Suppr超能文献

一只患有复发性乳腺癌的猫的副肿瘤性中性粒细胞增多综合征

Paraneoplastic neutrophilic leukocytosis syndrome in a cat with recurrent mammary carcinoma.

作者信息

Jark Paulo C, Raposo-Ferreira Talita Mm, Terra Erika M, Sierra Matiz Oscar R, Anai Letícia A, Fonseca-Alves Carlos E, Tinucci-Costa Mirela, Laufer-Amorim Renee, De Nardi Andrigo B

机构信息

Clinical Veterinary Department, College of Agricultural and Veterinary Sciences, São Paulo State University 'Júlio de Mesquita Filho' (UNESP), Jaboticabal, São Paulo, Brazil.

Pathology Veterinary Department, College of Veterinary and Zootechnical Medicine, São Paulo State University 'Júlio de Mesquita Filho' (UNESP), Botucatu, São Paulo, Brazil.

出版信息

JFMS Open Rep. 2015 Oct 12;1(2):2055116915608202. doi: 10.1177/2055116915608202. eCollection 2015 Jul-Dec.

Abstract

CASE SUMMARY

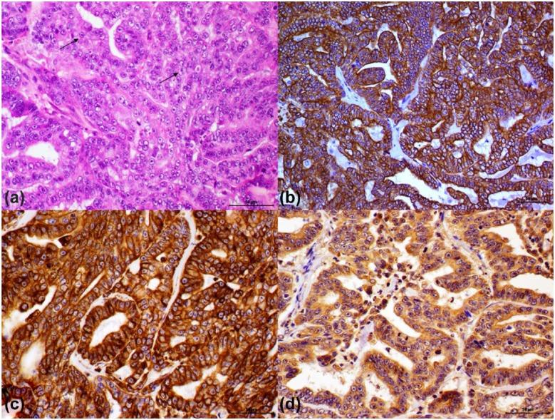
A spayed 12-year-old female domestic shorthair cat presented with nodular lesions on the ventral-right thoracic wall after complete mastectomy 4 months previously. The prior diagnosis was tubulopapillary mammary carcinoma with axillary lymph node metastasis, and a recurrence was confirmed. A gradual and sequential increase in the total number of leukocytes with severe neutrophilia (95.632/µl) developed over the course of the illness, along with an increase in the size of the recurrent mass. The severe leukocytosis did not show any response to antibiotic therapy, and no evidence of infection was observed. Bone marrow cytology confirmed hypercellularity in the myeloid cell lineage. Based on these findings, paraneoplastic neutrophilic leukocytosis syndrome was suspected. An incisional biopsy of the recurrent mass was consistent with recurrent tubulopapillary mammary carcinoma. Malignant epithelial cells stained positive upon immunohistochemistry for granulocyte-macrophage colony-stimulating factor, cytokeratin and vimentin. After the final diagnosis of paraneoplastic neutrophilic leukocytosis syndrome, the cat was euthanized at the owner's request.

RELEVANCE AND NOVEL INFORMATION

This is a novel case of paraneoplastic leukocytosis syndrome associated with mammary carcinoma in a cat. Although there are some reports describing paraneoplastic leukocytosis in cats, the relationship between this syndrome and feline mammary tumors has not been described.

摘要

病例摘要

一只12岁已绝育的雌性家养短毛猫,在4个月前接受了全乳切除术后,右侧胸壁腹侧出现结节性病变。先前的诊断为管状乳头状乳腺癌伴腋窝淋巴结转移,现确诊复发。在病程中,白细胞总数逐渐且持续增加,伴有严重的嗜中性粒细胞增多(95.632/µl),同时复发肿块的大小也在增加。严重的白细胞增多对抗生素治疗无任何反应,且未观察到感染迹象。骨髓细胞学检查证实髓细胞系细胞增多。基于这些发现,怀疑为副肿瘤性嗜中性白细胞增多综合征。复发性肿块的切开活检结果与复发性管状乳头状乳腺癌一致。恶性上皮细胞免疫组化显示粒细胞 - 巨噬细胞集落刺激因子、细胞角蛋白和波形蛋白呈阳性。在最终诊断为副肿瘤性嗜中性白细胞增多综合征后,应主人要求对该猫实施了安乐死。

相关性和新信息

这是一例与猫乳腺癌相关的副肿瘤性白细胞增多综合征的新病例。尽管有一些关于猫副肿瘤性白细胞增多的报道,但该综合征与猫乳腺肿瘤之间的关系尚未见描述。

https://cdn.ncbi.nlm.nih.gov/pmc/blobs/3973/5361992/96934eef5908/10.1177_2055116915608202-fig1.jpg

文献检索

告别复杂PubMed语法,用中文像聊天一样搜索,搜遍4000万医学文献。AI智能推荐,让科研检索更轻松。

立即免费搜索

文件翻译

保留排版,准确专业,支持PDF/Word/PPT等文件格式,支持 12+语言互译。

免费翻译文档

深度研究

AI帮你快速写综述,25分钟生成高质量综述,智能提取关键信息,辅助科研写作。

立即免费体验