• 文献检索
  • 文档翻译
  • 深度研究
  • 学术资讯
  • Suppr Zotero 插件Zotero 插件
  • 邀请有礼
  • 套餐&价格
  • 历史记录
应用&插件
Suppr Zotero 插件Zotero 插件浏览器插件Mac 客户端Windows 客户端微信小程序
定价
高级版会员购买积分包购买API积分包
服务
文献检索文档翻译深度研究API 文档MCP 服务
关于我们
关于 Suppr公司介绍联系我们用户协议隐私条款
关注我们

Suppr 超能文献

核心技术专利:CN118964589B侵权必究
粤ICP备2023148730 号-1Suppr @ 2026

文献检索

告别复杂PubMed语法,用中文像聊天一样搜索,搜遍4000万医学文献。AI智能推荐,让科研检索更轻松。

立即免费搜索

文件翻译

保留排版,准确专业,支持PDF/Word/PPT等文件格式,支持 12+语言互译。

免费翻译文档

深度研究

AI帮你快速写综述,25分钟生成高质量综述,智能提取关键信息,辅助科研写作。

立即免费体验

血红素结合蛋白转运系统在培养的小鼠肝癌细胞中的表达。血红素结合蛋白与铁代谢之间的联系。

Expression of the haemopexin-transport system in cultured mouse hepatoma cells. Links between haemopexin and iron metabolism.

作者信息

Smith A, Ledford B E

机构信息

Department of Biochemistry and Molecular Biology, LSU Medical Center, New Orleans 70112.

出版信息

Biochem J. 1988 Dec 15;256(3):941-50. doi: 10.1042/bj2560941.

DOI:10.1042/bj2560941
PMID:2852010
原文链接:https://pmc.ncbi.nlm.nih.gov/articles/PMC1135507/
Abstract

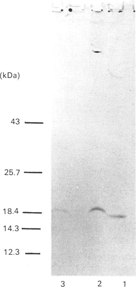
Minimal deviation hepatoma (Hepa) cells, from the mouse hepatoma B7756, synthesize and secrete haemopexin and express both the haemopexin receptor and the membrane haem-binding protein (MHBP) associated with the receptor, making this cell line the first available for detailed study of both haemopexin metabolism and hepatic transport. The 17.5 kDa MHBP was detected in Triton X-100 extracts of Hepa cells by immunoblotting with goat anti-rabbit MHBP. Scatchard-type analysis of haem-125I-haemopexin binding at 4 degrees C revealed 35,000 receptors per cell of high affinity (Kd 17 nM). Haemopexin-mediated haem transport at 37 degrees C is saturable, having an apparent Km of 160 nM and a Vmax. of 7.5 pmol of haem/10(6) cells per h during exponential growth. Haem-transport capacity is highest in the period just before the cells enter their exponential phase of growth and slowest in stationary phase. Interestingly, haem-haemopexin serves as effectively as iron-transferrin as the sole source of iron for cell growth by Hepa cells. Furthermore, depriving Hepa cells of iron by treatment with desferrioxamine (DF) increases the number of cell-surface haemopexin receptors to 65,000 per cell and consequently increases haemopexin-mediated haem transport. The effects of DF do not appear to require protein synthesis since they are not prevented by cycloheximide. Treatment of Hepa cells with hydroxyurea, an inhibitor of the iron-requiring enzyme ribonucleotide reductase that is obligatory for DNA synthesis, enhanced haemopexin-mediated haem transport. Thus, these studies provide the first evidence for regulation of haem transport by the iron status of cells and suggest a linkage between haemopexin, iron homeostasis and cell growth.

