• 文献检索
  • 文档翻译
  • 深度研究
  • 学术资讯
  • Suppr Zotero 插件Zotero 插件
  • 邀请有礼
  • 套餐&价格
  • 历史记录
应用&插件
Suppr Zotero 插件Zotero 插件浏览器插件Mac 客户端Windows 客户端微信小程序
定价
高级版会员购买积分包购买API积分包
服务
文献检索文档翻译深度研究API 文档MCP 服务
关于我们
关于 Suppr公司介绍联系我们用户协议隐私条款
关注我们

Suppr 超能文献

核心技术专利:CN118964589B侵权必究
粤ICP备2023148730 号-1Suppr @ 2026

文献检索

告别复杂PubMed语法,用中文像聊天一样搜索,搜遍4000万医学文献。AI智能推荐,让科研检索更轻松。

立即免费搜索

文件翻译

保留排版,准确专业,支持PDF/Word/PPT等文件格式,支持 12+语言互译。

免费翻译文档

深度研究

AI帮你快速写综述,25分钟生成高质量综述,智能提取关键信息,辅助科研写作。

立即免费体验

膀胱透明细胞“中肾样”癌与具有透明细胞特征的肺腺癌共存——多原发性肿瘤与转移性肿瘤:一例报告

Concordant clear cell "mesonephric" carcinoma of the bladder and lung adenocarcinoma with clear cell features - multiple primaries versus metastatic neoplasms: a case report.

作者信息

Jassim Sarmad H, Khiyami Amer, Nguyen Jane K, Ganesan Santhi, Tomashefski Joseph, Sawady Joram

机构信息

Department of Pathology, MetroHealth Medical Center, Case Western Reserve University, Cleveland, OH, USA.

出版信息

J Med Case Rep. 2017 May 12;11(1):133. doi: 10.1186/s13256-017-1295-2.

DOI:10.1186/s13256-017-1295-2
PMID:28494807
原文链接:https://pmc.ncbi.nlm.nih.gov/articles/PMC5427558/
Abstract

BACKGROUND

Clear cell carcinoma of the bladder is a rare variant of urinary bladder adenocarcinoma. We report a case of a patient with clear cell carcinoma of the bladder and a concordant right upper lobe pulmonary adenocarcinoma with clear cell features, and we address the role of immunohistochemistry and cytogenetic analysis in distinguishing the two primary malignancies.

CASE PRESENTATION

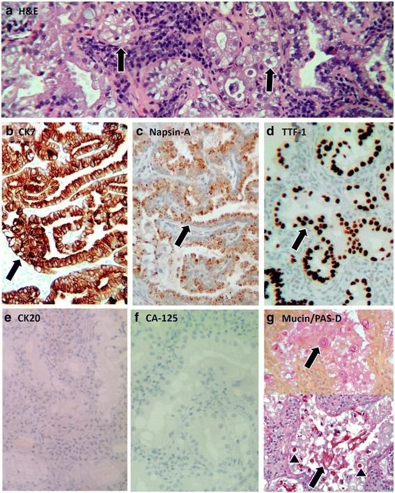
Our patient was a 59-year-old African American woman who presented with hematuria. Her past medical history included invasive mammary carcinoma and end-stage renal disease treated with hemodialysis. A computed tomographic urogram revealed a 3-cm polypoid bladder mass. A follow-up chest computed tomographic scan revealed a 1-cm right upper lobe nodule. The patient underwent transurethral biopsy and subsequent radical cystectomy, as well as a transthoracic core needle biopsy of the lung nodule. Histologically, the bladder tumor consisted of flat, cuboidal to columnar cells with clear or eosinophilic cytoplasm and a hobnail appearance, organized in tubulocystic and papillary patterns. The neoplastic cells were diffusely positive for α-methylacyl-coenzyme A racemase, cancer antigen 125, and cytokeratin 7; focally positive for cytokeratin 20, P53, and carcinoembryonic antigen; and negative for thyroid transcription factor 1. The lung tumor demonstrated a glandular architecture with mucin production (positive for mucin with mucicarmine and periodic acid-Schiff with diastase stain). The neoplastic cells were diffusely positive for cytokeratin 7, napsin A, and thyroid transcription factor 1, and they were negative for cytokeratin 20 and cancer antigen 125. Genetic testing of the pulmonary neoplasm demonstrated ARID2 genomic alterations.

CONCLUSIONS

The presence of clear cell features in both neoplasms raised the possibility of lung metastasis from the primary bladder tumor. However, the glandular architecture of the lung neoplasm along with its distinctive immunohistochemical and genetic profiles confirmed the presence of two separate primaries.

