Vishkautsan Polina, Reagan Krystle L, Keel M Kevin, Sykes Jane E
Veterinary Medical Teaching Hospital, School of Veterinary Medicine, University of California-Davis, Davis, CA, USA.
Department of Pathology, Microbiology and Immunology, School of Veterinary Medicine, University of California-Davis, Davis, CA, USA.
JFMS Open Rep. 2016 Oct 11;2(2):2055116916672786. doi: 10.1177/2055116916672786. eCollection 2016 Jul-Dec.
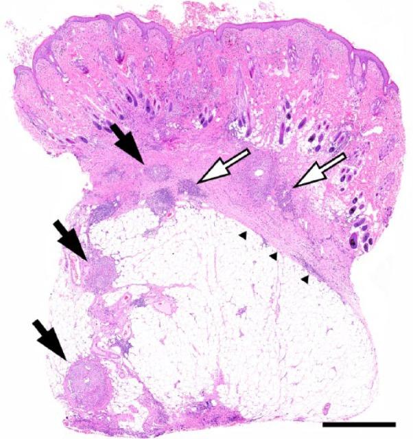
A domestic shorthair cat was evaluated for chronic, bilateral, ulcerative dermatitis affecting the inguinal region and lateral aspects of both pelvic limbs. Histopathologic examination of skin biopsies collected throughout the course of disease revealed chronic pyogranulomatous ulcerative dermatitis. Aerobic bacterial skin cultures yielded growth of a methicillin-resistant and . Upon referral the clinical findings were suggestive of a non-tuberculous species infection. Previously obtained skin cultures failed to yield growth of mycobacterial organisms. A deep skin biopsy was collected and submitted for mycobacterial culture. At 5 weeks of incubation was isolated. In previous reports, has been isolated after 2-4 days of incubation, suggesting that this strain may have been a slower growing variant, or other factors (such as prior antimicrobial therapy) inhibited rapid growth of this isolate. The cat was hospitalized for intravenous antibiotic therapy, surgical debridement of wounds, vacuum-assisted wound closure therapy and reconstruction procedures. The wounds were ultimately primarily closed and the cat was discharged to the owner after 50 days of hospitalization. Seven months after hospitalization, the ulcerative skin lesions had healed.
To our knowledge, only two cases of panniculitis have been reported in cats. In the only detailed report of feline panniculitis, treatment was not attempted. The second case only reported detection of by PCR without a clinical description of the case. In our case report, severe chronic skin infection with was addressed using prolonged specific antibiotic therapy, surgical debridement and reconstructions, and treatment of secondary bacterial infections.
一只家养短毛猫因腹股沟区域及双侧后肢外侧慢性、双侧溃疡性皮炎接受评估。在疾病过程中采集的皮肤活检组织的组织病理学检查显示为慢性脓性肉芽肿性溃疡性皮炎。需氧菌皮肤培养分离出一株耐甲氧西林的[细菌名称未给出]。转诊时,临床症状提示为非结核分枝杆菌属感染。此前获得的皮肤培养物未培养出分枝杆菌。采集了深部皮肤活检组织并送检进行分枝杆菌培养。培养5周后分离出[细菌名称未给出]。在之前的报告中,[细菌名称未给出]在培养2 - 4天后被分离出来,这表明该菌株可能是生长较慢的变体,或者其他因素(如先前的抗菌治疗)抑制了该分离株的快速生长。这只猫住院接受静脉抗生素治疗、伤口手术清创、负压伤口闭合治疗和重建手术。伤口最终一期愈合,住院50天后猫被主人带回家。住院7个月后,溃疡性皮肤病变已愈合。
据我们所知,猫身上仅报告过两例[细菌名称未给出]脂膜炎。在唯一一篇关于猫[细菌名称未给出]脂膜炎的详细报告中,未尝试进行治疗。第二例仅报告通过PCR检测到[细菌名称未给出],未对病例进行临床描述。在我们的病例报告中,针对严重的慢性[细菌名称未给出]皮肤感染,采用了延长的特异性抗生素治疗、手术清创和重建以及继发性细菌感染的治疗。