• 文献检索
  • 文档翻译
  • 深度研究
  • 学术资讯
  • Suppr Zotero 插件Zotero 插件
  • 邀请有礼
  • 套餐&价格
  • 历史记录
应用&插件
Suppr Zotero 插件Zotero 插件浏览器插件Mac 客户端Windows 客户端微信小程序
定价
高级版会员购买积分包购买API积分包
服务
文献检索文档翻译深度研究API 文档MCP 服务
关于我们
关于 Suppr公司介绍联系我们用户协议隐私条款
关注我们

Suppr 超能文献

核心技术专利:CN118964589B侵权必究
粤ICP备2023148730 号-1Suppr @ 2026

文献检索

告别复杂PubMed语法,用中文像聊天一样搜索,搜遍4000万医学文献。AI智能推荐,让科研检索更轻松。

立即免费搜索

文件翻译

保留排版,准确专业,支持PDF/Word/PPT等文件格式,支持 12+语言互译。

免费翻译文档

深度研究

AI帮你快速写综述,25分钟生成高质量综述,智能提取关键信息,辅助科研写作。

立即免费体验

一名抗中性粒细胞胞浆抗体相关性血管炎患者在诱导治疗期间发生的致命肺部并发症。

Fatal pulmonary complication during induction therapy in a patient with ANCA-associated vasculitis.

作者信息

Jonaitytė Brigita, Kibarskytė Rūta, Danila Edvardas, Miglinas Marius, Šeinin Dmitrij, Stulpinas Rokas, Mitrikevičienė Jurgita, Gruslys Vygantas, Šileikienė Virginija, Zablockis Rolandas

机构信息

Faculty of Medicine of Vilnius University, Vilnius, Lithuania.

Clinic of Infectious and Chest Diseases, Dermatovenereology and Allergology of Vilnius University.

出版信息

Acta Med Litu. 2016;23(2):142-146. doi: 10.6001/actamedica.v23i2.3331.

DOI:10.6001/actamedica.v23i2.3331
PMID:28356801
原文链接:https://pmc.ncbi.nlm.nih.gov/articles/PMC5088747/
Abstract

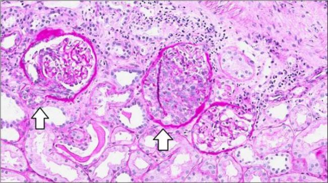
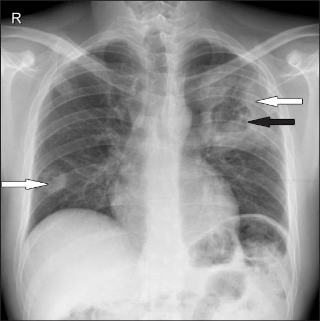
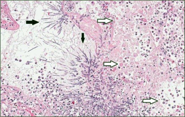
ANCA-associated vasculitis (AAV) is an inflammatory systemic disorder affecting small to medium sized vessels and likely leading to any organ dysfunction. Adequate treatment is important to avoid mortality or severe organ damage. In most cases initial treatment (induction therapy) allows to achieve remission. Induction therapy leads to immunosuppression and may cause severe infections. However, in vasculitis patients even an intensive immunosuppressive therapy is rarely complicated by an invasive fungal infection. We present a case in a 29-year old male patient with newly diagnosed AAV. He suffered a fatal pulmonary complication of the induction immunosuppressive treatment. Pathological (infectious) changes in the lungs were misinterpreted as progression of the vasculitis and he died due to disseminated angioinvasive aspergillosis. A clinical course, imaging and histopathology of this case are described and discussed.

摘要

抗中性粒细胞胞浆抗体相关性血管炎(AAV)是一种影响中小血管的炎症性全身性疾病,可能导致任何器官功能障碍。充分的治疗对于避免死亡或严重器官损害很重要。在大多数情况下,初始治疗(诱导治疗)可实现缓解。诱导治疗会导致免疫抑制,并可能引起严重感染。然而,在血管炎患者中,即使是强化免疫抑制治疗也很少并发侵袭性真菌感染。我们报告一例29岁新诊断为AAV的男性患者。他在诱导免疫抑制治疗中出现了致命的肺部并发症。肺部的病理(感染性)变化被误诊为血管炎的进展,他因播散性血管侵袭性曲霉病死亡。本文描述并讨论了该病例的临床病程、影像学和组织病理学情况。

