Suppr超能文献

与转移性肠道癌相关的猫副肿瘤性脱毛

Feline paraneoplastic alopecia associated with metastasising intestinal carcinoma.

作者信息

Grandt Lisa-Maria, Roethig Anja, Schroeder Sabrina, Koehler Kernt, Langenstein Judith, Thom Nina, Neiger Reto

机构信息

Clinic for Small Animal Internal Medicine, Justus-Liebig University of Giessen, Giessen, Germany.

Institute of Veterinary Pathology, Justus-Liebig University of Giessen, Giessen, Germany.

出版信息

JFMS Open Rep. 2015 Dec 11;1(2):2055116915621582. doi: 10.1177/2055116915621582. eCollection 2015 Jul-Dec.

Abstract

CASE SUMMARY

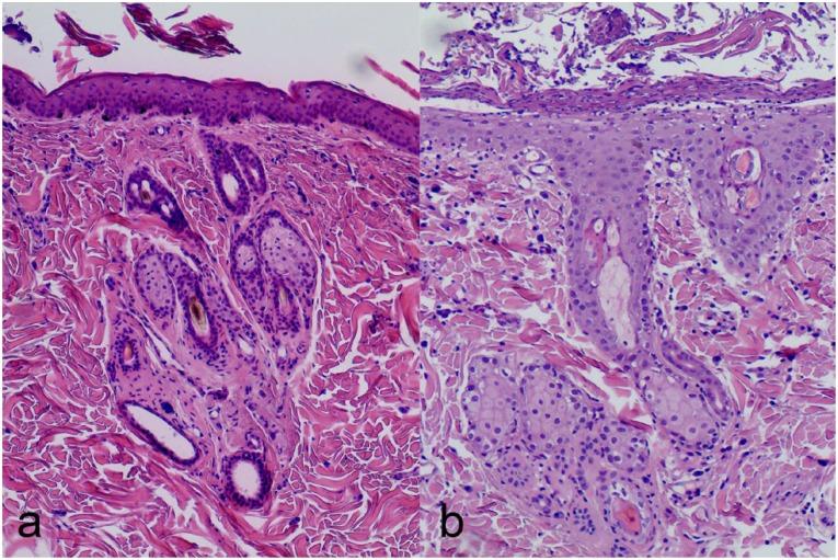
A 10-year-old male neutered British Shorthair cat was presented with a 6 month history of lethargy, weight loss and alopecia. Clinical examination revealed widespread alopecia of the ventral abdomen and hindlimbs. The skin in these areas was smooth and shiny and hairs could be easily epilated. Spontaneous pruritus was observed. Cytological examination of superficial impression smears showed a severe species dermatitis and pyoderma. Ectoparasites could not be detected and no sign of dermatophytosis was visible in trichograms and Wood's lamp analysis. Abdominal ultrasound found a focally thickened wall of the large intestine and multiple nodules in the liver. Fine-needle aspirates from lymph nodes, liver and altered colonic wall were consistent with an undifferentiated malignant neoplasia. The cat was euthanased at the owners' request, owing to potential neoplasia with metastatic spread. At necropsy a metastasising carcinoma of the colonic wall was found, as well as a paraneoplastic alopecia.

RELEVANCE AND NOVEL INFORMATION

Feline paraneoplastic alopecia has been reported in association with pancreatic carcinoma, bile duct carcinoma and hepatocellular carcinoma, as well as with neuroendocrine pancreatic carcinoma and hepatosplenic plasma cell tumour. This is the first reported case of feline paraneoplastic alopecia associated with a colon carcinoma.

摘要

病例摘要

一只10岁已绝育的英国短毛雄性猫,出现了6个月的嗜睡、体重减轻和脱毛症状。临床检查发现腹侧腹部和后肢广泛脱毛。这些部位的皮肤光滑有光泽,毛发很容易拔除。观察到有自发性瘙痒。浅表压片的细胞学检查显示严重的特异性皮炎和脓皮病。未检测到体外寄生虫,毛发涂片检查和伍德灯分析未发现皮肤癣菌病迹象。腹部超声发现大肠壁局部增厚,肝脏有多个结节。从淋巴结、肝脏和病变结肠壁采集的细针穿刺样本与未分化恶性肿瘤一致。由于存在潜在的伴有转移扩散的肿瘤,应主人要求对该猫实施了安乐死。尸检发现结肠壁有转移性癌,以及副肿瘤性脱毛。

相关性及新信息

猫副肿瘤性脱毛已被报道与胰腺癌、胆管癌和肝细胞癌有关,也与神经内分泌性胰腺癌和肝脾浆细胞瘤有关。这是首例报道的与结肠癌相关的猫副肿瘤性脱毛病例。

https://cdn.ncbi.nlm.nih.gov/pmc/blobs/0d69/5362004/0dd74bd4258d/10.1177_2055116915621582-fig1.jpg

