• 文献检索
  • 文档翻译
  • 深度研究
  • 学术资讯
  • Suppr Zotero 插件Zotero 插件
  • 邀请有礼
  • 套餐&价格
  • 历史记录
应用&插件
Suppr Zotero 插件Zotero 插件浏览器插件Mac 客户端Windows 客户端微信小程序
定价
高级版会员购买积分包购买API积分包
服务
文献检索文档翻译深度研究API 文档MCP 服务
关于我们
关于 Suppr公司介绍联系我们用户协议隐私条款
关注我们

Suppr 超能文献

核心技术专利:CN118964589B侵权必究
粤ICP备2023148730 号-1Suppr @ 2026

文献检索

告别复杂PubMed语法,用中文像聊天一样搜索,搜遍4000万医学文献。AI智能推荐,让科研检索更轻松。

立即免费搜索

文件翻译

保留排版,准确专业,支持PDF/Word/PPT等文件格式,支持 12+语言互译。

免费翻译文档

深度研究

AI帮你快速写综述,25分钟生成高质量综述,智能提取关键信息,辅助科研写作。

立即免费体验

免疫组织化学:鉴别原发性上皮性卵巢肿瘤和卵巢转移性肿瘤的诊断辅助手段。

Immunohistochemistry: A diagnostic aid in differentiating primary epithelial ovarian tumors and tumors metastatic to the ovary.

作者信息

Kriplani Divya, Patel Mandakini M

机构信息

Department of Pathology, Government Medical College, Surat, Gujarat, India.

出版信息

South Asian J Cancer. 2013 Oct;2(4):254-8. doi: 10.4103/2278-330X.119888.

DOI:10.4103/2278-330X.119888
PMID:24455652
原文链接:https://pmc.ncbi.nlm.nih.gov/articles/PMC3889055/
Abstract

INTRODUCTION

Among cancers of the female genital tract, the incidence of ovarian cancer ranks below only carcinoma of the cervix and the endometrium. Recent years have witnessed significant development in the use of immunohistochemistry in diagnostic ovarian pathology.

MATERIALS AND METHODS

We received 95 specimens and biopsies of primary ovarian neoplasms and neoplasms metastatic to the ovary in a period of 2 years. Of these 30 cases were of the primary surface epithelial neoplasms and seven of metastatic tumors.

DISCUSSION

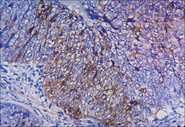
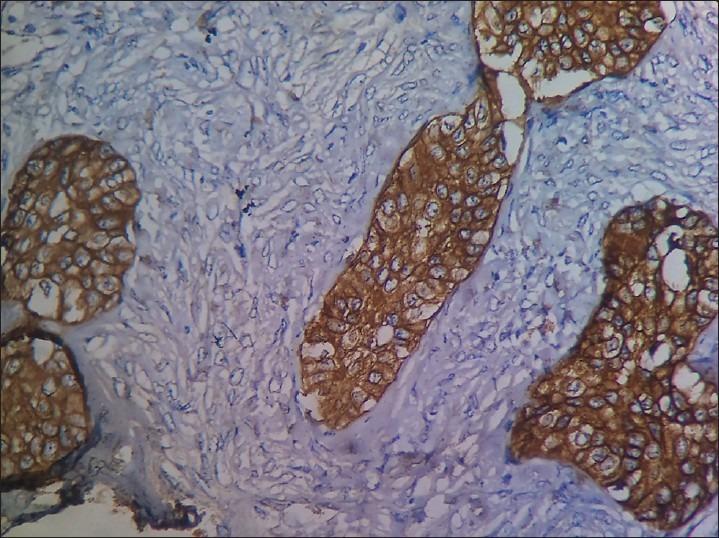
The most common tumors metastasizing to the ovary originate from the gastrointestinal tract followed by the endometrium. We used a panel of six markers including cytokeratin-7 (CK7), CK20, carcinoembryonic antigen (CEA), cancer antigen 125 (CA125), estrogen receptor (ER) and Wilms' tumor 1 (WT1) to help classify various surface epithelial tumors as well as to differentiate them from tumors metastatic to the ovary.

