Suppr超能文献

慢性胰腺炎合并急性梗阻性化脓性胰管炎:一例罕见病例报告

Chronic pancreatitis with acute obstructive suppurative pancreatic ductitis: a rare case report.

作者信息

Gedam Bapuji S, Sadriwala Quraysh S, Bansod Prasad Y

机构信息

Department of Surgery, NKP Salve Institute of Medical Sciences and Research Centre, Nagpur, India.

出版信息

J Surg Case Rep. 2017 Feb 28;2017(2):rjx034. doi: 10.1093/jscr/rjx034. eCollection 2017 Feb.

Abstract

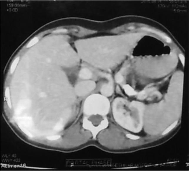
Acute obstructive suppurative pancreatic ductitis (AOSPD) is a rare complication of chronic pancreatitis that has been described in only seven previous case reports since 1995. We report a case of a 33-year-old female a known case of chronic pancreatitis with computed tomography suggestive of dilated main pancreatic duct with multiple calcifications. On exploration, pancreatic duct aspiration revealed frank pus. Pus was drained after opening the pancreatic duct and longitudinal pancreaticojejunostomy was done. Patient was relieved of her symptoms after surgery. In conclusion, AOSPD should be considered in long standing cases of chronic pancreatitis. AOSPD appears to respond quickly after drainage procedure like longitudinal pancreaticojejunostomy and should be considered the treatment of choice.

摘要

急性梗阻性化脓性胰管炎(AOSPD)是慢性胰腺炎的一种罕见并发症,自1995年以来仅有7例先前的病例报告对此进行过描述。我们报告一例33岁女性病例,该患者为已知的慢性胰腺炎患者,计算机断层扫描显示主胰管扩张并伴有多处钙化。术中探查时,胰管抽吸发现有脓性液体。打开胰管后引流出脓液,并进行了纵行胰管空肠吻合术。患者术后症状缓解。总之,对于长期存在的慢性胰腺炎病例应考虑AOSPD。AOSPD在纵行胰管空肠吻合术等引流手术后似乎反应迅速,应被视为首选治疗方法。

https://cdn.ncbi.nlm.nih.gov/pmc/blobs/edf8/5400493/fa09731b8843/rjx034f01.jpg

文献AI研究员

20分钟写一篇综述,助力文献阅读效率提升50倍。

立即体验

用中文搜PubMed

大模型驱动的PubMed中文搜索引擎

马上搜索

文档翻译

学术文献翻译模型,支持多种主流文档格式。

立即体验