摘要

源自小鼠肝癌B7756的微小偏离肝癌(Hepa)细胞能合成并分泌血红素结合蛋白,同时表达血红素结合蛋白受体以及与该受体相关的膜血红素结合蛋白(MHBP),这使得该细胞系成为首个可用于详细研究血红素结合蛋白代谢和肝脏转运的细胞系。通过用山羊抗兔MHBP进行免疫印迹,在Hepa细胞的Triton X-100提取物中检测到了17.5 kDa的MHBP。在4℃下对血红素-125I-血红素结合蛋白结合进行Scatchard型分析,结果显示每个细胞有35,000个高亲和力受体(解离常数Kd为17 nM)。在37℃下,血红素结合蛋白介导的血红素转运具有饱和性,在指数生长期,其表观米氏常数Km为160 nM,最大反应速度Vmax为每小时7.5 pmol血红素/10(6)个细胞。血红素转运能力在细胞进入指数生长期之前的时期最高,而在稳定期最慢。有趣的是,血红素-血红素结合蛋白作为细胞生长的唯一铁源,其作用与铁转铁蛋白一样有效。此外,用去铁胺(DF)处理使Hepa细胞缺铁,会使细胞表面血红素结合蛋白受体数量增加到每个细胞65,000个,从而增加血红素结合蛋白介导的血红素转运。DF的作用似乎不需要蛋白质合成,因为环己酰亚胺并不能阻止这些作用。用羟基脲处理Hepa细胞,羟基脲是DNA合成所必需的需铁酶核糖核苷酸还原酶的抑制剂,可增强血红素结合蛋白介导的血红素转运。因此,这些研究首次提供了细胞铁状态对血红素转运进行调节的证据,并提示了血红素结合蛋白、铁稳态和细胞生长之间的联系。

https://cdn.ncbi.nlm.nih.gov/pmc/blobs/c1d9/1135507/8b3ba8b65f34/biochemj00217-0250-a.jpg
https://cdn.ncbi.nlm.nih.gov/pmc/blobs/c1d9/1135507/304ea099c8cf/biochemj00217-0247-a.jpg
https://cdn.ncbi.nlm.nih.gov/pmc/blobs/c1d9/1135507/8d8258e042e3/biochemj00217-0249-a.jpg
https://cdn.ncbi.nlm.nih.gov/pmc/blobs/c1d9/1135507/8b3ba8b65f34/biochemj00217-0250-a.jpg
https://cdn.ncbi.nlm.nih.gov/pmc/blobs/c1d9/1135507/304ea099c8cf/biochemj00217-0247-a.jpg
https://cdn.ncbi.nlm.nih.gov/pmc/blobs/c1d9/1135507/8d8258e042e3/biochemj00217-0249-a.jpg
https://cdn.ncbi.nlm.nih.gov/pmc/blobs/c1d9/1135507/8b3ba8b65f34/biochemj00217-0250-a.jpg