CONCLUSION

CK7 is the most helpful marker to differentiate primary ovarian carcinoma from metastatic colorectal carcinoma of the ovary. Nearly, 96% of ovarian adenocarcinomas were positive for CK7 in contrast to metastatic colorectal, which showed only 25% positivity. We also found that CK7, CK20 and CEA are useful markers to differentiate primary serous tumors from primary mucinous tumors; however, these are less helpful in differentiating ovarian mucinous adenocarcinomas from colorectal adenocarcinomas metastasizing to the ovaries. WT1 helps in typing primary surface epithelial tumors of the ovary and is also significant in determining whether a serous carcinoma within the ovary is primary or metastatic.

摘要

引言

在女性生殖道癌症中,卵巢癌的发病率仅次于子宫颈癌和子宫内膜癌。近年来,免疫组织化学在卵巢病理诊断中的应用有了显著发展。

材料与方法

在两年时间里,我们接收了95份原发性卵巢肿瘤及卵巢转移瘤的标本和活检组织。其中30例为原发性表面上皮肿瘤,7例为转移瘤。

讨论

最常转移至卵巢的肿瘤起源于胃肠道,其次是子宫内膜。我们使用了一组六种标志物,包括细胞角蛋白-7(CK7)、CK20、癌胚抗原(CEA)、癌抗原125(CA125)、雌激素受体(ER)和威尔姆斯瘤1(WT1),以帮助对各种表面上皮肿瘤进行分类,并将它们与转移至卵巢的肿瘤区分开来。

结论

CK7是区分原发性卵巢癌与卵巢转移性结直肠癌最有用的标志物。近96%的卵巢腺癌CK7呈阳性,而转移性结直肠癌仅25%呈阳性。我们还发现,CK7、CK20和CEA是区分原发性浆液性肿瘤与原发性黏液性肿瘤的有用标志物;然而,在区分卵巢黏液性腺癌与转移至卵巢的结直肠腺癌方面,这些标志物的作用较小。WT1有助于对卵巢原发性表面上皮肿瘤进行分型,在确定卵巢内的浆液性癌是原发性还是转移性方面也具有重要意义。

https://cdn.ncbi.nlm.nih.gov/pmc/blobs/ae98/3889055/f2f26fbd5e02/SAJC-2-254-g007.jpg
https://cdn.ncbi.nlm.nih.gov/pmc/blobs/ae98/3889055/347fb926ba62/SAJC-2-254-g003.jpg
https://cdn.ncbi.nlm.nih.gov/pmc/blobs/ae98/3889055/e40b7aa76539/SAJC-2-254-g004.jpg
https://cdn.ncbi.nlm.nih.gov/pmc/blobs/ae98/3889055/e5df95e92ca1/SAJC-2-254-g005.jpg
https://cdn.ncbi.nlm.nih.gov/pmc/blobs/ae98/3889055/30c8586ecfdb/SAJC-2-254-g006.jpg
https://cdn.ncbi.nlm.nih.gov/pmc/blobs/ae98/3889055/f2f26fbd5e02/SAJC-2-254-g007.jpg
https://cdn.ncbi.nlm.nih.gov/pmc/blobs/ae98/3889055/347fb926ba62/SAJC-2-254-g003.jpg
https://cdn.ncbi.nlm.nih.gov/pmc/blobs/ae98/3889055/e40b7aa76539/SAJC-2-254-g004.jpg
https://cdn.ncbi.nlm.nih.gov/pmc/blobs/ae98/3889055/e5df95e92ca1/SAJC-2-254-g005.jpg
https://cdn.ncbi.nlm.nih.gov/pmc/blobs/ae98/3889055/30c8586ecfdb/SAJC-2-254-g006.jpg
https://cdn.ncbi.nlm.nih.gov/pmc/blobs/ae98/3889055/f2f26fbd5e02/SAJC-2-254-g007.jpg