摘要

背景

膀胱透明细胞癌是膀胱腺癌的一种罕见变体。我们报告一例膀胱透明细胞癌患者,同时伴有具有透明细胞特征的右肺上叶肺腺癌,并探讨免疫组织化学和细胞遗传学分析在区分这两种原发性恶性肿瘤中的作用。

病例介绍

我们的患者是一名59岁的非裔美国女性,表现为血尿。她的既往病史包括浸润性乳腺癌和接受血液透析治疗的终末期肾病。计算机断层扫描尿路造影显示膀胱有一个3厘米的息肉样肿块。后续胸部计算机断层扫描显示右肺上叶有一个1厘米的结节。患者接受了经尿道活检及随后的根治性膀胱切除术,以及对肺结节进行的经胸芯针活检。组织学上,膀胱肿瘤由扁平、立方形至柱状细胞组成,细胞质透明或嗜酸性,呈鞋钉样外观,呈管状囊性和乳头状结构。肿瘤细胞对α-甲基酰基辅酶A消旋酶、癌抗原125和细胞角蛋白7弥漫性阳性;对细胞角蛋白20、P53和癌胚抗原局灶性阳性;对甲状腺转录因子1阴性。肺肿瘤显示有腺泡结构并产生黏液(黏液卡红染色和淀粉酶消化后的过碘酸-雪夫染色显示黏液阳性)。肿瘤细胞对细胞角蛋白7、 napsin A和甲状腺转录因子1弥漫性阳性,对细胞角蛋白20和癌抗原125阴性。对肺肿瘤进行的基因检测显示有ARID2基因改变。

结论

两种肿瘤均存在透明细胞特征,提示可能是原发性膀胱肿瘤肺转移。然而,肺肿瘤的腺泡结构及其独特的免疫组织化学和基因特征证实存在两种独立的原发性肿瘤。

https://cdn.ncbi.nlm.nih.gov/pmc/blobs/adb4/5427558/8543ec0774df/13256_2017_1295_Fig2_HTML.jpg
https://cdn.ncbi.nlm.nih.gov/pmc/blobs/adb4/5427558/13b8fe5e0814/13256_2017_1295_Fig1_HTML.jpg
https://cdn.ncbi.nlm.nih.gov/pmc/blobs/adb4/5427558/8543ec0774df/13256_2017_1295_Fig2_HTML.jpg
https://cdn.ncbi.nlm.nih.gov/pmc/blobs/adb4/5427558/13b8fe5e0814/13256_2017_1295_Fig1_HTML.jpg
https://cdn.ncbi.nlm.nih.gov/pmc/blobs/adb4/5427558/8543ec0774df/13256_2017_1295_Fig2_HTML.jpg

相似文献

1
Concordant clear cell "mesonephric" carcinoma of the bladder and lung adenocarcinoma with clear cell features - multiple primaries versus metastatic neoplasms: a case report.膀胱透明细胞“中肾样”癌与具有透明细胞特征的肺腺癌共存——多原发性肿瘤与转移性肿瘤:一例报告
J Med Case Rep. 2017 May 12;11(1):133. doi: 10.1186/s13256-017-1295-2.
2
Clear cell urothelial carcinoma of the urinary bladder: a case report and review of the literature.膀胱透明细胞尿路上皮癌:一例病例报告及文献综述
J Med Case Rep. 2014 Aug 14;8:275. doi: 10.1186/1752-1947-8-275.
3
[A case of synchronous triple primary cancers of prostate, kidney and bladder].[一例前列腺、肾脏和膀胱同步原发性三重癌病例]
Hinyokika Kiyo. 1998 Sep;44(9):675-8.
4
Clear cell adenocarcinoma of the bladder in a male patient: clinicopathologic analysis of a case.男性患者膀胱透明细胞腺癌:一例临床病理分析
Urol Int. 2003;71(2):228-30. doi: 10.1159/000071856.
5
Applications and limitations of immunohistochemical expression of "Napsin-A" in distinguishing lung adenocarcinoma from adenocarcinomas of other organs.“Napsin-A”免疫组化表达在鉴别肺腺癌与其他器官腺癌中的应用及局限性
Appl Immunohistochem Mol Morphol. 2013 May;21(3):191-5. doi: 10.1097/PAI.0b013e3182612643.
6
Primary pulmonary adenocarcinoma with enteric differentiation resembling metastatic colorectal carcinoma: a report of the second case negative for cytokeratin 7.具有肠分化特征的原发性肺腺癌类似于转移性结直肠癌:第二例细胞角蛋白 7 阴性病例报告。
Pathol Res Pract. 2011 Mar 15;207(3):188-91. doi: 10.1016/j.prp.2010.07.005. Epub 2010 Aug 19.
7
An autopsy case of clear cell adenocarcinoma of the urinary bladder.一例膀胱透明细胞腺癌尸检病例
Appl Immunohistochem Mol Morphol. 2013 Jul;21(4):371-5. doi: 10.1097/PAI.0b013e31821b193b.
8
Tubulocystic clear cell adenocarcinoma arising within the prostate.起源于前列腺的管状囊性透明细胞腺癌。
Am J Surg Pathol. 2000 Oct;24(10):1433-6. doi: 10.1097/00000478-200010000-00016.
9
[Ovarian metastasis and lung adenocarcinoma: a case report].[卵巢转移与肺腺癌:一例报告]
Cancer Radiother. 2005 May;9(3):183-6. doi: 10.1016/j.canrad.2005.03.001. Epub 2005 Apr 9.
10
Clear cell adenocarcinoma of the bladder and urethra: cases diffusely mimicking nephrogenic adenoma.膀胱和尿道透明细胞腺癌:弥漫性酷似肾源性腺瘤的病例。
Hum Pathol. 2010 Apr;41(4):594-601. doi: 10.1016/j.humpath.2009.10.011. Epub 2010 Jan 8.

