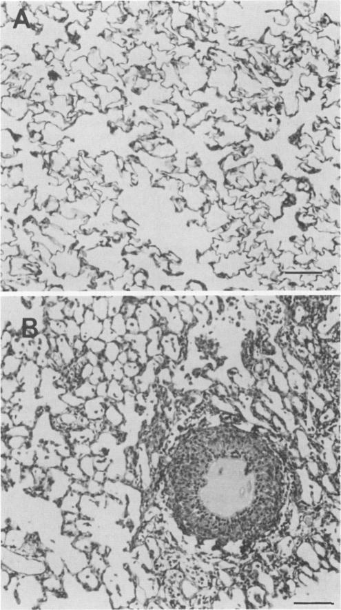
Outer membrane protein F (porin) was purified by extraction from polyacrylamide gels of cell envelope proteins of the Pseudomonas aeruginosa PAO1 strain. Rats were immunized intramuscularly with 25 micrograms of protein F on days 1 and 14 and then challenged on day 28 via intratracheal inoculation of bacterium-containing agar beads. On day 35 the lungs were either fixed for histological examination or submitted for quantitation of the bacteria present. protein F immunization afforded significant protection against challenge with six of six heterologous lipopolysaccharide immunotype strains of P. aeruginosa. By an enzyme-linked immunosorbent assay, the protein F-immunized rats had both immunoglobulin G and M antibody responses to cell envelopes of all six of the heterologous immunotype strains. Protein F immunization greatly enhanced the ability of the rats to clear the inoculated P. aeruginosa from the lungs and significantly reduced the incidence and severity of pulmonary lesions as compared with those in bovine serum albumin-immunized control rats. These data show the efficacy of outer membrane protein F as a protective vaccine in a rat model of chronic pulmonary infection.

摘要

外膜蛋白F(孔蛋白)通过从铜绿假单胞菌PAO1菌株的细胞包膜蛋白聚丙烯酰胺凝胶中提取而纯化。在第1天和第14天,用25微克蛋白F对大鼠进行肌肉注射免疫,然后在第28天通过气管内接种含细菌的琼脂珠进行攻毒。在第35天,将肺固定用于组织学检查或送去定量其中存在的细菌。蛋白F免疫为抵御六种异源脂多糖免疫型铜绿假单胞菌菌株的攻毒提供了显著保护。通过酶联免疫吸附测定法,经蛋白F免疫的大鼠对所有六种异源免疫型菌株的细胞包膜都有免疫球蛋白G和M抗体反应。与牛血清白蛋白免疫的对照大鼠相比,蛋白F免疫大大增强了大鼠从肺部清除接种的铜绿假单胞菌的能力,并显著降低了肺部病变的发生率和严重程度。这些数据表明外膜蛋白F作为慢性肺部感染大鼠模型中的一种保护性疫苗具有有效性。

https://cdn.ncbi.nlm.nih.gov/pmc/blobs/e35e/259755/855f31b00768/iai00077-0022-a.jpg

文献检索

告别复杂PubMed语法,用中文像聊天一样搜索,搜遍4000万医学文献。AI智能推荐,让科研检索更轻松。

立即免费搜索

文件翻译

保留排版,准确专业,支持PDF/Word/PPT等文件格式,支持 12+语言互译。

免费翻译文档

深度研究

AI帮你快速写综述,25分钟生成高质量综述,智能提取关键信息,辅助科研写作。

立即免费体验