相似文献

1
Immunohistochemistry: A diagnostic aid in differentiating primary epithelial ovarian tumors and tumors metastatic to the ovary.免疫组织化学:鉴别原发性上皮性卵巢肿瘤和卵巢转移性肿瘤的诊断辅助手段。
South Asian J Cancer. 2013 Oct;2(4):254-8. doi: 10.4103/2278-330X.119888.
2
Napsin A and WT 1 are useful immunohistochemical markers for differentiating clear cell carcinoma ovary from high-grade serous carcinoma.Napsin A和WT 1是用于鉴别卵巢透明细胞癌与高级别浆液性癌的有用免疫组化标志物。
APMIS. 2018 Jan;126(1):45-55. doi: 10.1111/apm.12784. Epub 2017 Nov 20.
3
Immunohistochemistry as a diagnostic aid in the evaluation of ovarian tumors.免疫组织化学作为评估卵巢肿瘤的诊断辅助手段。
Semin Diagn Pathol. 2005 Feb;22(1):3-32. doi: 10.1053/j.semdp.2005.11.002.
4
Cytokeratins 7 and 20 in primary and secondary mucinous tumors of the ovary: analysis of coordinate immunohistochemical expression profiles and staining distribution in 179 cases.细胞角蛋白7和20在卵巢原发性和继发性黏液性肿瘤中的表达:179例病例的免疫组化联合表达谱及染色分布分析
Am J Surg Pathol. 2006 Sep;30(9):1130-9. doi: 10.1097/01.pas.0000213281.43036.bb.
5
Differentiation of ovarian mucinous carcinoma and metastatic colorectal adenocarcinoma by immunostaining with beta-catenin.通过β-连环蛋白免疫染色鉴别卵巢黏液性癌和转移性结直肠腺癌
Histopathology. 2003 Aug;43(2):151-6. doi: 10.1046/j.1365-2559.2003.01687.x.
6
The value of Cdx2 immunostaining in differentiating primary ovarian carcinomas from colonic carcinomas metastatic to the ovaries.Cdx2免疫染色在鉴别原发性卵巢癌与转移至卵巢的结肠癌中的价值。
Int J Gynecol Pathol. 2004 Jan;23(1):52-7. doi: 10.1097/01.pgp.0000101141.31270.a0.
7
Ovarian mucinous tumors associated with mature cystic teratomas: morphologic and immunohistochemical analysis identifies a subset of potential teratomatous origin that shares features of lower gastrointestinal tract mucinous tumors more commonly encountered as secondary tumors in the ovary.与成熟囊性畸胎瘤相关的卵巢黏液性肿瘤:形态学和免疫组化分析确定了一个潜在畸胎瘤起源的亚组,该亚组具有在卵巢中更常见的作为继发性肿瘤的下消化道黏液性肿瘤的特征。
Am J Surg Pathol. 2007 Jun;31(6):854-69. doi: 10.1097/PAS.0b013e31802efb45.
8
Immunoprofile of adenocarcinomas of the endometrium, endocervix, and ovary with mucinous differentiation.具有黏液样分化的子宫内膜癌、子宫颈癌和卵巢癌的免疫表型
Appl Immunohistochem Mol Morphol. 2009 Jan;17(1):8-11. doi: 10.1097/PAI.0b013e318174f012.
9
Immunoprofile of ovarian tumors with putative transitional cell (urothelial) differentiation using novel urothelial markers: histogenetic and diagnostic implications.使用新型尿路上皮标志物对具有假定移行细胞(尿路上皮)分化的卵巢肿瘤进行免疫分析:组织发生学及诊断意义
Am J Surg Pathol. 2003 Nov;27(11):1434-41. doi: 10.1097/00000478-200311000-00005.
10
Immunohistochemistry in the Diagnosis of Mucinous Neoplasms Involving the Ovary: The Added Value of SATB2 and Biomarker Discovery Through Protein Expression Database Mining.免疫组织化学在卵巢黏液性肿瘤诊断中的应用:SATB2的附加价值及通过蛋白质表达数据库挖掘发现生物标志物
Int J Gynecol Pathol. 2016 May;35(3):191-208. doi: 10.1097/PGP.0000000000000238.

