• 文献检索
  • 文档翻译
  • 深度研究
  • 学术资讯
  • Suppr Zotero 插件Zotero 插件
  • 邀请有礼
  • 套餐&价格
  • 历史记录
应用&插件
Suppr Zotero 插件Zotero 插件浏览器插件Mac 客户端Windows 客户端微信小程序
定价
高级版会员购买积分包购买API积分包
服务
文献检索文档翻译深度研究API 文档MCP 服务
关于我们
关于 Suppr公司介绍联系我们用户协议隐私条款
关注我们

Suppr 超能文献

核心技术专利:CN118964589B侵权必究
粤ICP备2023148730 号-1Suppr @ 2026

文献检索

告别复杂PubMed语法,用中文像聊天一样搜索,搜遍4000万医学文献。AI智能推荐,让科研检索更轻松。

立即免费搜索

文件翻译

保留排版,准确专业,支持PDF/Word/PPT等文件格式,支持 12+语言互译。

免费翻译文档

深度研究

AI帮你快速写综述,25分钟生成高质量综述,智能提取关键信息,辅助科研写作。

立即免费体验

N-BLR是一种灵长类动物特有的非编码转录本,可导致结直肠癌的侵袭和转移。

N-BLR, a primate-specific non-coding transcript leads to colorectal cancer invasion and migration.

作者信息

Rigoutsos Isidore, Lee Sang Kil, Nam Su Youn, Anfossi Simone, Pasculli Barbara, Pichler Martin, Jing Yi, Rodriguez-Aguayo Cristian, Telonis Aristeidis G, Rossi Simona, Ivan Cristina, Catela Ivkovic Tina, Fabris Linda, Clark Peter M, Ling Hui, Shimizu Masayoshi, Redis Roxana S, Shah Maitri Y, Zhang Xinna, Okugawa Yoshinaga, Jung Eun Jung, Tsirigos Aristotelis, Huang Li, Ferdin Jana, Gafà Roberta, Spizzo Riccardo, Nicoloso Milena S, Paranjape Anurag N, Shariati Maryam, Tiron Aida, Yeh Jen Jen, Teruel-Montoya Raul, Xiao Lianchun, Melo Sonia A, Menter David, Jiang Zhi-Qin, Flores Elsa R, Negrini Massimo, Goel Ajay, Bar-Eli Menashe, Mani Sendurai A, Liu Chang Gong, Lopez-Berestein Gabriel, Berindan-Neagoe Ioana, Esteller Manel, Kopetz Scott, Lanza Giovanni, Calin George A

机构信息

Computational Medicine Center, Sidney Kimmel Medical College at Thomas Jefferson University, Philadelphia, PA, USA.

Department of Experimental Therapeutics, The University of Texas MD Anderson Cancer Center, Houston, TX, USA.

出版信息

Genome Biol. 2017 May 24;18(1):98. doi: 10.1186/s13059-017-1224-0.

DOI:10.1186/s13059-017-1224-0
PMID:28535802
原文链接:https://pmc.ncbi.nlm.nih.gov/articles/PMC5442648/
Abstract

BACKGROUND

Non-coding RNAs have been drawing increasing attention in recent years as functional data suggest that they play important roles in key cellular processes. N-BLR is a primate-specific long non-coding RNA that modulates the epithelial-to-mesenchymal transition, facilitates cell migration, and increases colorectal cancer invasion.

RESULTS

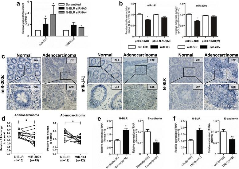
We performed multivariate analyses of data from two independent cohorts of colorectal cancer patients and show that the abundance of N-BLR is associated with tumor stage, invasion potential, and overall patient survival. Through in vitro and in vivo experiments we found that N-BLR facilitates migration primarily via crosstalk with E-cadherin and ZEB1. We showed that this crosstalk is mediated by a pyknon, a short ~20 nucleotide-long DNA motif contained in the N-BLR transcript and is targeted by members of the miR-200 family. In light of these findings, we used a microarray to investigate the expression patterns of other pyknon-containing genomic loci. We found multiple such loci that are differentially transcribed between healthy and diseased tissues in colorectal cancer and chronic lymphocytic leukemia. Moreover, we identified several new loci whose expression correlates with the colorectal cancer patients' overall survival.

CONCLUSIONS

The primate-specific N-BLR is a novel molecular contributor to the complex mechanisms that underlie metastasis in colorectal cancer and a potential novel biomarker for this disease. The presence of a functional pyknon within N-BLR and the related finding that many more pyknon-containing genomic loci in the human genome exhibit tissue-specific and disease-specific expression suggests the possibility of an alternative class of biomarkers and therapeutic targets that are primate-specific.