相似文献

1
Expression of the haemopexin-transport system in cultured mouse hepatoma cells. Links between haemopexin and iron metabolism.血红素结合蛋白转运系统在培养的小鼠肝癌细胞中的表达。血红素结合蛋白与铁代谢之间的联系。
Biochem J. 1988 Dec 15;256(3):941-50. doi: 10.1042/bj2560941.
2
The murine haemopexin receptor. Evidence that the haemopexin-binding site resides on a 20 kDa subunit and that receptor recycling is regulated by protein kinase C.小鼠血红素结合蛋白受体。有证据表明,血红素结合蛋白结合位点位于一个20 kDa的亚基上,且受体循环受蛋白激酶C调控。
Biochem J. 1991 Jun 1;276 ( Pt 2)(Pt 2):417-25. doi: 10.1042/bj2760417.
3
Intracellular distribution of haem after uptake by different receptors. Haem-haemopexin and haem-asialo-haemopexin.不同受体摄取后血红素的细胞内分布。血红素-血红素结合蛋白和血红素-去唾液酸血红素结合蛋白。
Biochem J. 1985 Nov 1;231(3):663-9. doi: 10.1042/bj2310663.
4
Haem transport to the liver by haemopexin. Receptor-mediated uptake with recycling of the protein.血红素通过血红素结合蛋白转运至肝脏。通过受体介导摄取并使该蛋白循环利用。
Biochem J. 1979 Jul 15;182(1):47-54. doi: 10.1042/bj1820047.
5
Isolation of the haemopexin-haem receptor from pig liver cells.从猪肝细胞中分离血红素结合蛋白-血红素受体。
FEBS Lett. 1986 Apr 7;199(1):80-4. doi: 10.1016/0014-5793(86)81227-3.
6
Effect of serum proteins on haem uptake and metabolism in primary cultures of liver cells.血清蛋白对原代肝细胞血红素摄取和代谢的影响。
Biochem J. 1988 Nov 15;256(1):159-65. doi: 10.1042/bj2560159.
7
Haem release from haemopexin by HxuA allows Haemophilus influenzae to escape host nutritional immunity.HxuA 介导的血红素从血红素结合蛋白中的释放使流感嗜血杆菌能够逃避宿主的营养免疫。
Mol Microbiol. 2011 Apr;80(1):133-48. doi: 10.1111/j.1365-2958.2011.07562.x. Epub 2011 Feb 15.
8
Elemental iron does repress transferrin, haemopexin and haemoglobin receptor expression in Haemophilus influenzae.元素铁确实会抑制流感嗜血杆菌中转铁蛋白、血红素结合蛋白和血红蛋白受体的表达。
FEMS Microbiol Lett. 1997 May 1;150(1):19-26. doi: 10.1111/j.1574-6968.1997.tb10344.x.
9
Expression of haemopexin receptors by cultured human cytotrophoblast.培养的人细胞滋养层中血红素结合蛋白受体的表达
Biochem J. 1995 May 1;307 ( Pt 3)(Pt 3):669-72. doi: 10.1042/bj3070669.
10
Hemopexin joins transferrin as representative members of a distinct class of receptor-mediated endocytic transport systems.血红素结合蛋白与转铁蛋白一样,是一类独特的受体介导的内吞转运系统的典型成员。
Eur J Cell Biol. 1990 Dec;53(2):234-45.

引用本文的文献

1
Molecular insights into placental iron transfer mechanisms and maternofetal regulation.解析胎盘铁转运机制和母子调控的分子见解。
Arch Gynecol Obstet. 2024 Jan;309(1):63-77. doi: 10.1007/s00404-023-07032-6. Epub 2023 Apr 18.
2
Exploratory Investigation of the Plasma Proteome Associated with the Endotheliopathy of Trauma.创伤性内皮病相关血浆蛋白质组学的探索性研究。
Int J Mol Sci. 2022 Jun 1;23(11):6213. doi: 10.3390/ijms23116213.
3
What Is Next in This "Age" of Heme-Driven Pathology and Protection by Hemopexin? An Update and Links with Iron.