https://cdn.ncbi.nlm.nih.gov/pmc/blobs/cc0c/5088747/324213363f66/aml-23-142-g006.jpg
https://cdn.ncbi.nlm.nih.gov/pmc/blobs/cc0c/5088747/e415a0a17d67/aml-23-142-g001.jpg
https://cdn.ncbi.nlm.nih.gov/pmc/blobs/cc0c/5088747/2686b0fe2fa9/aml-23-142-g002.jpg
https://cdn.ncbi.nlm.nih.gov/pmc/blobs/cc0c/5088747/01507cf763a4/aml-23-142-g003.jpg
https://cdn.ncbi.nlm.nih.gov/pmc/blobs/cc0c/5088747/0177a16bf543/aml-23-142-g004.jpg
https://cdn.ncbi.nlm.nih.gov/pmc/blobs/cc0c/5088747/dd38e428bbc5/aml-23-142-g005.jpg
https://cdn.ncbi.nlm.nih.gov/pmc/blobs/cc0c/5088747/324213363f66/aml-23-142-g006.jpg
https://cdn.ncbi.nlm.nih.gov/pmc/blobs/cc0c/5088747/e415a0a17d67/aml-23-142-g001.jpg
https://cdn.ncbi.nlm.nih.gov/pmc/blobs/cc0c/5088747/2686b0fe2fa9/aml-23-142-g002.jpg
https://cdn.ncbi.nlm.nih.gov/pmc/blobs/cc0c/5088747/01507cf763a4/aml-23-142-g003.jpg
https://cdn.ncbi.nlm.nih.gov/pmc/blobs/cc0c/5088747/0177a16bf543/aml-23-142-g004.jpg
https://cdn.ncbi.nlm.nih.gov/pmc/blobs/cc0c/5088747/dd38e428bbc5/aml-23-142-g005.jpg
https://cdn.ncbi.nlm.nih.gov/pmc/blobs/cc0c/5088747/324213363f66/aml-23-142-g006.jpg

相似文献

1
Fatal pulmonary complication during induction therapy in a patient with ANCA-associated vasculitis.一名抗中性粒细胞胞浆抗体相关性血管炎患者在诱导治疗期间发生的致命肺部并发症。
Acta Med Litu. 2016;23(2):142-146. doi: 10.6001/actamedica.v23i2.3331.
2
Onset of Takotsubo Syndrome during the Clinical Course of Anti-Neutrophil Cytoplasmic Antibody-Associated Vasculitis: A Case Report.抗中性粒细胞胞浆抗体相关性血管炎临床病程中发生的Takotsubo综合征:一例报告
Tohoku J Exp Med. 2018 Dec;246(4):251-256. doi: 10.1620/tjem.246.251.
3
ANCA-Associated Vasculitis: Core Curriculum 2020.抗中性粒细胞胞质抗体相关性血管炎:2020 年核心课程。
Am J Kidney Dis. 2020 Jan;75(1):124-137. doi: 10.1053/j.ajkd.2019.04.031. Epub 2019 Jul 26.
4
Rituximab for remission induction in elderly patients with ANCA-associated vasculitis.利妥昔单抗用于老年抗中性粒细胞胞浆抗体相关性血管炎患者的诱导缓解治疗。
Semin Arthritis Rheum. 2015 Aug;45(1):67-9. doi: 10.1016/j.semarthrit.2015.02.005. Epub 2015 Feb 20.
5
[Off-label biologic therapy of ANCA-associated and non-ANCA-associated small-vessel vasculitis : Efficacy and safety analysis of a national registry (GRAID2)].[抗中性粒细胞胞浆抗体相关和非抗中性粒细胞胞浆抗体相关小血管炎的非标签生物治疗:一项国家登记研究(GRAID2)的疗效和安全性分析]
Z Rheumatol. 2018 Feb;77(1):21-27. doi: 10.1007/s00393-017-0315-3.
6
ANCA-associated vasculitis: diagnostic and therapeutic strategy.抗中性粒细胞胞浆抗体相关性血管炎:诊断与治疗策略
Allergol Int. 2007 Jun;56(2):87-96. doi: 10.2332/allergolint.R-07-141. Epub 2007 May 1.
7
The Prevalence and Management of Pauci-Immune Glomerulonephritis and Vasculitis in Western Countries.西方国家寡免疫性肾小球肾炎和血管炎的流行情况及治疗。
Kidney Dis (Basel). 2016 Mar;1(4):224-34. doi: 10.1159/000442062. Epub 2015 Dec 5.
8
Opportunistic infections are preceded by a rapid fall in antineutrophil cytoplasmic antibody (ANCA) titer in patients with ANCA associated vasculitis.在抗中性粒细胞胞浆抗体(ANCA)相关性血管炎患者中,机会性感染之前会出现ANCA滴度迅速下降。
J Rheumatol. 2002 Mar;29(3):505-10.
9
Extended versus standard azathioprine maintenance therapy in newly diagnosed proteinase-3 anti-neutrophil cytoplasmic antibody-associated vasculitis patients who remain cytoplasmic anti-neutrophil cytoplasmic antibody-positive after induction of remission: a randomized clinical trial.在诱导缓解后仍为胞质型抗中性粒细胞胞质抗体阳性的新诊断的蛋白酶3抗中性粒细胞胞质抗体相关血管炎患者中,延长与标准硫唑嘌呤维持治疗的比较:一项随机临床试验
Nephrol Dial Transplant. 2016 Sep;31(9):1453-9. doi: 10.1093/ndt/gfw211. Epub 2016 May 30.
10
Mycophenolate mofetil versus cyclophosphamide for remission induction in ANCA-associated vasculitis: a randomised, non-inferiority trial.霉酚酸酯与环磷酰胺诱导 ANCA 相关性血管炎缓解的随机对照非劣效试验。
Ann Rheum Dis. 2019 Mar;78(3):399-405. doi: 10.1136/annrheumdis-2018-214245. Epub 2019 Jan 5.

