Suppr超能文献

直接作用口服抗凝剂用于非肝硬化相关性急性门静脉血栓形成的疗效与安全性

Efficacy and Safety of Direct-Acting Oral Anticoagulants Use in Acute Portal Vein Thrombosis Unrelated to Cirrhosis.

作者信息

Nery Filipe, Valadares Diana, Morais Sara, Gomes Manuel Teixeira, De Gottardi Andrea

机构信息

Servico de Cuidados Intensivos - Unidade Intermedia Medica, Centro Hospitalar do Porto, Hospital Sto Antonio, Porto, Portugal.

EpiUnit - Instituto de Saude Publica da Universidade do Porto, Porto, Portugal.

出版信息

Gastroenterology Res. 2017 Apr;10(2):141-143. doi: 10.14740/gr806w. Epub 2017 Apr 19.

Abstract

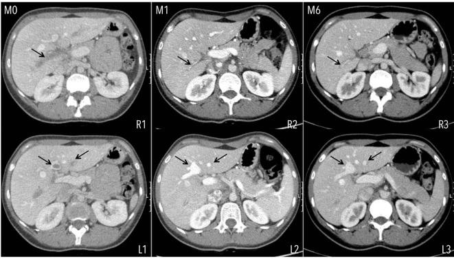
In acute portal vein thrombosis (APVT) unrelated to cirrhosis, anticoagulant therapy is classically started with low molecular weight heparin or vitamin K antagonists. New direct-acting oral anticoagulants (DOACs) are used in the treatment of venous thrombosis outside the splanchnic vascular bed, but not in the latter. We report a young female with APVT occurring in a non-cirrhotic liver linked to heterozygosity of factor V-Leiden and prothrombin G20210A gene mutations. Rivaroxaban was started, with total recanalization of the left and partial recanalization of the right portal vein branches, without complications. New DOACs do not need daily subcutaneous injections nor routinely blood coagulation control tests, making its use attractive, eventually increasing patient's compliance. If proved to be safe and effective in the future studies, its use may be extended to PVT treatment. This case shows that rivaroxaban was safe, not only prevented the extension of thrombosis in the portal tract, but also resolved PVT, at least partially.

摘要

在与肝硬化无关的急性门静脉血栓形成(APVT)中,抗凝治疗传统上始于低分子量肝素或维生素K拮抗剂。新型直接作用口服抗凝剂(DOACs)用于治疗内脏血管床以外的静脉血栓形成,但不适用于后者。我们报告了一名年轻女性,其APVT发生在非肝硬化肝脏中,与因子V莱顿和凝血酶原G20210A基因突变的杂合性有关。开始使用利伐沙班治疗,左门静脉完全再通,右门静脉分支部分再通,且无并发症。新型DOACs无需每日皮下注射,也无需常规进行凝血控制测试,这使其使用具有吸引力,最终提高了患者的依从性。如果在未来研究中被证明安全有效,其应用可能会扩展到门静脉血栓形成(PVT)的治疗。该病例表明,利伐沙班是安全的,不仅防止了门静脉血栓在门静脉区域的扩展,还至少部分地溶解了PVT。

https://cdn.ncbi.nlm.nih.gov/pmc/blobs/f0a0/5412551/2264a6cccaa9/gr-10-141-g001.jpg

文献检索

告别复杂PubMed语法,用中文像聊天一样搜索,搜遍4000万医学文献。AI智能推荐,让科研检索更轻松。

立即免费搜索

文件翻译

保留排版,准确专业,支持PDF/Word/PPT等文件格式,支持 12+语言互译。

免费翻译文档

深度研究

AI帮你快速写综述,25分钟生成高质量综述,智能提取关键信息,辅助科研写作。

立即免费体验