本文引用的文献

1
SERUM HAPTOGLOBIN IN DISEASE.疾病中的血清触珠蛋白
Clin Sci. 1964 Feb;26:1-6.
2
Diffusion-in-gel methods for immunological analysis.用于免疫分析的凝胶扩散法。
Prog Allergy. 1958;5:1-78.
3
Serum-free cell culture: a unifying approach.无血清细胞培养:一种统一方法。
在这个血红素驱动的病理学及血红素结合蛋白发挥保护作用的“时代”,接下来会怎样?最新进展及与铁的关联
Pharmaceuticals (Basel). 2019 Sep 24;12(4):144. doi: 10.3390/ph12040144.
4
Hemopexin and haptoglobin: allies against heme toxicity from hemoglobin not contenders.血红素结合蛋白和触珠蛋白:抵御血红蛋白所致血红素毒性的盟友而非竞争者。
Front Physiol. 2015 Jun 30;6:187. doi: 10.3389/fphys.2015.00187. eCollection 2015.
5
Placental heme receptor LRP1 correlates with the heme exporter FLVCR1 and neonatal iron status.胎盘血红素受体LRP1与血红素转运蛋白FLVCR1及新生儿铁状态相关。
Reproduction. 2014 Sep;148(3):295-302. doi: 10.1530/REP-14-0053. Epub 2014 Jun 19.
6
Identification and characterization of an iron-regulated hemopexin receptor in Haemophilus influenzae type b.b型流感嗜血杆菌中铁调节血红素结合蛋白受体的鉴定与特性分析
Infect Immun. 1994 Jan;62(1):48-59. doi: 10.1128/iai.62.1.48-59.1994.
7
Transcriptional induction of the mouse metallothionein-I gene in hydrogen peroxide-treated Hepa cells involves a composite major late transcription factor/antioxidant response element and metal response promoter elements.过氧化氢处理的Hepa细胞中,小鼠金属硫蛋白-I基因的转录诱导涉及一个复合的主要晚期转录因子/抗氧化反应元件和金属反应启动子元件。
Nucleic Acids Res. 1994 Nov 25;22(23):5016-23. doi: 10.1093/nar/22.23.5016.
8
Affinity, conservation, and surface exposure of hemopexin-binding proteins in Haemophilus influenzae.流感嗜血杆菌中血红蛋白结合蛋白的亲和力、保守性及表面暴露情况
Infect Immun. 1995 Jun;63(6):2327-33. doi: 10.1128/iai.63.6.2327-2333.1995.
9
The murine haemopexin receptor. Evidence that the haemopexin-binding site resides on a 20 kDa subunit and that receptor recycling is regulated by protein kinase C.小鼠血红素结合蛋白受体。有证据表明,血红素结合蛋白结合位点位于一个20 kDa的亚基上,且受体循环受蛋白激酶C调控。
Biochem J. 1991 Jun 1;276 ( Pt 2)(Pt 2):417-25. doi: 10.1042/bj2760417.
10
Isolation of an outer membrane hemin-binding protein of Haemophilus influenzae type b.b型流感嗜血杆菌外膜血红素结合蛋白的分离
Infect Immun. 1992 Mar;60(3):810-6. doi: 10.1128/iai.60.3.810-816.1992.
Cell. 1980 Dec;22(3):649-55. doi: 10.1016/0092-8674(80)90540-1.
4
Catabolism of globin-haptoglobin in liver cells after intravenous administration of hemoglobin-haptoglobin to rats.给大鼠静脉注射血红蛋白-结合珠蛋白后,肝细胞中珠蛋白-结合珠蛋白的分解代谢
J Biol Chem. 1981 Dec 10;256(23):12322-8.
5
Hemopexin-mediated transport of heme into isolated rat hepatocytes.血红素结合蛋白介导血红素转运至分离的大鼠肝细胞中。
J Biol Chem. 1981 Nov 10;256(21):10902-9.
6
Methods for growth of cultured cells in serum-free medium.在无血清培养基中培养细胞的方法。
Anal Biochem. 1980 Mar 1;102(2):255-70. doi: 10.1016/0003-2697(80)90151-7.
7
In vitro studies on some parameters of the binding of the rat hemopexin--heme complex with the hepatic membrane receptor.大鼠血红素结合蛋白-血红素复合物与肝细胞膜受体结合的某些参数的体外研究。
FEBS Lett. 1983 Aug 8;159(1-2):161-6. doi: 10.1016/0014-5793(83)80438-4.
8
Studies on the secretion of serum proteins from rat hepatoma cells.大鼠肝癌细胞血清蛋白分泌的研究。
Hepatology. 1984 Jul-Aug;4(4):715-21. doi: 10.1002/hep.1840040426.
9
The acute phase response of mouse liver. Genetic analysis of the major acute phase reactants.小鼠肝脏的急性期反应。主要急性期反应物的遗传分析。
J Biol Chem. 1984 Jan 10;259(1):566-73.
10
Hemopexin-mediated heme uptake by liver. Characterization of the interaction of heme-hemopexin with isolated rabbit liver plasma membranes.血液结合素介导的肝脏对血红素的摄取。血红素-血液结合素与分离的兔肝质膜相互作用的特性。
J Biol Chem. 1984 Oct 10;259(19):12049-53.