引用本文的文献

1
Clinical features and risk factors of invasive pulmonary aspergillosis in interstitial lung disease patients.间质性肺疾病患者侵袭性肺曲霉病的临床特征及危险因素
BMC Pulm Med. 2024 Dec 4;24(1):602. doi: 10.1186/s12890-024-03430-x.
2
A case of invasive pulmonary aspergillosis during treatment for acute exacerbation of interstitial lung disease.1例间质性肺疾病急性加重期治疗期间发生的侵袭性肺曲霉病。
Infect Dis Rep. 2018 Dec 5;10(3):7785. doi: 10.4081/idr.2018.7785. eCollection 2018 Nov 6.

本文引用的文献

1
Current and future prospects in the management of granulomatosis with polyangiitis (Wegener's granulomatosis).肉芽肿性多血管炎(韦格纳肉芽肿)治疗的现状与未来展望
Ther Clin Risk Manag. 2014 Apr 17;10:279-93. doi: 10.2147/TCRM.S41598. eCollection 2014.
2
Laboratory diagnosis of invasive aspergillosis: from diagnosis to prediction of outcome.侵袭性曲霉病的实验室诊断:从诊断到预后预测
Scientifica (Cairo). 2013;2013:459405. doi: 10.1155/2013/459405. Epub 2013 Jan 14.
3
Clinical features and diagnosis of small-vessel vasculitis.
小血管血管炎的临床特征和诊断。
Cleve Clin J Med. 2012 Nov;79 Suppl 3:S3-7. doi: 10.3949/ccjm.79.s3.01.
4
Diagnosis and management of pulmonary vasculitis.肺血管炎的诊断与治疗。
Ther Adv Respir Dis. 2012 Dec;6(6):375-90. doi: 10.1177/1753465812454693. Epub 2012 Aug 9.
5
Progress in treatment of ANCA-associated vasculitis.抗中性粒细胞胞质抗体相关性血管炎的治疗进展。
Arthritis Res Ther. 2012 Apr 30;14(2):210. doi: 10.1186/ar3797.
6
A clinical algorithm to diagnose invasive pulmonary aspergillosis in critically ill patients.一种用于诊断危重症患者侵袭性肺曲霉病的临床算法。
Am J Respir Crit Care Med. 2012 Jul 1;186(1):56-64. doi: 10.1164/rccm.201111-1978OC. Epub 2012 Apr 19.
7
Diagnosis of invasive aspergillosis by a commercial real-time PCR assay for Aspergillus DNA in bronchoalveolar lavage fluid samples from high-risk patients compared to a galactomannan enzyme immunoassay.与半乳甘露聚糖酶联免疫吸附试验相比,采用商业实时 PCR 检测高危患者支气管肺泡灌洗液中的曲霉 DNA 对侵袭性曲霉病的诊断价值。
J Clin Microbiol. 2011 Dec;49(12):4273-8. doi: 10.1128/JCM.05026-11. Epub 2011 Oct 19.
8
Detection and investigation of invasive mould disease.侵袭性霉菌病的检测与研究。
J Antimicrob Chemother. 2011 Jan;66 Suppl 1:i15-24. doi: 10.1093/jac/dkq438.
9
Management of ANCA-associated vasculitis: Current trends and future prospects.抗中性粒细胞胞质抗体相关性血管炎的治疗:现状与未来展望。
Ther Clin Risk Manag. 2010 Jun 24;6:253-64. doi: 10.2147/tcrm.s6112.
10
Accuracy of BAL galactomannan in diagnosing invasive aspergillosis: a bivariate metaanalysis and systematic review.BAL 半乳甘露聚糖检测诊断侵袭性曲霉病的准确性:双变量荟萃分析和系统评价。
Chest. 2010 Oct;138(4):817-24. doi: 10.1378/chest.10-0488. Epub 2010 May 7.