• 文献检索
  • 文档翻译
  • 深度研究
  • 学术资讯
  • Suppr Zotero 插件Zotero 插件
  • 邀请有礼
  • 套餐&价格
  • 历史记录
应用&插件
Suppr Zotero 插件Zotero 插件浏览器插件Mac 客户端Windows 客户端微信小程序
定价
高级版会员购买积分包购买API积分包
服务
文献检索文档翻译深度研究API 文档MCP 服务
关于我们
关于 Suppr公司介绍联系我们用户协议隐私条款
关注我们

Suppr 超能文献

核心技术专利:CN118964589B侵权必究
粤ICP备2023148730 号-1Suppr @ 2026

文献检索

告别复杂PubMed语法,用中文像聊天一样搜索,搜遍4000万医学文献。AI智能推荐,让科研检索更轻松。

立即免费搜索

文件翻译

保留排版,准确专业,支持PDF/Word/PPT等文件格式,支持 12+语言互译。

免费翻译文档

深度研究

AI帮你快速写综述,25分钟生成高质量综述,智能提取关键信息,辅助科研写作。

立即免费体验

在一家结核病医院中,使用低剂量计算机断层扫描评估医护人员的肺结核情况。

Use of low-dose computed tomography to assess pulmonary tuberculosis among healthcare workers in a tuberculosis hospital.

作者信息

He Wei, Chen Bu-Dong, Lv Yan, Zhou Zhen, Xu Jin-Ping, Lv Ping-Xin, Zhou Xin-Hua, Ning Feng-Gang, Li Cheng-Hai, Wang Dong-Po, Zheng Jie

机构信息

Beijing Chest Hospital, Capital Medical University, No. 97 Beimachang, Tongzhou District, Beijing, 101149, China.

The school hospital, Beijing Science and Technology University, Beijing, 100083, China.

出版信息

Infect Dis Poverty. 2017 Mar 24;6(1):68. doi: 10.1186/s40249-017-0274-6.

DOI:10.1186/s40249-017-0274-6
PMID:28335802
原文链接:https://pmc.ncbi.nlm.nih.gov/articles/PMC5364637/
Abstract

BACKGROUND

According to the World Health Organization, China is one of 22 countries with serious tuberculosis (TB) infections and one of the 27 countries with serious multidrug-resistant TB strains. Despite the decline of tuberculosis in the overall population, healthcare workers (HCWs) are still at a high risk of infection. Compared with high-income countries, the TB prevalence among HCWs is higher in low- and middle-income countries. Low-dose computed tomography (LDCT) is becoming more popular due to its superior sensitivity and lower radiation dose. However, there have been no reports about active pulmonary tuberculosis (PTB) among HCWs as assessed with LDCT. The purposes of this study were to examine PTB statuses in HCWs in hospitals specializing in TB treatment and explore the significance of the application of LDCT to these workers.

METHODS

This study retrospectively analysed the physical examination data of healthcare workers in the Beijing Chest Hospital from September 2012 to December 2015. Low-dose lung CT examinations were performed in all cases. The comparisons between active and inactive PTB according to the CT findings were made using the Pearson chi-square test or the Fisher's exact test. Comparisons between the incidences of active PTB in high-risk areas and non-high-risk areas were performed using the Pearson chi-square test. Analyses of active PTB were performed according to different ages, numbers of years on the job, and the risks of the working areas. Active PTB as diagnosed by the LDCT examinations alone was compared with the final comprehensive diagnoses, and the sensitivity and positive predictive value were calculated.

RESULTS

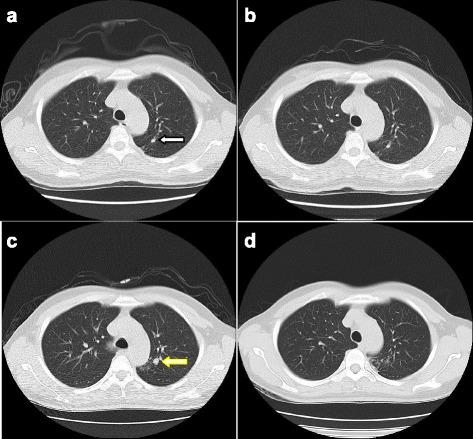
A total of 1 012 participants were included in this study. During the 4-year period of medical examinations, active PTB was found in 19 cases, and inactive PTB was found in 109 cases. The prevalence of active PTB in the participants was 1.24%, 0.67%, 0.81%, and 0.53% for years 2012 to 2015. The corresponding incidences of active PTB among the tuberculosis hospital participants were 0.86%, 0.41%, 0.54%, and 0.26%. Most HCWs with active TB (78.9%, 15/19) worked in the high-risk areas of the hospital. There was a significant difference in the incidences of active PTB between the HCWs who worked in the high-risk and non-high-risk areas (odds ratio [OR], 14.415; 95% confidence interval (CI): 4.733 - 43.896). Comparisons of the CT signs between the active and inactive groups via chi-square tests revealed that the tree-in-bud, cavity, fibrous shadow, and calcification signs exhibited significant differences (P = 0.000, 0.021, 0.001, and 0.024, respectively). Tree-in-bud and cavity opacities suggest active pulmonary tuberculosis, whereas fibrous shadow and calcification opacities are the main features of inactive pulmonary tuberculosis. Comparison with the final comprehensive diagnoses revealed that the sensitivity and positive predictive value of the diagnoses of active PTB based on LDCT alone were 100% and 86.4%, respectively.

