Suppr超能文献

一例以孤立性肝脾起病并在恢复期发展为炎症性肠病的结节病病例。

A case of sarcoidosis with isolated hepatosplenic onset and development of inflammatory bowel disease during recovery stage.

作者信息

Sangineto Moris, Luglio Chiara Valentina, Suppressa Patrizia, Sabbà Carlo, Napoli Nicola

机构信息

Clinica Medica "Cesare Frugoni", Department of Interdisciplinary Medicine, University of Bari "Aldo Moro", Piazza Giulio Cesare 11, 70124, Bari, Italy.

出版信息

Auto Immun Highlights. 2017 Dec;8(1):6. doi: 10.1007/s13317-017-0094-5. Epub 2017 Apr 28.

Abstract

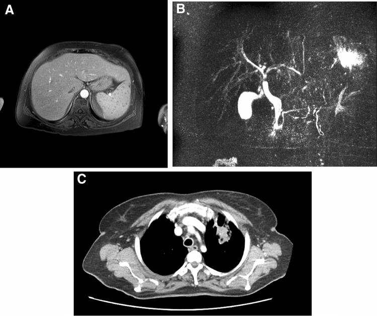
Sarcoidosis is a systemic disease characterized by an immune-mediated disorder, which leads to the development of non-caseating granulomas in the involved organs. More than 90% of patients with sarcoidosis present lungs and lymphatic system involvement at onset, while less than 10% has an isolated extrapulmonary localization. Here, we describe the case of an elderly patient with isolated hepato-splenic onset (multiple splenic lesions at imaging and cholestasis), and subsequent pulmonary involvement. The liver biopsy showed the presence of non-caseating granulomas, suggesting sarcoidosis. Despite the complete recovery was obtained with steroid therapy, after dosage reduction the patient presented watery diarrhea. Endoscopic investigations with biopsies were performed, describing the presence of an important lympho-plasmacytic infiltrate of terminal ileum mucosa with typical aspects of inflammatory bowel disease. The symptomatology completely disappeared after steroid dosage increase. This case confirms that sarcoidosis could present in a very atypical way, involving several organs in a different manner at the same time and that every symptom should not be underestimated, despite the rare presentation.

摘要

结节病是一种以免疫介导的疾病为特征的全身性疾病,可导致受累器官出现非干酪样肉芽肿。超过90%的结节病患者在发病时出现肺部和淋巴系统受累,而不到10%的患者仅有肺外孤立性病变。在此,我们描述了一例老年患者,以孤立性肝脾起病(影像学检查发现多个脾脏病变及胆汁淤积),随后出现肺部受累。肝脏活检显示存在非干酪样肉芽肿,提示结节病。尽管使用类固醇治疗后完全康复,但在减量后患者出现水样腹泻。进行了内镜检查及活检,描述了末端回肠黏膜存在重要的淋巴细胞和浆细胞浸润,具有炎症性肠病的典型表现。增加类固醇剂量后症状完全消失。该病例证实结节病可能以非常不典型的方式出现,同时以不同方式累及多个器官,并且尽管表现罕见,但每个症状都不应被低估。

https://cdn.ncbi.nlm.nih.gov/pmc/blobs/8d9a/5408327/746118a62453/13317_2017_94_Fig1_HTML.jpg

相似文献

1
A case of sarcoidosis with isolated hepatosplenic onset and development of inflammatory bowel disease during recovery stage.
Auto Immun Highlights. 2017 Dec;8(1):6. doi: 10.1007/s13317-017-0094-5. Epub 2017 Apr 28.
2
Atypical sarcoidosis: case reports and review of the literature.
Eur Rev Med Pharmacol Sci. 2009 Mar;13 Suppl 1:37-44.
3
Recurrent small bowel obstruction as a rare presentation of undiagnosed sarcoidosis.
BMJ Case Rep. 2022 Nov 24;15(11):e252486. doi: 10.1136/bcr-2022-252486.
4
An Atypical Presentation of Extrapulmonary Sarcoidosis.
Case Rep Rheumatol. 2020 Jun 25;2020:8840245. doi: 10.1155/2020/8840245. eCollection 2020.
6
Sarcoidosis and Its Splenic Wonder: A Rare Case of Isolated Splenic Sarcoidosis.
Case Rep Med. 2018 Nov 5;2018:4628439. doi: 10.1155/2018/4628439. eCollection 2018.
7
Hepatic sarcoid resembling lymphoma.
BMJ Case Rep. 2024 Sep 4;17(9):e260220. doi: 10.1136/bcr-2024-260220.
8
Hepatosplenic sarcoidosis.
Proc (Bayl Univ Med Cent). 2020 Apr 3;33(3):382-383. doi: 10.1080/08998280.2020.1739926. eCollection 2020 Jul.
10
Extensive Abdominal Sarcoidosis Without Pulmonary Manifestation.
Ochsner J. 2019 Summer;19(2):174-177. doi: 10.31486/toj.17.0111.

引用本文的文献

1
Evaluating spleen volume in inflammatory bowel disease.
Ann Gastroenterol. 2025 Sep-Oct;38(5):465-471. doi: 10.20524/aog.2025.0993. Epub 2025 Aug 14.

本文引用的文献

1
Laparoscopic splenectomy for isolated splenic sarcoidosis.
JSLS. 2014 Jan-Mar;18(1):155-9. doi: 10.4293/108680814X13868878212956.
2
Isolated splenic sarcoidosis.
Reumatol Clin. 2015 Jan-Feb;11(1):54-5. doi: 10.1016/j.reuma.2014.01.006. Epub 2014 Mar 5.
3
A case of concurrent sarcoidosis, aortitis syndrome and Crohn's disease.
Intern Med. 2011;50(23):2915-7. doi: 10.2169/internalmedicine.50.5298. Epub 2011 Dec 1.
4
Sarcoidosis complicating treatment with natalizumab for Crohn's disease.
Thorax. 2011 Dec;66(12):1109-10. doi: 10.1136/thx.2010.155762. Epub 2011 Jan 13.
5
Sarcoidosis during infliximab therapy for Crohn's disease.
J Dermatol. 2010 May;37(5):471-4. doi: 10.1111/j.1346-8138.2010.00861.x.
6
Atypical sarcoidosis: case reports and review of the literature.
Eur Rev Med Pharmacol Sci. 2009 Mar;13 Suppl 1:37-44.
7
Sarcoidosis.
Orphanet J Rare Dis. 2007 Nov 19;2:46. doi: 10.1186/1750-1172-2-46.
8
Sarcoidosis of gastrointestinal tract: a rare disease.
Dig Dis Sci. 2007 Dec;52(12):3316-20. doi: 10.1007/s10620-006-9448-y. Epub 2007 Apr 5.
9
Natural history of hepatic sarcoidosis and its response to treatment.
Eur J Gastroenterol Hepatol. 2006 Jul;18(7):721-6. doi: 10.1097/01.meg.0000223911.85739.38.
10
Juvenile sarcoidosis presenting as Crohn's disease.
Eur J Pediatr. 2006 Jun;165(6):398-401. doi: 10.1007/s00431-005-0059-y. Epub 2006 Mar 18.

文献AI研究员

20分钟写一篇综述,助力文献阅读效率提升50倍。

立即体验

用中文搜PubMed

大模型驱动的PubMed中文搜索引擎

马上搜索

文档翻译

学术文献翻译模型,支持多种主流文档格式。

立即体验