• 文献检索
  • 文档翻译
  • 深度研究
  • 学术资讯
  • Suppr Zotero 插件Zotero 插件
  • 邀请有礼
  • 套餐&价格
  • 历史记录
应用&插件
Suppr Zotero 插件Zotero 插件浏览器插件Mac 客户端Windows 客户端微信小程序
定价
高级版会员购买积分包购买API积分包
服务
文献检索文档翻译深度研究API 文档MCP 服务
关于我们
关于 Suppr公司介绍联系我们用户协议隐私条款
关注我们

Suppr 超能文献

核心技术专利:CN118964589B侵权必究
粤ICP备2023148730 号-1Suppr @ 2026

文献检索

告别复杂PubMed语法,用中文像聊天一样搜索,搜遍4000万医学文献。AI智能推荐,让科研检索更轻松。

立即免费搜索

文件翻译

保留排版,准确专业,支持PDF/Word/PPT等文件格式,支持 12+语言互译。

免费翻译文档

深度研究

AI帮你快速写综述,25分钟生成高质量综述,智能提取关键信息,辅助科研写作。

立即免费体验

Transvenous approach to pacemaker lead implantation for sinus node dysfunction after extracardiac lateral tunnel Fontan conduit placement.

作者信息

O'Leary Edward, Alexander Mark E, Fynn-Thompson Francis, Mah Douglas

机构信息

Department of Pediatrics, Boston Children's Hospital, Boston, Massachusetts.

Department of Cardiology, Boston Children's Hospital, Boston, Massachusetts.

出版信息

HeartRhythm Case Rep. 2016 Sep 14;2(6):495-498. doi: 10.1016/j.hrcr.2016.07.006. eCollection 2016 Nov.

DOI:10.1016/j.hrcr.2016.07.006
PMID:28491745
原文链接:https://pmc.ncbi.nlm.nih.gov/articles/PMC5419993/
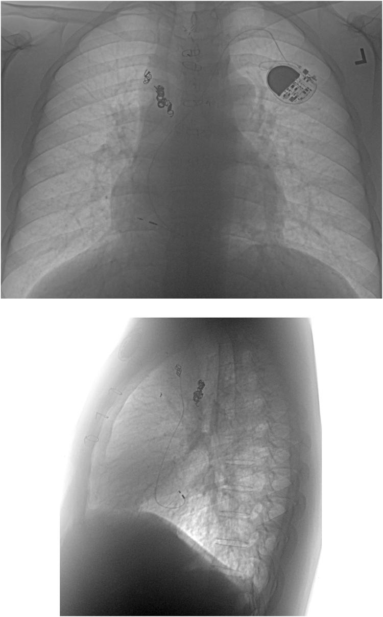
Abstract
摘要
https://cdn.ncbi.nlm.nih.gov/pmc/blobs/87a6/5419993/6c7b14360bce/gr2.jpg
https://cdn.ncbi.nlm.nih.gov/pmc/blobs/87a6/5419993/969b61af56fd/gr1.jpg
https://cdn.ncbi.nlm.nih.gov/pmc/blobs/87a6/5419993/6c7b14360bce/gr2.jpg
https://cdn.ncbi.nlm.nih.gov/pmc/blobs/87a6/5419993/969b61af56fd/gr1.jpg
https://cdn.ncbi.nlm.nih.gov/pmc/blobs/87a6/5419993/6c7b14360bce/gr2.jpg