CONCLUSIONS

Healthcare workers in tuberculosis hospitals are a high-risk group for active PTB. Yearly LDCT examinations of such high-risk groups are feasible and necessary.

摘要

背景

根据世界卫生组织的数据,中国是22个结核病(TB)感染严重的国家之一,也是27个耐多药结核菌株严重的国家之一。尽管总体人群中的结核病有所下降,但医护人员(HCWs)仍面临较高的感染风险。与高收入国家相比,低收入和中等收入国家医护人员中的结核病患病率更高。低剂量计算机断层扫描(LDCT)因其更高的灵敏度和更低的辐射剂量而越来越受欢迎。然而,尚无关于用LDCT评估医护人员活动性肺结核(PTB)的报告。本研究的目的是检查结核病专科医院医护人员的PTB状况,并探讨LDCT应用于这些工作人员的意义。

方法

本研究回顾性分析了2012年9月至2015年12月北京胸科医院医护人员的体检数据。所有病例均进行了低剂量肺部CT检查。根据CT结果对活动性和非活动性PTB进行比较,采用Pearson卡方检验或Fisher精确检验。采用Pearson卡方检验对高风险区域和非高风险区域活动性PTB的发病率进行比较。根据不同年龄、工作年限和工作区域风险对活动性PTB进行分析。将仅通过LDCT检查诊断的活动性PTB与最终综合诊断进行比较,并计算灵敏度和阳性预测值。

结果

本研究共纳入1012名参与者。在4年的体检期间,发现活动性PTB 19例,非活动性PTB 109例。2012年至2015年参与者中活动性PTB的患病率分别为1.24%、0.67%、0.81%和0.53%。结核病医院参与者中活动性PTB的相应发病率分别为0.86%、0.41%、0.54%和0.26%。大多数活动性结核病医护人员(78.9%,15/19)在医院的高风险区域工作。在高风险和非高风险区域工作的医护人员中,活动性PTB的发病率存在显著差异(优势比[OR],14.415;95%置信区间(CI):4.733 - 43.896)。通过卡方检验对活动组和非活动组的CT征象进行比较,发现树芽征、空洞、纤维影和钙化征有显著差异(P分别为0.000、0.021、0.001和0.024)。树芽征和空洞影提示活动性肺结核,而纤维影和钙化影是非活动性肺结核的主要特征。与最终综合诊断结果比较,仅基于LDCT诊断活动性PTB的灵敏度和阳性预测值分别为100%和86.4%。

结论

结核病医院的医护人员是活动性PTB的高危人群。对此类高危人群每年进行LDCT检查是可行且必要的。

https://cdn.ncbi.nlm.nih.gov/pmc/blobs/3879/5364637/3537e21f159e/40249_2017_274_Fig4_HTML.jpg
https://cdn.ncbi.nlm.nih.gov/pmc/blobs/3879/5364637/eeb5c6a34c59/40249_2017_274_Fig1_HTML.jpg
https://cdn.ncbi.nlm.nih.gov/pmc/blobs/3879/5364637/1beb4329cf77/40249_2017_274_Fig2_HTML.jpg
https://cdn.ncbi.nlm.nih.gov/pmc/blobs/3879/5364637/566d633bb631/40249_2017_274_Fig3_HTML.jpg
https://cdn.ncbi.nlm.nih.gov/pmc/blobs/3879/5364637/3537e21f159e/40249_2017_274_Fig4_HTML.jpg
https://cdn.ncbi.nlm.nih.gov/pmc/blobs/3879/5364637/eeb5c6a34c59/40249_2017_274_Fig1_HTML.jpg
https://cdn.ncbi.nlm.nih.gov/pmc/blobs/3879/5364637/1beb4329cf77/40249_2017_274_Fig2_HTML.jpg
https://cdn.ncbi.nlm.nih.gov/pmc/blobs/3879/5364637/566d633bb631/40249_2017_274_Fig3_HTML.jpg
https://cdn.ncbi.nlm.nih.gov/pmc/blobs/3879/5364637/3537e21f159e/40249_2017_274_Fig4_HTML.jpg

