Suppr超能文献

一种基于RNA的新型原位杂交技术,用于检测患有水泡病的新生仔猪和母猪中的塞内卡山谷病毒。

A novel RNA-based in situ hybridization to detect Seneca Valley virus in neonatal piglets and sows affected with vesicular disease.

作者信息

Resende Talita P, Marthaler Douglas G, Vannucci Fabio A

机构信息

Department of Veterinary and Biomedical Sciences, College of Veterinary Medicine, University of Minnesota, Saint Paul, Minnesota, United States of America.

Veterinary Diagnostic Laboratory, College of Veterinary Medicine, University of Minnesota, Saint Paul, Minnesota, United States of America.

出版信息

PLoS One. 2017 Apr 10;12(4):e0173190. doi: 10.1371/journal.pone.0173190. eCollection 2017.

Abstract

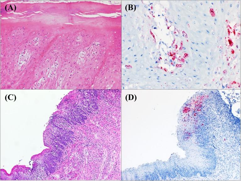
Seneca Valley virus (SVV) is the causative agent of an emerging vesicular disease in swine, which is clinically indistinguishable from other vesicular diseases such as foot-and-mouth disease. In addition, SVV has been associated with neonatal mortality in piglets. While a commercial SVV qRT-PCR is available, commercial antibodies are lacking to diagnose SVV infections by immunohistochemistry (IHC). Thus, a novel in situ hybridization technique-RNAscope (ISH) was developed to detect SVVRNA in infected tissues. From a total of 78 samples evaluated, 30 were positive by qRT-PCR and ISH-RNA, including vesicular lesions of affected sows, ulcerative lesions in the tongue of piglets and various other tissues with no evidence of histological lesions. Nineteen samples were negative for SVV by qRT-PCR and ISH-RNA. The Ct values of the qRT-PCR from ISH-RNA positive tissues varied from 12.0 to 32.6 (5.12 x 106 to 5.31 RNA copies/g, respectively). The ISH-RNA technique is an important tool in diagnosing and investigating the pathogenesis of SVV and other emerging pathogens.

摘要

塞内卡山谷病毒(SVV)是猪群中一种新出现的水疱性疾病的病原体,在临床上与口蹄疫等其他水疱性疾病无法区分。此外,SVV还与仔猪的新生儿死亡率有关。虽然有商业化的SVV qRT-PCR检测方法,但缺乏用于通过免疫组织化学(IHC)诊断SVV感染的商业化抗体。因此,开发了一种新的原位杂交技术——RNAscope(ISH)来检测感染组织中的SVV RNA。在总共评估的78个样本中,有30个通过qRT-PCR和ISH-RNA检测呈阳性,包括患病母猪的水疱性病变、仔猪舌部的溃疡性病变以及其他无组织学病变证据的各种组织。19个样本通过qRT-PCR和ISH-RNA检测SVV呈阴性。ISH-RNA阳性组织的qRT-PCR的Ct值在12.0至32.6之间(分别为5.12×106至5.31个RNA拷贝/克)。ISH-RNA技术是诊断和研究SVV及其他新出现病原体发病机制的重要工具。

https://cdn.ncbi.nlm.nih.gov/pmc/blobs/1032/5386259/bedf105586cf/pone.0173190.g001.jpg

文献AI研究员

20分钟写一篇综述,助力文献阅读效率提升50倍。

立即体验

用中文搜PubMed

大模型驱动的PubMed中文搜索引擎

马上搜索

文档翻译

学术文献翻译模型,支持多种主流文档格式。

立即体验