引用本文的文献

1
PCYT2 mediates ovarian epithelial cancer metastasis by regulating cell membrane fluidity through the AMPK/FOXO1 signalling pathway.PCYT2通过AMPK/FOXO1信号通路调节细胞膜流动性,介导卵巢上皮癌转移。
Sci Rep. 2025 Apr 8;15(1):12044. doi: 10.1038/s41598-025-96405-9.
2
Exploring the protective effect of silver nano-extract against azoxymethane induced toxicity in female reproductive organs in rats.探索纳米银提取物对大鼠雌性生殖器官中由氧化偶氮甲烷诱导的毒性的保护作用。
Heliyon. 2024 Oct 5;10(21):e38820. doi: 10.1016/j.heliyon.2024.e38820. eCollection 2024 Nov 15.
3
Rare Case of Metachronous Gastric Metastasis from Primary Ovarian Carcinoma.

本文引用的文献

1
Expression of HER2/neu, estrogen and progesterone receptors, CA 125 and CA19-9 on cancer cell membrane in patients with serous and mucinous carcinoma of the ovary.HER2/neu、雌激素和孕激素受体、CA 125及CA19-9在卵巢浆液性和黏液性癌患者癌细胞膜上的表达
J BUON. 2009 Oct-Dec;14(4):635-9.
2
Prognostic significance of estrogen receptor alpha and beta expression in human serous carcinomas of the ovary.雌激素受体 α 和 β 在人卵巢浆液性癌中的表达及其预后意义。
Arch Gynecol Obstet. 2010 Mar;281(3):511-7. doi: 10.1007/s00404-009-1185-y. Epub 2009 Jul 29.
3
Clinicopathological features and the value of differential Cytokeratin 7 and 20 expression in resolving diagnostic dilemmas of ovarian involvement by colorectal adenocarcinoma and vice-versa.
原发性卵巢癌异时性胃转移罕见病例。
Indian J Surg Oncol. 2024 Sep;15(3):584-589. doi: 10.1007/s13193-024-01947-5. Epub 2024 May 14.
4
Primary Serous Cystadenocarcinoma of the Spleen.脾脏原发性浆液性囊腺癌
Cureus. 2024 Feb 28;16(2):e55165. doi: 10.7759/cureus.55165. eCollection 2024 Feb.
5
Synchronous and Metachronous Breast and Ovarian Cancers: Experience from a Single Tertiary Care Cancer Centre in India.同步性和异时性乳腺癌与卵巢癌:来自印度一家三级癌症中心的经验。
Indian J Surg Oncol. 2023 Dec;14(4):809-821. doi: 10.1007/s13193-023-01749-1. Epub 2023 Jun 12.
6
Educational Case: Ovarian neoplasms: A series of educational cases to review malignancies of epithelial, stromal, and germ cell origin.教育案例:卵巢肿瘤:一系列用于复习上皮性、间质和生殖细胞来源恶性肿瘤的教育案例。
Acad Pathol. 2023 Apr 24;10(2):100080. doi: 10.1016/j.acpath.2023.100080. eCollection 2023 Apr-Jun.
7
A Platform of Patient-Derived Microtumors Identifies Individual Treatment Responses and Therapeutic Vulnerabilities in Ovarian Cancer.一个源自患者的微肿瘤平台可识别卵巢癌的个体治疗反应和治疗易损性。
Cancers (Basel). 2022 Jun 12;14(12):2895. doi: 10.3390/cancers14122895.
