Suppr超能文献

断裂的滑动式动力髋螺钉植入物在大腿内侧的离奇位置。

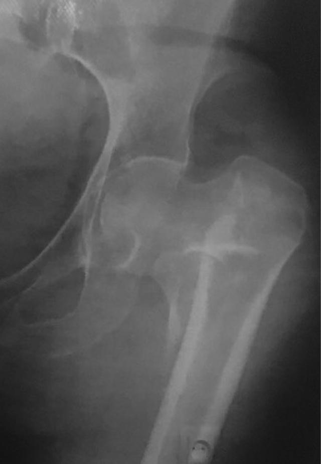
Incredible position of broken sliding dynamic hip screw implant in the medial of thigh.

作者信息

Solooki Saeed, Vosoughi Amir Reza

机构信息

Bone and Joint Diseases Research Center, Department of Orthopedic Surgery, Chamran Hospital, Shiraz University of Medical Sciences, Shiraz, Iran.

Bone and Joint Diseases Research Center, Department of Orthopedic Surgery, Chamran Hospital, Shiraz University of Medical Sciences, Shiraz, Iran.

出版信息

Acta Orthop Traumatol Turc. 2018 Mar;52(2):154-156. doi: 10.1016/j.aott.2017.03.020. Epub 2017 Apr 25.

Abstract

We report a case with implant failure after nailing of an unstable pertrochanteric fracture with dynamic hip screw. The patient presented with a medial sided thigh pain at 5 years after the surgery. Plain radiographs showed nonunion of the fracture with distant migration of assembled hip screw and side plate to the subcutaneous area of the inner thigh.

摘要

我们报告了一例采用动力髋螺钉治疗不稳定型转子间骨折后出现植入物失败的病例。该患者在术后5年出现大腿内侧疼痛。X线平片显示骨折不愈合,组装好的髋螺钉和侧板向大腿内侧皮下区域远距离移位。

https://cdn.ncbi.nlm.nih.gov/pmc/blobs/57b1/6136313/a23c12674358/gr1.jpg

文献AI研究员

20分钟写一篇综述,助力文献阅读效率提升50倍。

立即体验

用中文搜PubMed

大模型驱动的PubMed中文搜索引擎

马上搜索

文档翻译

学术文献翻译模型,支持多种主流文档格式。

立即体验