Suppr超能文献

急性门静脉血栓形成作为蛋白C缺乏症的首发表现:一例报告

Acute Portal Vein Thrombosis as an Initial Presentation of Protein C Deficiency: A Case Report.

作者信息

Proskuriakova Ekaterina, Jasaraj Ranjit B, Shrestha Dhan B, Reddy Vijay Ketan, Khosla Pam

机构信息

Internal Medicine, Mount Sinai Hospital, Chicago, USA.

Hematology and Oncology, Mount Sinai Hospital, Chicago, USA.

出版信息

Cureus. 2023 Jun 14;15(6):e40407. doi: 10.7759/cureus.40407. eCollection 2023 Jun.

Abstract

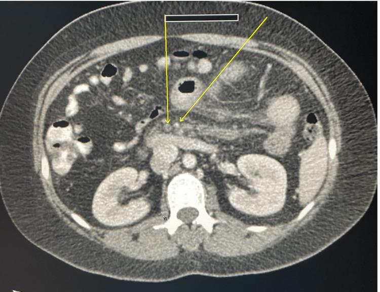
Protein C (PC) is an essential vitamin K-dependent protein that regulates thrombosis and hemostasis in the body. A mutation in the PROC gene on chromosome 2q14.3 results in PC deficiency. The clinical presentation of PC deficiency can vary, ranging from a single vein thrombosis to disseminated intravascular coagulation, purpura fulminans, or even life-threatening complications such as sepsis. Here, we present a case of a 37-year-old female who was found to have acute portal vein thrombosis as an initial presentation of PC deficiency. She presented to the hospital with acute onset of abdominal pain associated with nausea, blood-streaked emesis, and bloody bowel movement.

摘要

蛋白C(PC)是一种必需的维生素K依赖蛋白,可调节体内的血栓形成和止血过程。位于2号染色体q14.3区域的PROC基因突变会导致蛋白C缺乏。蛋白C缺乏的临床表现各不相同,从单一静脉血栓形成到弥散性血管内凝血、暴发性紫癜,甚至是败血症等危及生命的并发症。在此,我们报告一例37岁女性病例,该患者最初表现为急性门静脉血栓形成,这是蛋白C缺乏的首发症状。她因突发腹痛伴恶心、呕血带血丝及便血而入院。

https://cdn.ncbi.nlm.nih.gov/pmc/blobs/254b/10347885/742ddf659c41/cureus-0015-00000040407-i01.jpg

相似文献

1
Acute Portal Vein Thrombosis as an Initial Presentation of Protein C Deficiency: A Case Report.
Cureus. 2023 Jun 14;15(6):e40407. doi: 10.7759/cureus.40407. eCollection 2023 Jun.
2
4
Portal vein thrombosis associated with prolonged ingestion of oral contraceptive steroids.
J Gastroenterol Hepatol. 1993 Jul-Aug;8(4):390-3. doi: 10.1111/j.1440-1746.1993.tb01533.x.
5
PROS1 variant c.1574C>T p.Ala525Val causes portal vein thrombosis with protein S deficiency.
Clin Res Hepatol Gastroenterol. 2023 May;47(6):102141. doi: 10.1016/j.clinre.2023.102141. Epub 2023 May 18.
8
Hereditary protein C deficiency with portal vein thrombosis in a Chinese male: A case report.
Exp Ther Med. 2022 Nov 8;24(6):751. doi: 10.3892/etm.2022.11688. eCollection 2022 Dec.

引用本文的文献

1
Vitamin K2 Supplementation in Hospitalised COVID-19 Patients: A Randomised Controlled Trial.
J Clin Med. 2024 Jun 14;13(12):3476. doi: 10.3390/jcm13123476.

本文引用的文献

1
Protein C Deficiency.
Arch Pathol Lab Med. 2019 Oct;143(10):1281-1285. doi: 10.5858/arpa.2017-0403-RS. Epub 2019 Feb 1.
2
Rivaroxaban and Apixaban for Initial Treatment of Acute Venous Thromboembolism of Atypical Location.
Mayo Clin Proc. 2018 Jan;93(1):40-47. doi: 10.1016/j.mayocp.2017.10.007. Epub 2017 Dec 6.
3
Efficacy and Safety of Direct-Acting Oral Anticoagulants Use in Acute Portal Vein Thrombosis Unrelated to Cirrhosis.
Gastroenterology Res. 2017 Apr;10(2):141-143. doi: 10.14740/gr806w. Epub 2017 Apr 19.
4
Antithrombotic Therapy for VTE Disease: CHEST Guideline and Expert Panel Report.
Chest. 2016 Feb;149(2):315-352. doi: 10.1016/j.chest.2015.11.026. Epub 2016 Jan 7.
5
EASL Clinical Practice Guidelines: Vascular diseases of the liver.
J Hepatol. 2016 Jan;64(1):179-202. doi: 10.1016/j.jhep.2015.07.040. Epub 2015 Oct 26.
6
Portal vein thrombosis.
Clin Liver Dis. 2015 Feb;19(1):199-221. doi: 10.1016/j.cld.2014.09.012. Epub 2014 Oct 30.
7
Laboratory tests for protein C deficiency.
Am J Hematol. 2010 Jun;85(6):440-2. doi: 10.1002/ajh.21679.
9
Clinical guidelines for testing for heritable thrombophilia.
Br J Haematol. 2010 Apr;149(2):209-20. doi: 10.1111/j.1365-2141.2009.08022.x. Epub 2010 Jan 28.
10
Protein C deficiency.
Haemophilia. 2008 Nov;14(6):1214-21. doi: 10.1111/j.1365-2516.2008.01838.x.

文献AI研究员

20分钟写一篇综述,助力文献阅读效率提升50倍。

立即体验

用中文搜PubMed

大模型驱动的PubMed中文搜索引擎

马上搜索

文档翻译

学术文献翻译模型,支持多种主流文档格式。

立即体验