Suppr超能文献

右心房钙化血栓:长期留置中心静脉导管罕见但可治疗的并发症。

Calcified Thrombus in Right Atrium: Rare but Treatable Complication of Long-term Indwelling Central Venous Catheter.

作者信息

Fabi Marianna, Gesuete Valentina, Testa Gabriella, Balducci Anna, Picchio Fernando Maria, Gargiulo Gaetano

机构信息

Pediatric Cardiology Unit, S.Orsola-Malpighi Hospital, Bologna, Italy.

Pediatric Cardiac Surgery Unit, S.Orsola-Malpighi Hospital, Bologna, Italy.

出版信息

Cardiol Res. 2011 Aug;2(4):189-192. doi: 10.4021/cr24w. Epub 2011 Jul 25.

Abstract

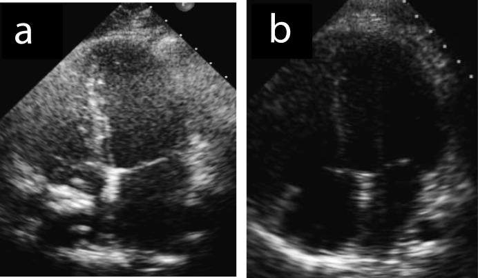
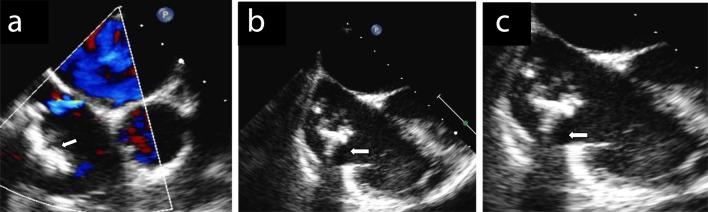
Catheter-related central thrombosis is a rare complication of long-term central line. We describe the case of an asymptomatic boy who was diagnosed a calcified thrombus in right atrium eight years after the removal of a long-term central venous device. Although the most appropriate therapeutic approach for managing floating right heart thrombi remains to be determined, surgical removal is an effective and safe procedure for calcified long-standing thrombus and it is to be preferred in elective conditions especially in young asymptomatic patients without hemodynamic involvement, that are at low risk of surgery-related morbidity and mortality.

摘要

导管相关的中心静脉血栓形成是长期中心静脉置管的一种罕见并发症。我们描述了一例无症状男孩的病例,该男孩在拔除长期中心静脉装置八年后被诊断出右心房有钙化血栓。尽管处理漂浮性右心血栓的最合适治疗方法仍有待确定,但手术切除对于钙化的长期血栓是一种有效且安全的方法,在择期情况下,尤其是对于没有血流动力学受累、手术相关发病率和死亡率风险较低的年轻无症状患者,手术切除是首选。

https://cdn.ncbi.nlm.nih.gov/pmc/blobs/e88b/5358228/f63bc1622887/cr-02-189-g001.jpg

文献AI研究员

20分钟写一篇综述,助力文献阅读效率提升50倍。

立即体验

用中文搜PubMed

大模型驱动的PubMed中文搜索引擎

马上搜索

文档翻译

学术文献翻译模型,支持多种主流文档格式。

立即体验