Suppr超能文献

前列腺增生和癌中的炎症——基础科学方法

Inflammation in Prostatic Hyperplasia and Carcinoma-Basic Scientific Approach.

作者信息

Krušlin Božo, Tomas Davor, Džombeta Tihana, Milković-Periša Marija, Ulamec Monika

机构信息

Department of Pathology, School of Medicine, University of Zagreb, Zagreb, Croatia.

Department of Pathology, Clinical Hospital Centre Sestre Milosrdnice, Zagreb, Croatia.

出版信息

Front Oncol. 2017 Apr 25;7:77. doi: 10.3389/fonc.2017.00077. eCollection 2017.

Abstract

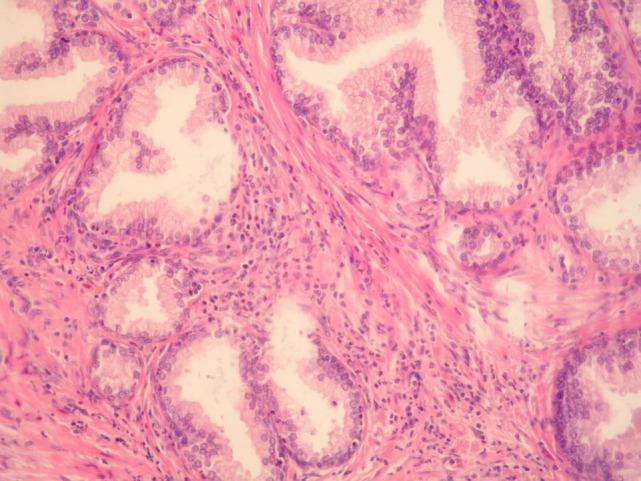
Chronic inflammation is associated with both benign conditions and cancer. Likewise, inflammatory cells are quite common in benign prostatic hyperplasia (BPH) and prostatic tissue harboring cancer. Triggers that activate inflammatory pathways in the prostate remain a subject of argument and are likely to be multifactorial, some of these being bacterial antigens, different chemical irritations, and metabolic disorders. Acute and chronic inflammation in prostate leads to accumulation of immunocompetent cells, mainly T lymphocytes and macrophages, but also neutrophils, eosinophils, and mast cells, depending on the type of offending agent. Inflammatory processes activate hyperproliferative programs resulting in nodules seen in BPH, but are also important in creating suitable microenvironment for cancer growth and progression. Inflammatory cells have mostly been shown to have a protumoral effect such as tumor-associated macrophages, but some cell types such as mast cells have antitumoral effects. This review outlines the recent findings and theories supporting the role of inflammatory responses as drivers of both benign and malignant epithelial processes in the prostate gland.

摘要

慢性炎症与良性疾病和癌症均有关联。同样,炎症细胞在良性前列腺增生(BPH)和患有癌症的前列腺组织中相当常见。激活前列腺炎症途径的触发因素仍是一个有争议的话题,并且可能是多因素的,其中一些因素包括细菌抗原、不同的化学刺激和代谢紊乱。前列腺的急性和慢性炎症会导致免疫活性细胞的积聚,主要是T淋巴细胞和巨噬细胞,但也包括中性粒细胞、嗜酸性粒细胞和肥大细胞,这取决于致病因子的类型。炎症过程会激活导致BPH中出现结节的过度增殖程序,但在为癌症生长和进展创造适宜的微环境方面也很重要。炎症细胞大多已被证明具有促肿瘤作用,如肿瘤相关巨噬细胞,但某些细胞类型,如肥大细胞,则具有抗肿瘤作用。本综述概述了支持炎症反应作为前列腺良性和恶性上皮过程驱动因素作用的最新发现和理论。

https://cdn.ncbi.nlm.nih.gov/pmc/blobs/ed92/5403898/009ff2c13cb7/fonc-07-00077-g001.jpg

文献检索

告别复杂PubMed语法,用中文像聊天一样搜索,搜遍4000万医学文献。AI智能推荐,让科研检索更轻松。

立即免费搜索

文件翻译

保留排版,准确专业,支持PDF/Word/PPT等文件格式,支持 12+语言互译。

免费翻译文档

深度研究

AI帮你快速写综述,25分钟生成高质量综述,智能提取关键信息,辅助科研写作。

立即免费体验