摘要

背景

近年来,非编码RNA越来越受到关注,因为功能数据表明它们在关键细胞过程中发挥重要作用。N-BLR是一种灵长类特异性长非编码RNA,可调节上皮-间质转化,促进细胞迁移,并增加结直肠癌侵袭。

结果

我们对来自两个独立队列的结直肠癌患者数据进行了多变量分析,结果显示N-BLR的丰度与肿瘤分期、侵袭潜力和患者总生存期相关。通过体外和体内实验,我们发现N-BLR主要通过与E-钙黏蛋白和ZEB1相互作用促进迁移。我们表明,这种相互作用由一个致密子介导,致密子是N-BLR转录本中一个约20个核苷酸长的短DNA基序,是miR-200家族成员的作用靶点。基于这些发现,我们使用微阵列研究了其他含有致密子的基因组位点的表达模式。我们发现多个这样的位点在结直肠癌和慢性淋巴细胞白血病的健康组织和患病组织之间存在差异转录。此外,我们鉴定了几个新的位点,其表达与结直肠癌患者的总生存期相关。

结论

灵长类特异性N-BLR是结直肠癌转移复杂机制的一个新的分子促成因素,也是该疾病潜在的新型生物标志物。N-BLR中存在功能性致密子,以及人类基因组中更多含有致密子的基因组位点表现出组织特异性和疾病特异性表达这一相关发现,提示了存在一类灵长类特异性的新型生物标志物和治疗靶点的可能性。

https://cdn.ncbi.nlm.nih.gov/pmc/blobs/5630/5442648/4d702850cf99/13059_2017_1224_Fig6_HTML.jpg
https://cdn.ncbi.nlm.nih.gov/pmc/blobs/5630/5442648/887d478b9d20/13059_2017_1224_Fig1_HTML.jpg
https://cdn.ncbi.nlm.nih.gov/pmc/blobs/5630/5442648/f541293c98e7/13059_2017_1224_Fig2_HTML.jpg
https://cdn.ncbi.nlm.nih.gov/pmc/blobs/5630/5442648/ca259dbadfa1/13059_2017_1224_Fig3_HTML.jpg
https://cdn.ncbi.nlm.nih.gov/pmc/blobs/5630/5442648/75fd89810873/13059_2017_1224_Fig4_HTML.jpg
https://cdn.ncbi.nlm.nih.gov/pmc/blobs/5630/5442648/e37819792597/13059_2017_1224_Fig5_HTML.jpg
https://cdn.ncbi.nlm.nih.gov/pmc/blobs/5630/5442648/4d702850cf99/13059_2017_1224_Fig6_HTML.jpg
https://cdn.ncbi.nlm.nih.gov/pmc/blobs/5630/5442648/887d478b9d20/13059_2017_1224_Fig1_HTML.jpg
https://cdn.ncbi.nlm.nih.gov/pmc/blobs/5630/5442648/f541293c98e7/13059_2017_1224_Fig2_HTML.jpg
https://cdn.ncbi.nlm.nih.gov/pmc/blobs/5630/5442648/ca259dbadfa1/13059_2017_1224_Fig3_HTML.jpg
https://cdn.ncbi.nlm.nih.gov/pmc/blobs/5630/5442648/75fd89810873/13059_2017_1224_Fig4_HTML.jpg
https://cdn.ncbi.nlm.nih.gov/pmc/blobs/5630/5442648/e37819792597/13059_2017_1224_Fig5_HTML.jpg
https://cdn.ncbi.nlm.nih.gov/pmc/blobs/5630/5442648/4d702850cf99/13059_2017_1224_Fig6_HTML.jpg