相似文献

1
Use of low-dose computed tomography to assess pulmonary tuberculosis among healthcare workers in a tuberculosis hospital.在一家结核病医院中,使用低剂量计算机断层扫描评估医护人员的肺结核情况。
Infect Dis Poverty. 2017 Mar 24;6(1):68. doi: 10.1186/s40249-017-0274-6.
2
Risk factors for pulmonary tuberculosis among health-care workers in Ibadan, Nigeria.尼日利亚伊巴丹医护人员中肺结核的危险因素。
Afr J Med Med Sci. 2010 Jun;39(2):105-12.
3
Epidemiological characteristics of pulmonary tuberculosis among health-care workers in Henan, China from 2010 to 2017.2010 年至 2017 年中国河南省医护人员肺结核的流行病学特征。
BMC Infect Dis. 2020 Jul 8;20(1):484. doi: 10.1186/s12879-020-05163-8.
4
Screening of health-care workers for latent tuberculosis infection in a Tertiary Care Hospital.在一家三级护理医院对医护人员进行潜伏性结核感染筛查。
Int J Mycobacteriol. 2017 Jul-Sep;6(3):253-257. doi: 10.4103/ijmy.ijmy_82_17.
5
[COMBINED USE OF INTERFERON-GAMMA RELEASE ASSAY AND LOW-DOSE COMPUTED TOMOGRAPHY FOR TUBERCULOSIS SCREENING PROGRAM OF HEALTH CARE WORKERS].[γ-干扰素释放试验与低剂量计算机断层扫描联合用于医护人员结核病筛查项目]
Kekkaku. 2015 Nov-Dec;90(11-12):683-7.
6
Occupational transmission of Mycobacterium tuberculosis to health care workers in a university hospital in Lima, Peru.秘鲁利马一家大学医院中结核分枝杆菌向医护人员的职业传播。
Clin Infect Dis. 2001 Sep 1;33(5):589-96. doi: 10.1086/321892. Epub 2001 Jul 25.
7
Occupational risk of tuberculosis among health care workers at the Institute for Pulmonary Diseases of Serbia.塞尔维亚肺病研究所医护人员患结核病的职业风险
Int J Tuberc Lung Dis. 2000 Sep;4(9):827-31.
8
Tuberculosis in health care workers in Malawi.马拉维医护人员中的结核病
Trans R Soc Trop Med Hyg. 1999 Jan-Feb;93(1):32-5. doi: 10.1016/s0035-9203(99)90170-0.
9
Prevalence of tuberculosis among health care workers in tuberculosis specialized hospitals in China.中国结核病专科医院医护人员的结核病患病率
J Occup Health. 2017 May 25;59(3):292-295. doi: 10.1539/joh.16-0251-BR. Epub 2017 Feb 15.
10
Incidence of tuberculosis infection among healthcare workers: risk factors and 20-year evolution.医护人员结核感染的发生率:危险因素和 20 年的演变。
Respir Med. 2013 Apr;107(4):601-7. doi: 10.1016/j.rmed.2012.12.008. Epub 2013 Jan 10.

引用本文的文献

1
Primary extrapulmonary tuberculosis diagnosis warrants extra-precautious pulmonary tuberculosis exclusion workup.原发性肺外结核的诊断需要格外谨慎地排除肺结核。
World J Clin Cases. 2024 Jun 26;12(18):3295-3297. doi: 10.12998/wjcc.v12.i18.3295.
2
Characteristics of culture-negative subclinical pulmonary tuberculosis: a single-center observation.culture阴性亚临床肺结核的特征:一项单中心观察研究
Multidiscip Respir Med. 2024 May 15;19(1):955. doi: 10.5826/mrm.2024.955.
3
Crosstalk of ferroptosis and oxidative stress in infectious diseases.

