Suppr超能文献

原发性皮肤B细胞淋巴瘤的文献综述

A Literature Revision in Primary Cutaneous B-cell Lymphoma.

作者信息

Selva R La, Violetti S Alberti, Delfino C, Grandi V, Cicchelli S, Tomasini C, Fierro M T, Berti E, Pimpinelli N, Quaglino P

机构信息

Department of Medical Sciences, Dermatologic Clinic, University of Turin, Turin, Italy.

UOC Dermatologia, Fondazione IRCCS Ca' Granda Ospedale Maggiore Policlinico, Milan, Italy.

出版信息

Indian J Dermatol. 2017 Mar-Apr;62(2):146-157. doi: 10.4103/ijd.IJD_74_17.

Abstract

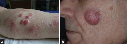
The term "Primary Cutaneous B-Cell Lymphoma" (PCBCL) comprehends a variety of lymphoproliferative disorders characterized by a clonal proliferation of B-cells primarily involving the skin. The absence of evident extra-cutaneous disease must be confirmed after six-month follow-up in order to exclude a nodal non-Hodgkin's lymphoma (NHL) with secondary cutaneous involvement, which may have a completely different clinical behavior and prognosis. In this article, we have summarized the clinico-pathological features of main types of PCBCL and we outline the guidelines for management based on a review of the available literature.

摘要

“原发性皮肤B细胞淋巴瘤”(PCBCL)这一术语涵盖了多种以B细胞克隆性增殖为主、主要累及皮肤的淋巴增殖性疾病。必须在六个月的随访后确认无明显的皮肤外疾病,以排除伴有继发性皮肤受累的淋巴结非霍奇金淋巴瘤(NHL),后者可能具有完全不同的临床行为和预后。在本文中,我们总结了PCBCL主要类型的临床病理特征,并根据现有文献综述概述了管理指南。

https://cdn.ncbi.nlm.nih.gov/pmc/blobs/e300/5363138/25f126d5d184/IJD-62-146-g003.jpg

文献AI研究员

20分钟写一篇综述,助力文献阅读效率提升50倍。

立即体验

用中文搜PubMed

大模型驱动的PubMed中文搜索引擎

马上搜索

文档翻译

学术文献翻译模型,支持多种主流文档格式。

立即体验