Suppr超能文献

脾脏浆液性囊腺癌。

Serous cystadenocarcinoma of the spleen.

作者信息

Chou Chung Kuao, Chou Shih-Cheng

机构信息

Department of Radiology, Yuan's General Hospital, No. 162, Cheng-Kung 1st. Rd., Kaohsiung, Taiwan, Republic of China.

Department of Pathology, Yuan's General Hospital, Kaohsiung, Taiwan, Republic of China.

出版信息

Radiol Case Rep. 2017 Feb 24;12(2):273-277. doi: 10.1016/j.radcr.2017.01.018. eCollection 2017 Jun.

Abstract

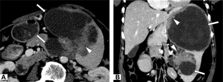
The commonly seen primary malignant neoplasms of the spleen are angiosarcoma and lymphoma. We present a case of serous cystadenocarcinoma of the spleen. It was presumed to be originated from dropped nonmalignant ovarian tissue, which was accidentally implanted to the splenic surface during hysterectomy and bilateral salpingooophorectomies for torsion of right fallopian tube 9 and half years ago and transformed into serous cystadenocarcinoma later. Computed tomography demonstrated a multilocular predominantly cystic tumor with internal soft tissue components in the spleen.

摘要

脾脏常见的原发性恶性肿瘤是血管肉瘤和淋巴瘤。我们报告一例脾脏浆液性囊腺癌。据推测,它起源于脱落的非恶性卵巢组织,该组织在9年半前因右侧输卵管扭转行子宫切除术和双侧输卵管卵巢切除术中意外植入脾脏表面,后来转变为浆液性囊腺癌。计算机断层扫描显示脾脏有一个多房性、以囊性为主的肿瘤,内部有软组织成分。

https://cdn.ncbi.nlm.nih.gov/pmc/blobs/bb38/5417741/3078712d89f2/gr1.jpg

相似文献

1
Serous cystadenocarcinoma of the spleen.
Radiol Case Rep. 2017 Feb 24;12(2):273-277. doi: 10.1016/j.radcr.2017.01.018. eCollection 2017 Jun.
3
Are all pelvic (nonuterine) serous carcinomas of tubal origin?
Am J Surg Pathol. 2010 Oct;34(10):1407-16. doi: 10.1097/PAS.0b013e3181ef7b16.
4
[Significance and expression of PAX8, PAX2, p53 and RAS in ovary and fallopian tubes to origin of ovarian high grade serous carcinoma].
Zhonghua Fu Chan Ke Za Zhi. 2017 Oct 25;52(10):687-696. doi: 10.3760/cma.j.issn.0529-567X.2017.10.008.
6
Pancreatic serous cystadenocarcinoma with invasive growth into the colon and spleen.
J Korean Surg Soc. 2011 Sep;81(3):221-4. doi: 10.4174/jkss.2011.81.3.221. Epub 2011 Sep 26.
7
Computed tomography of cystadenoma and cystadenocarcinoma of the pancreas.
Radiology. 1982 Nov;145(2):419-25. doi: 10.1148/radiology.145.2.7134446.
9
Primary Serous Cystadenocarcinoma of the Spleen.
Cureus. 2024 Feb 28;16(2):e55165. doi: 10.7759/cureus.55165. eCollection 2024 Feb.

引用本文的文献

1
Primary Serous Cystadenocarcinoma of the Spleen.
Cureus. 2024 Feb 28;16(2):e55165. doi: 10.7759/cureus.55165. eCollection 2024 Feb.
2
Isolated splenic high-grade serous carcinoma: A case report.
Gynecol Oncol Rep. 2021 Jun 23;37:100818. doi: 10.1016/j.gore.2021.100818. eCollection 2021 Aug.
3
A unique case of splenic tumor exhibiting a serous carcinoma phenotype.
SAGE Open Med Case Rep. 2021 May 24;9:2050313X211016992. doi: 10.1177/2050313X211016992. eCollection 2021.

本文引用的文献

1
Diagnostic accuracy of Ber-EP4 for metastatic adenocarcinoma in serous effusions: a meta-analysis.
PLoS One. 2014 Sep 17;9(9):e107741. doi: 10.1371/journal.pone.0107741. eCollection 2014.
4
The clinical utility of CA 19-9 in pancreatic adenocarcinoma: diagnostic and prognostic updates.
Curr Mol Med. 2013 Mar;13(3):340-51. doi: 10.2174/1566524011313030003.
6
A case of splenic low-grade mucinous cystadenocarcinoma resulting in pseudomyxoma peritonei.
Med Mol Morphol. 2010 Dec;43(4):235-40. doi: 10.1007/s00795-010-0507-2. Epub 2011 Jan 26.
7
Primary and secondary neoplasms of the spleen.
Cancer Imaging. 2010 Aug 13;10(1):173-82. doi: 10.1102/1470-7330.2010.0026.
8
Splenic metastases: clinicopathologic presentation, differential diagnosis, and pathogenesis.
Arch Pathol Lab Med. 2007 Jun;131(6):965-9. doi: 10.5858/2007-131-965-SMCPDD.
9
Solitary splenic lesions.
Semin Ultrasound CT MR. 2006 Oct;27(5):370-88. doi: 10.1053/j.sult.2006.06.003.
10
Laparoscopic splenectomy for isolated parenchymal splenic metastasis of ovarian cancer.
Int J Gynecol Cancer. 2006 Sep-Oct;16(5):1933-5. doi: 10.1111/j.1525-1438.2006.00662.x.

文献AI研究员

20分钟写一篇综述,助力文献阅读效率提升50倍。

立即体验

用中文搜PubMed

大模型驱动的PubMed中文搜索引擎

马上搜索

文档翻译

学术文献翻译模型,支持多种主流文档格式。

立即体验