8
CHALLENGES OF AN OVARIAN NEUROENDOCRINE METASTASIS OF ADVANCED SMALL-CELL LUNG CARCINOMA - LITERATURE REVIEW AND CASE REPORT.晚期小细胞肺癌卵巢神经内分泌转移的挑战——文献综述与病例报告
Acta Endocrinol (Buchar). 2021 Apr-Jun;17(2):251-258. doi: 10.4183/aeb.2021.251.
9
Tumor-suppressing effect of bartogenic acid in ovarian (SKOV-3) xenograft mouse model.巴豆酸对卵巢(SKOV-3)异种移植小鼠模型的抑瘤作用。
Naunyn Schmiedebergs Arch Pharmacol. 2021 Aug;394(8):1815-1826. doi: 10.1007/s00210-021-02088-0. Epub 2021 Jul 13.
10
Comprehending the Proteomic Landscape of Ovarian Cancer: A Road to the Discovery of Disease Biomarkers.了解卵巢癌的蛋白质组学概况:发现疾病生物标志物之路。
Proteomes. 2021 May 25;9(2):25. doi: 10.3390/proteomes9020025.
探讨结直肠腺癌累及卵巢与卵巢转移性结直肠腺癌鉴别诊断难题中细胞角蛋白 7、20 表达的差异及其临床病理特征和价值。
Diagn Pathol. 2008 Sep 18;3:39. doi: 10.1186/1746-1596-3-39.
4
Application of immunohistochemistry to gynecologic pathology.免疫组织化学在妇科病理学中的应用。
Arch Pathol Lab Med. 2008 Mar;132(3):402-23. doi: 10.5858/2008-132-402-AOITGP.
5
Immunohistochemical expression of CDX2 in primary ovarian mucinous tumors and metastatic mucinous carcinomas involving the ovary: comparison with CK20 and correlation with coordinate expression of CK7.CDX2在原发性卵巢黏液性肿瘤及累及卵巢的转移性黏液癌中的免疫组化表达:与CK20的比较及与CK7协同表达的相关性
Mod Pathol. 2006 Nov;19(11):1421-8. doi: 10.1038/modpathol.3800698. Epub 2006 Sep 15.
6
Immunohistochemistry as a diagnostic aid in the evaluation of ovarian tumors.免疫组织化学作为评估卵巢肿瘤的诊断辅助手段。
Semin Diagn Pathol. 2005 Feb;22(1):3-32. doi: 10.1053/j.semdp.2005.11.002.
7
Expression of Wilms tumor gene (WT1) in epithelial ovarian cancer.威尔姆斯瘤基因(WT1)在上皮性卵巢癌中的表达。
Gynecol Oncol. 2006 Apr;101(1):12-7. doi: 10.1016/j.ygyno.2005.09.052. Epub 2005 Nov 2.
8
The utility of calretinin, inhibin, and WT1 immunohistochemical staining in the differential diagnosis of ovarian tumors.钙视网膜蛋白、抑制素和WT1免疫组化染色在卵巢肿瘤鉴别诊断中的应用
Hum Pathol. 2005 Feb;36(2):195-201. doi: 10.1016/j.humpath.2004.11.011.
9
Immunohistochemistry as a tool in the differential diagnosis of ovarian tumors: an update.免疫组织化学作为卵巢肿瘤鉴别诊断的工具:最新进展
Int J Gynecol Pathol. 2005 Jan;24(1):39-55.
10
Use of novel immunohistochemical markers expressed in colonic adenocarcinoma to distinguish primary ovarian tumors from metastatic colorectal carcinoma.利用在结肠腺癌中表达的新型免疫组化标志物区分原发性卵巢肿瘤与结直肠癌转移瘤。
Mod Pathol. 2005 Jan;18(1):19-25. doi: 10.1038/modpathol.3800260.