相似文献

1
Transvenous approach to pacemaker lead implantation for sinus node dysfunction after extracardiac lateral tunnel Fontan conduit placement.经静脉途径植入起搏器导线用于心外膜侧隧道Fontan管道置入术后的窦房结功能障碍。
HeartRhythm Case Rep. 2016 Sep 14;2(6):495-498. doi: 10.1016/j.hrcr.2016.07.006. eCollection 2016 Nov.
2
Extracardiac autologous pericardial tunnel Fontan allows implantation of an endocardial atrial lead for sinus node dysfunction.心外自体心包隧道 Fontan 术可植入心内膜房性起搏导线治疗窦性心动过缓。
Ann Thorac Surg. 2014 Sep;98(3):1094-6. doi: 10.1016/j.athoracsur.2013.09.115.
3
Transpulmonary atrial pacing: an approach to transvenous pacemaker implantation after extracardiac conduit Fontan surgery.经肺心房起搏:心外管道Fontan手术后经静脉起搏器植入的一种方法。
J Cardiovasc Electrophysiol. 2014 Sep;25(9):1028-1031. doi: 10.1111/jce.12447. Epub 2014 Jun 6.
4
Atrial pacing in Fontan patients: The effect of transvenous lead on clot burden.房间隔起搏在 Fontan 患者中的应用:经静脉导线对血栓负荷的影响。
Heart Rhythm. 2021 Nov;18(11):1860-1867. doi: 10.1016/j.hrthm.2021.06.1191. Epub 2021 Jun 25.
5
Sinus Node Dysfunction After Extracardiac Conduit and Lateral Tunnel Fontan Operation: The Importance of the Type of Prior Superior Cavopulmonary Anastomosis.心外管道和侧隧道Fontan手术后的窦房结功能障碍:既往上腔静脉-肺动脉吻合类型的重要性。
World J Pediatr Congenit Heart Surg. 2016 Mar;7(2):210-5. doi: 10.1177/2150135115616370.
6
Transvenous pacing approach for atrioventricular block in fontan - Possibility of transvenous approach by electrophysiological assessment.经静脉起搏治疗法洛四联症房室传导阻滞——通过电生理评估行经静脉治疗的可能性
J Cardiol Cases. 2022 Mar 14;25(6):389-391. doi: 10.1016/j.jccase.2022.01.010. eCollection 2022 Jun.
7
Sinus node dysfunction after intraatrial lateral tunnel and extracardiac conduit fontan procedures.心房内侧面隧道和心外管道Fontan手术术后的窦房结功能障碍
Pediatr Cardiol. 2003 May-Jun;24(3):284-8. doi: 10.1007/s00246-002-0238-9. Epub 2003 Jan 15.
8
The first successful implantation of an intravenous AAIR pacemaker into autologous extracardiac lateral tunnel Fontan in the child.首例成功将静脉AAIR起搏器植入儿童自体心外膜侧隧道Fontan手术中。
J Electrocardiol. 2018 Nov-Dec;51(6):1015-1018. doi: 10.1016/j.jelectrocard.2018.07.019. Epub 2018 Jul 27.
9
Transvenous pacemaker implantation after the bidirectional Glenn operation for patients with complex congenital disease.经腔静脉起搏器植入术在复杂先天性心脏病双向 Glenn 手术后的应用。
J Cardiovasc Electrophysiol. 2018 Mar;29(3):497-503. doi: 10.1111/jce.13404. Epub 2018 Jan 5.
10
Transvenous Versus Epicardial Pacing in Fontan Patients.Fontan 患者经静脉起搏与心外膜起搏的比较
Pediatr Cardiol. 2018 Oct;39(7):1484-1488. doi: 10.1007/s00246-018-1920-x. Epub 2018 Jun 11.

引用本文的文献

1
Use of an electroanatomic mapping system with high-density multipolar mapping catheters to guide transvenous atrial pacing lead implantation in a Fontan patient.使用带有高密度多极标测导管的电解剖标测系统来指导一名Fontan手术患者的经静脉心房起搏导线植入。
HeartRhythm Case Rep. 2023 Oct 31;10(1):49-52. doi: 10.1016/j.hrcr.2023.10.020. eCollection 2024 Jan.
2
Pacemaker implantation via femoral vein and successful arrhythmia management in an elderly patient with Fontan circulation: a case report.经股静脉植入起搏器并成功管理一名患有Fontan循环的老年患者的心律失常:病例报告
Eur Heart J Case Rep. 2022 Jan 13;6(1):ytac003. doi: 10.1093/ehjcr/ytac003. eCollection 2022 Jan.
3