相似文献

1
Feline paraneoplastic alopecia associated with metastasising intestinal carcinoma.
JFMS Open Rep. 2015 Dec 11;1(2):2055116915621582. doi: 10.1177/2055116915621582. eCollection 2015 Jul-Dec.
3
A case of feline paraneoplastic alopecia with secondary Malassezia-associated dermatitis.
J Small Anim Pract. 1998 Aug;39(8):394-6. doi: 10.1111/j.1748-5827.1998.tb03739.x.
4
Resolution of paraneoplastic alopecia following surgical removal of a pancreatic carcinoma in a cat.
J Small Anim Pract. 1999 Jan;40(1):16-9. doi: 10.1111/j.1748-5827.1999.tb03248.x.
5
Paraneoplastic alopecia associated with hepatocellular carcinoma in a cat.
Vet Dermatol. 2007 Aug;18(4):267-71. doi: 10.1111/j.1365-3164.2007.00595.x.
6
[Feline paraneoplastic alopecia].
Tijdschr Diergeneeskd. 2008 Mar 1;133(5):182-3.
7
Paraneoplastic alopecia associated with internal malignancies in the cat.
Vet Dermatol. 1997 Mar;8(1):47-52. doi: 10.1111/j.1365-3164.1997.tb00263.x.
8
Malignant transformation of a duodenal duplication cyst in a cat.
JFMS Open Rep. 2015 Apr 28;1(1):2055116915579946. doi: 10.1177/2055116915579946. eCollection 2015 Jan-Jun.
9
Paraneoplastic neutrophilic leukocytosis syndrome in a cat with recurrent mammary carcinoma.
JFMS Open Rep. 2015 Oct 12;1(2):2055116915608202. doi: 10.1177/2055116915608202. eCollection 2015 Jul-Dec.
10
Metastatic pancreatic carcinoma with neuroendocrine differentiation in a cat.
JFMS Open Rep. 2024 Feb 9;10(1):20551169231213504. doi: 10.1177/20551169231213504. eCollection 2024 Jan-Jun.

引用本文的文献

2
Skin as a marker of general feline health: Cutaneous manifestations of systemic disease.
J Feline Med Surg. 2017 Sep;19(9):948-960. doi: 10.1177/1098612X17723246.

本文引用的文献

1
Paraneoplastic alopecia associated with internal malignancies in the cat.
Vet Dermatol. 1997 Mar;8(1):47-52. doi: 10.1111/j.1365-3164.1997.tb00263.x.
3
Pathology in practice. Liver malignancy and paraneoplastic alopecia in a cat.
J Am Vet Med Assoc. 2014 Jun 1;244(11):1265-7. doi: 10.2460/javma.244.11.1265.
4
Alopecia: a common paraneoplastic manifestation of cholangiocarcinoma in humans and animals.
BMJ Case Rep. 2012 Jun 15;2012:bcr2012006217. doi: 10.1136/bcr-2012-006217.
5
Malassezia spp. overgrowth in allergic cats.
Vet Dermatol. 2007 Oct;18(5):316-23. doi: 10.1111/j.1365-3164.2007.00609.x.
6
Paraneoplastic alopecia associated with hepatocellular carcinoma in a cat.
Vet Dermatol. 2007 Aug;18(4):267-71. doi: 10.1111/j.1365-3164.2007.00595.x.
7
Thymoma-associated exfoliative dermatitis in cats.
Vet Pathol. 2004 Jul;41(4):429-33. doi: 10.1354/vp.41-4-429.
8
Cutaneous paraneoplastic syndromes in dogs and cats: a review of the literature.
Vet Dermatol. 2003 Dec;14(6):279-96. doi: 10.1111/j.1365-3164.2003.00346.x.
9
Retrospective study: the presence of Malassezia in feline skin biopsies. A clinicopathological study.
Vet Dermatol. 2002 Feb;13(1):7-13. doi: 10.1046/j.0959-4493.2001.00279.x.
10
What is your diagnosis? Feline paraneoplastic alopecia associated with pancreatic and bile duct carcinomas.
J Small Anim Pract. 1999 Dec;40(12):559, 595-6. doi: 10.1111/j.1748-5827.1999.tb03021.x.

文献AI研究员

20分钟写一篇综述,助力文献阅读效率提升50倍。

立即体验

用中文搜PubMed

大模型驱动的PubMed中文搜索引擎

马上搜索

文档翻译

学术文献翻译模型,支持多种主流文档格式。

立即体验