本文引用的文献

1
Occupational Risk Factors for Tuberculosis Among Healthcare Workers in KwaZulu-Natal, South Africa.南非夸祖鲁-纳塔尔省医护人员结核病的职业风险因素
Clin Infect Dis. 2016 May 15;62 Suppl 3(Suppl 3):S255-61. doi: 10.1093/cid/ciw046.
2
Spatial and temporal analysis of tuberculosis in Zhejiang Province, China, 2009-2012.2009 - 2012年中国浙江省结核病的时空分析
Infect Dis Poverty. 2016 Feb 23;5:11. doi: 10.1186/s40249-016-0104-2.
3
Risk of tuberculosis among healthcare workers in an intermediate-burden country: a nationwide population study.
传染病中细胞铁死亡与氧化应激的相互作用
Front Mol Biosci. 2023 Dec 7;10:1315935. doi: 10.3389/fmolb.2023.1315935. eCollection 2023.
4
Chest Radiographs and CT Findings during Healthcare Workers' Tuberculosis Screening Using Interferon-Gamma Release Assay: Retrospective Observational Study.使用干扰素-γ释放试验对医护人员进行结核病筛查期间的胸部X光片和CT表现:回顾性观察研究
Taehan Yongsang Uihakhoe Chi. 2021 Nov;82(6):1524-1533. doi: 10.3348/jksr.2020.0160. Epub 2021 Aug 27.
5
A Dual Role of Heme Oxygenase-1 in Tuberculosis.血红素加氧酶-1 在结核病中的双重作用。
Front Immunol. 2022 Feb 25;13:842858. doi: 10.3389/fimmu.2022.842858. eCollection 2022.
6
Exposure to Occupational Hazards among Health Care Workers in Low- and Middle-Income Countries: A Scoping Review.低收入和中等收入国家医护人员的职业危害暴露:一项范围综述
Int J Environ Res Public Health. 2021 Mar 5;18(5):2603. doi: 10.3390/ijerph18052603.
7
The use of a borderline zone for the interpretation of interferon-gamma release assay results for serial screening of healthcare workers.使用交界区来解释干扰素-γ释放试验结果,用于医护人员的连续筛查。
PLoS One. 2020 Jun 30;15(6):e0235254. doi: 10.1371/journal.pone.0235254. eCollection 2020.
中低负担国家医护人员的结核病发病风险:一项全国性人群研究。
J Infect. 2014 Dec;69(6):525-32. doi: 10.1016/j.jinf.2014.06.019. Epub 2014 Aug 15.
4
Clinical significance of residual lesions in chest computed tomography after anti-tuberculosis treatment.抗结核治疗后胸部计算机断层扫描残留病灶的临床意义
Int J Tuberc Lung Dis. 2014 Mar;18(3):341-6. doi: 10.5588/ijtld.13.0565.
5
Tuberculosis in healthcare workers - a narrative review from a German perspective.医护人员中的结核病——从德国视角出发的叙述性综述。
J Occup Med Toxicol. 2014 Mar 14;9(1):9. doi: 10.1186/1745-6673-9-9.
6
Tuberculosis contact investigation using interferon-gamma release assay with chest x-ray and computed tomography.结核分枝杆菌接触者γ-干扰素释放试验联合 X 线胸片与 CT 检查。
PLoS One. 2014 Jan 14;9(1):e85612. doi: 10.1371/journal.pone.0085612. eCollection 2014.
7
A prospective longitudinal study evaluating a T-cell-based assay for latent tuberculosis infection in health-care workers in a general hospital in Beijing.一项前瞻性纵向研究评估了一种基于 T 细胞的检测方法,用于检测北京一家综合医院的医护人员中的潜伏性结核感染。
Chin Med J (Engl). 2013;126(11):2039-44.
8
Cost effectiveness of high resolution computed tomography with interferon-gamma release assay for tuberculosis contact investigation.高分辨率计算机断层扫描联合γ干扰素释放试验在结核病接触者调查中的成本效益分析。
Eur J Radiol. 2013 Aug;82(8):1353-8. doi: 10.1016/j.ejrad.2013.02.017. Epub 2013 Mar 11.
9
Risk factors associated with tuberculosis infection among health care workers in Inner Mongolia, China.中国内蒙古地区医护人员结核病感染的相关危险因素。
Int J Tuberc Lung Dis. 2012 Nov;16(11):1485-91. doi: 10.5588/ijtld.12.0193. Epub 2012 Sep 7.
10
Inter-rater agreement in the assessment of abnormal chest X-ray findings for tuberculosis between two Asian countries.中澳结核菌素皮肤试验临床应用指南(2023 年版)
BMC Infect Dis. 2012 Feb 1;12:31. doi: 10.1186/1471-2334-12-31.