相似文献

1
N-BLR, a primate-specific non-coding transcript leads to colorectal cancer invasion and migration.N-BLR是一种灵长类动物特有的非编码转录本,可导致结直肠癌的侵袭和转移。
Genome Biol. 2017 May 24;18(1):98. doi: 10.1186/s13059-017-1224-0.
2
LncRNA SNHG6 promotes proliferation, invasion and migration in colorectal cancer cells by activating TGF-β/Smad signaling pathway via targeting UPF1 and inducing EMT via regulation of ZEB1.长链非编码 RNA SNHG6 通过靶向 UPF1 激活 TGF-β/Smad 信号通路,并通过调节 ZEB1 诱导 EMT,从而促进结直肠癌细胞的增殖、侵袭和迁移。
Int J Med Sci. 2019 Jan 1;16(1):51-59. doi: 10.7150/ijms.27359. eCollection 2019.
3
Long noncoding RNA XIST expedites metastasis and modulates epithelial-mesenchymal transition in colorectal cancer.长非编码 RNA XIST 促进结直肠癌转移并调节上皮-间充质转化。
Cell Death Dis. 2017 Aug 24;8(8):e3011. doi: 10.1038/cddis.2017.421.
4
Long non-coding RNA linc00673 regulated non-small cell lung cancer proliferation, migration, invasion and epithelial mesenchymal transition by sponging miR-150-5p.长链非编码 RNA linc00673 通过海绵吸附 miR-150-5p 调控非小细胞肺癌增殖、迁移、侵袭和上皮间质转化。
Mol Cancer. 2017 Jul 11;16(1):118. doi: 10.1186/s12943-017-0685-9.
5
LncRNA CHRF-induced miR-489 loss promotes metastasis of colorectal cancer via TWIST1/EMT signaling pathway.长链非编码RNA CHRF诱导的miR-489缺失通过TWIST1/上皮-间质转化信号通路促进结直肠癌转移。
Oncotarget. 2017 May 30;8(22):36410-36422. doi: 10.18632/oncotarget.16850.
6
KCNQ1OT1/miR-217/ZEB1 feedback loop facilitates cell migration and epithelial-mesenchymal transition in colorectal cancer.KCNQ1OT1/miR-217/ZEB1 反馈回路促进结直肠癌中的细胞迁移和上皮间质转化。
Cancer Biol Ther. 2019;20(6):886-896. doi: 10.1080/15384047.2019.1579959. Epub 2019 Feb 22.
7
mA-induced lncRNA RP11 triggers the dissemination of colorectal cancer cells via upregulation of Zeb1.mA 诱导的长链非编码 RNA RP11 通过上调 Zeb1 触发结直肠癌细胞的扩散。
Mol Cancer. 2019 Apr 13;18(1):87. doi: 10.1186/s12943-019-1014-2.
8
A long non-coding RNA lncRNA-PE promotes invasion and epithelial-mesenchymal transition in hepatocellular carcinoma through the miR-200a/b-ZEB1 pathway.一种长链非编码RNA lncRNA-PE通过miR-200a/b-ZEB1途径促进肝细胞癌的侵袭和上皮-间质转化。
Tumour Biol. 2017 May;39(5):1010428317705756. doi: 10.1177/1010428317705756.
9
lncRNA MIR503HG functioned as a tumor suppressor and inhibited cell proliferation, metastasis and epithelial-mesenchymal transition in bladder cancer.长链非编码 RNA MIR503HG 作为一种肿瘤抑制因子,抑制膀胱癌中的细胞增殖、转移和上皮-间充质转化。
J Cell Biochem. 2019 Jun;120(6):10821-10829. doi: 10.1002/jcb.28373. Epub 2019 Jan 22.
10
Increased EWSAT1 expression promotes cell proliferation, invasion and epithelial-mesenchymal transition in colorectal cancer.EWSAT1 表达增加促进结直肠癌细胞增殖、侵袭和上皮间质转化。
Eur Rev Med Pharmacol Sci. 2018 Oct;22(20):6801-6808. doi: 10.26355/eurrev_201810_16146.

引用本文的文献

1
SingmiR: a single-cell miRNA alignment and analysis tool.SingmiR:单细胞 miRNA 对齐和分析工具。
Nucleic Acids Res. 2024 Jul 5;52(W1):W374-W380. doi: 10.1093/nar/gkae225.
2
An Overview of the Immune Modulatory Properties of Long Non-Coding RNAs and Their Potential Use as Therapeutic Targets in Cancer.长链非编码RNA的免疫调节特性及其作为癌症治疗靶点的潜在应用概述
Noncoding RNA. 2023 Nov 11;9(6):70. doi: 10.3390/ncrna9060070.
3
Non-coding RNAs in disease: from mechanisms to therapeutics.非编码 RNA 在疾病中的作用:从机制到治疗。