引用本文的文献

1
Advances in the role of SWI/SNF complexes in tumours.SWI/SNF 复合物在肿瘤中的作用研究进展。
J Cell Mol Med. 2023 Apr;27(8):1023-1031. doi: 10.1111/jcmm.17709. Epub 2023 Mar 8.
2
Micropapillary Variant of Urothelial Carcinoma in a Hemodialysis Patient.一名血液透析患者的尿路上皮癌微乳头变异型
Case Rep Oncol. 2022 Apr 28;15(1):462-468. doi: 10.1159/000524430. eCollection 2022 Jan-Apr.

本文引用的文献

1
A rare case of synchronous renal cell carcinoma of the bladder presenting with gross hematuria.一例罕见的以肉眼血尿为表现的膀胱同步性肾细胞癌病例。
Rare Tumors. 2013 May 7;5(2):72-4. doi: 10.4081/rt.2013.e19. Print 2013 Apr 15.
2
Recurrent inactivating mutations of ARID2 in non-small cell lung carcinoma.非小细胞肺癌中 ARID2 的反复失活突变。
Int J Cancer. 2013 May 1;132(9):2217-21. doi: 10.1002/ijc.27900. Epub 2012 Nov 20.
3
Primary clear cell adenocarcinoma of the bladder with recurrence: a case report and literature review.
膀胱原发性透明细胞腺癌伴复发:病例报告及文献复习。
World J Surg Oncol. 2012 Feb 10;10:33. doi: 10.1186/1477-7819-10-33.
4
Clear cell adenocarcinoma of the urinary bladder: a short review.膀胱透明细胞腺癌:简要综述
Arch Pathol Lab Med. 2009 Jun;133(6):987-91. doi: 10.5858/133.6.987.
5
Urological implications of concurrent bladder and lung cancer.膀胱癌与肺癌并存的泌尿系统影响
Isr Med Assoc J. 2007 Oct;9(10):732-5.
6
Clear cell adenocarcinoma of the bladder in a male patient: clinicopathologic analysis of a case.男性患者膀胱透明细胞腺癌:一例临床病理分析
Urol Int. 2003;71(2):228-30. doi: 10.1159/000071856.
7
Clear cell carcinoma of the urinary bladder: a report and comparison of four tumors of mullerian origin and nine of probable urothelial origin with discussion of histogenesis and diagnostic problems.膀胱透明细胞癌:4例苗勒管起源肿瘤及9例可能为尿路上皮起源肿瘤的报告与比较,并讨论组织发生及诊断问题
Am J Surg Pathol. 2002 Feb;26(2):190-7. doi: 10.1097/00000478-200202000-00005.
8
Is TTF1 a good immunohistochemical marker to distinguish primary from metastatic lung adenocarcinomas?TTF1是区分原发性肺腺癌与转移性肺腺癌的良好免疫组化标志物吗?
Pathol Res Pract. 2000;196(12):835-40. doi: 10.1016/S0344-0338(00)80084-9.
9
Mesonephric adenocarcinoma of the urinary bladder: a case report.膀胱中肾腺癌:一例报告
Hinyokika Kiyo. 2000 Jan;46(1):27-31.
10
Clear cell adenocarcinoma and nephrogenic adenoma of the urethra and urinary bladder: a histopathologic and immunohistochemical comparison.尿道及膀胱的透明细胞腺癌和肾源性腺瘤:组织病理学与免疫组化比较
Hum Pathol. 1998 Dec;29(12):1451-6. doi: 10.1016/s0046-8177(98)90015-6.