本文引用的文献

1
Permanent trans-venous pacing in an extra-cardiac Fontan circulation.心外Fontan循环中的永久性经静脉起搏
Europace. 2016 Feb;18(2):304-7. doi: 10.1093/europace/euv110. Epub 2015 May 19.
2
Extracardiac autologous pericardial tunnel Fontan allows implantation of an endocardial atrial lead for sinus node dysfunction.心外自体心包隧道 Fontan 术可植入心内膜房性起搏导线治疗窦性心动过缓。
Ann Thorac Surg. 2014 Sep;98(3):1094-6. doi: 10.1016/j.athoracsur.2013.09.115.
3
Transpulmonary atrial pacing: an approach to transvenous pacemaker implantation after extracardiac conduit Fontan surgery.
Intensive Care Unit Management of the Adult with Congenital Heart Disease.
成人先天性心脏病的重症监护病房管理。
Curr Cardiol Rep. 2020 Sep 10;22(11):136. doi: 10.1007/s11886-020-01389-9.
4
Endocardial transvenous pacing in patients with surgically palliated univentricular hearts: A review on different techniques, problems and management.外科姑息性单心室心脏患者的心内膜经静脉起搏:不同技术、问题及管理的综述
Indian Pacing Electrophysiol J. 2019 Jan-Feb;19(1):15-22. doi: 10.1016/j.ipej.2018.11.013. Epub 2018 Nov 30.
5
Transvenous Versus Epicardial Pacing in Fontan Patients.Fontan 患者经静脉起搏与心外膜起搏的比较
Pediatr Cardiol. 2018 Oct;39(7):1484-1488. doi: 10.1007/s00246-018-1920-x. Epub 2018 Jun 11.
6
Novel direct approach for placement of permanent transvenous pacing leads after Fontan procedure.Fontan手术后永久性经静脉起搏导线置入的新型直接方法。
Ann Pediatr Cardiol. 2018 May-Aug;11(2):187-190. doi: 10.4103/apc.APC_157_17.
经肺心房起搏:心外管道Fontan手术后经静脉起搏器植入的一种方法。
J Cardiovasc Electrophysiol. 2014 Sep;25(9):1028-1031. doi: 10.1111/jce.12447. Epub 2014 Jun 6.
4
In situ pericardial extracardiac lateral tunnel Fontan operation: fifteen-year experience.原位心包外腔侧隧道 Fontan 手术:15 年经验。
J Thorac Cardiovasc Surg. 2010 Nov;140(5):1076-83. doi: 10.1016/j.jtcvs.2010.07.068.
5
Permanent atrial pacing lead implant route after Fontan operation.Fontan手术后永久性心房起搏导线植入途径
Pacing Clin Electrophysiol. 2009 Jun;32(6):779-85. doi: 10.1111/j.1540-8159.2009.02365.x.
6
The Fontan procedure: contemporary techniques have improved long-term outcomes.Fontan手术:当代技术改善了长期预后。
Circulation. 2007 Sep 11;116(11 Suppl):I157-64. doi: 10.1161/CIRCULATIONAHA.106.676445.
7
Transvenous pacing leads and systemic thromboemboli in patients with intracardiac shunts: a multicenter study.心内分流患者经静脉起搏导线与系统性血栓栓塞:一项多中心研究
Circulation. 2006 May 23;113(20):2391-7. doi: 10.1161/CIRCULATIONAHA.106.622076. Epub 2006 May 15.
8
Endocardial pacing after Fontan-type procedures.Fontan类手术后的心内膜起搏。
Pacing Clin Electrophysiol. 2005 Feb;28(2):140-8. doi: 10.1111/j.1540-8159.2005.04006.x.
9
Surgical reinterventions following the Fontan procedure.Fontan手术后的外科再次干预。
Eur J Cardiothorac Surg. 2003 Aug;24(2):255-9. doi: 10.1016/s1010-7940(03)00257-4.
10
DDD pacemaker implantation after Fontan-type operations.Fontan类手术后植入双腔起搏器。
Pacing Clin Electrophysiol. 2003 Jan;26(1P2):492-5. doi: 10.1046/j.1460-9592.2003.00079.x.