本文引用的文献

1
Exosomal Non-Coding RNAs: Diagnostic, Prognostic and Therapeutic Applications in Cancer.外泌体非编码RNA:在癌症中的诊断、预后及治疗应用
Noncoding RNA. 2015 Jun 3;1(1):53-68. doi: 10.3390/ncrna1010053.
2
Non-coding RNAs: the cancer genome dark matter that matters!非编码RNA:至关重要的癌症基因组暗物质!
Clin Chem Lab Med. 2017 May 1;55(5):705-714. doi: 10.1515/cclm-2016-0740.
3
Prognostic Factors for Locoregional Recurrence in Patients with Thoracic Esophageal Squamous Cell Carcinoma Treated with Radical Two-Field Lymph Node Dissection: Results from Long-Term Follow-Up.
Nat Rev Genet. 2024 Mar;25(3):211-232. doi: 10.1038/s41576-023-00662-1. Epub 2023 Nov 15.
4
Novel insights on perils and promises of miRNA in understanding colon cancer metastasis and progression.微小 RNA 在理解结肠癌转移和进展中的危险与希望的新见解。
Med Oncol. 2023 Aug 28;40(10):282. doi: 10.1007/s12032-023-02099-2.
5
Involvement of lncRNAs in cancer cells migration, invasion and metastasis: cytoskeleton and ECM crosstalk.长链非编码 RNA 参与肿瘤细胞迁移、侵袭和转移:细胞骨架与细胞外基质的相互作用。
J Exp Clin Cancer Res. 2023 Jul 18;42(1):173. doi: 10.1186/s13046-023-02741-x.
6
The deleted in oral cancer (DOC1 aka CDK2AP1) tumor suppressor gene is downregulated in oral squamous cell carcinoma by multiple microRNAs.缺失性口腔癌基因(DOC1,又名 CDK2AP1)在口腔鳞状细胞癌中受多种 microRNA 下调。
Cell Death Dis. 2023 May 22;14(5):337. doi: 10.1038/s41419-023-05857-2.
7
Long non-coding RNA signature in colorectal cancer: research progression and clinical application.结直肠癌中的长链非编码RNA特征:研究进展与临床应用
Cancer Cell Int. 2023 Feb 16;23(1):28. doi: 10.1186/s12935-023-02867-0.
8
MIR retrotransposons link the epigenome and the transcriptome of coding genes in acute myeloid leukemia.MIR 反转录转座子将编码基因的表观基因组和转录组联系起来在急性髓系白血病中。
Nat Commun. 2022 Oct 31;13(1):6524. doi: 10.1038/s41467-022-34211-x.
9
MIR31HG polymorphisms are related to steroid-induced osteonecrosis of femoral head among Chinese Han population.MIR31HG 多态性与汉族人群中激素诱导的股骨头坏死有关。
BMC Musculoskelet Disord. 2022 Sep 3;23(1):836. doi: 10.1186/s12891-022-05785-w.
10
Identifying common transcriptome signatures of cancer by interpreting deep learning models.通过解读深度学习模型来识别癌症的常见转录组特征。
Genome Biol. 2022 May 17;23(1):117. doi: 10.1186/s13059-022-02681-3.
接受根治性二野淋巴结清扫术的胸段食管鳞状细胞癌患者局部区域复发的预后因素:长期随访结果
Ann Surg Oncol. 2017 Apr;24(4):966-973. doi: 10.1245/s10434-016-5652-y. Epub 2016 Nov 1.
4
H19 Noncoding RNA, an Independent Prognostic Factor, Regulates Essential Rb-E2F and CDK8-β-Catenin Signaling in Colorectal Cancer.H19非编码RNA是一种独立的预后因素,可调节结直肠癌中关键的Rb-E2F和CDK8-β-连环蛋白信号通路。
EBioMedicine. 2016 Nov;13:113-124. doi: 10.1016/j.ebiom.2016.10.026. Epub 2016 Oct 19.
5
Transfer RNA as a source of small functional RNA.转运RNA作为小功能RNA的来源。
J Mol Biol Mol Imaging. 2014;1(2).
6
Dissecting tRNA-derived fragment complexities using personalized transcriptomes reveals novel fragment classes and unexpected dependencies.利用个性化转录组剖析tRNA衍生片段的复杂性揭示了新的片段类别和意想不到的依赖性。
Oncotarget. 2015 Sep 22;6(28):24797-822. doi: 10.18632/oncotarget.4695.
7
MicroRNA-587 antagonizes 5-FU-induced apoptosis and confers drug resistance by regulating PPP2R1B expression in colorectal cancer.微小RNA-587通过调节结直肠癌中PPP2R1B的表达来拮抗5-氟尿嘧啶诱导的细胞凋亡并赋予耐药性。
Cell Death Dis. 2015 Aug 6;6(8):e1845. doi: 10.1038/cddis.2015.200.
8
Sex hormone-dependent tRNA halves enhance cell proliferation in breast and prostate cancers.性激素依赖性的tRNA半体可增强乳腺癌和前列腺癌中的细胞增殖。
Proc Natl Acad Sci U S A. 2015 Jul 21;112(29):E3816-25. doi: 10.1073/pnas.1510077112. Epub 2015 Jun 29.
9
The microRNA-200 family regulates pancreatic beta cell survival in type 2 diabetes.miRNA-200 家族调控 2 型糖尿病中胰岛β细胞的存活。
Nat Med. 2015 Jun;21(6):619-27. doi: 10.1038/nm.3862. Epub 2015 May 18.
10
Gene activation-associated long noncoding RNAs function in mouse preimplantation development.基因激活相关的长链非编码RNA在小鼠植入前发育中发挥作用。
Development. 2015 Mar 1;142(5):910-20. doi: 10.1242/dev.116996. Epub 2015 Jan 29.