Li Jun, Zhang Yan, Zhang Ning, Xv Zheng-Kuan, Li Hao, Chen Gang, Li Fang-Cai, Chen Qi-Xin
Department of Orthopedics, the Second Affiliated Hospital Department of General Practice, Sir Run Run Shaw Hospital, School of Medicine, Zhejiang University, Hangzhou, China.
Medicine (Baltimore). 2017 Jun;96(22):e6964. doi: 10.1097/MD.0000000000006964.
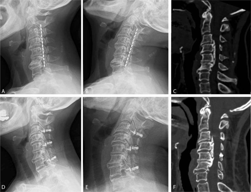
Patients with cervical ossification of the posterior longitudinal ligament (OPLL) who are K-line (-) are thought to have poor clinical outcomes after laminoplasty. The aim of this study is to compare the clinical results of patients with OPLL who were K-line (-) in the neck neutral position but K-line (+) in the neck extension position (NEP group) with patients with OPLL who were K-line (+) in the neck neutral position (NNP group).Retrospectively, 42 patients who underwent cervical laminoplasty for OPLL by our surgical group during 2012 and 2013 were reviewed and were followed for at least 2 years. The patients were divided into 2 groups according to K-line status. Standing plain radiographs of the cervical spine were obtained pre- and postoperatively. Cervical spine alignment parameters included the C2-7 Cobb angle and range of motion (ROM) measured on lateral radiographs. Clinical evaluation included pre- and postoperative JOA, NDI, and VAS scores.Ten patients were classified in the NEP group, and 32 patients were classified in the NNP group. Preoperatively, the OPLL involved segments were 4.10 ± 1.66 in the NEP group and 2.53 ± 1.16 in the NNP group (P = .005). The canal-occupying ratios were 58.40 ± 11.11% in the NEP group and 29.08 ± 11.38% in the NNP group (P < .001). The mean Cobb angle of both the groups had not changed significantly at the last follow-up. The mean cervical ROM of both the groups had decreased at the last follow-up. The mean JOA score of the NEP group improved significantly from 9.70 ± 2.16 to 12.50 ± 2.27 (P = .014). The mean JOA score of the NNP group improved significantly from 11.91 ± 1.69 to 14.93 ± 1.58 (P < .001). The mean JOA recovery rate was 32.71 ± 40.45% in the NEP group and 59.00 ± 33.80% in the NNP group (P = .036). The NDI scores of both groups were significantly decreased, and the VAS scores of both groups had not changed significantly at the last follow-up.Laminoplasty is a relatively effective and safe procedure for patients with K-line (-) in the neck neutral position but K-line (+) in the neck extension position. Instead of anterior surgery, we recommend laminoplasty for those patients with OPLL extending to 3 or more segments.
颈椎后纵韧带骨化症(OPLL)患者若K线为阴性(K-line (-)),则被认为在椎板成形术后临床预后较差。本研究旨在比较颈部中立位时K线为阴性但颈部伸展位时K线为阳性的OPLL患者(NEP组)与颈部中立位时K线为阳性的OPLL患者(NNP组)的临床结果。回顾性分析了2012年至2013年期间由我们手术团队为OPLL患者实施颈椎椎板成形术的42例患者,并对其进行了至少2年的随访。根据K线状态将患者分为2组。术前和术后均获取颈椎站立位X线平片。颈椎对线参数包括在侧位X线片上测量的C2-7 Cobb角和活动度(ROM)。临床评估包括术前和术后的JOA、NDI和VAS评分。10例患者被分类为NEP组,32例患者被分类为NNP组。术前,NEP组OPLL累及节段为4.10±1.66,NNP组为2.53±1.16(P = 0.005)。NEP组的椎管占位率为58.40±11.11%,NNP组为29.08±11.38%(P < 0.001)。两组的平均Cobb角在末次随访时均无显著变化。两组的平均颈椎ROM在末次随访时均有所下降。NEP组的平均JOA评分从9.70±2.16显著提高至12.50±2.27(P = 0.014)。NNP组的平均JOA评分从11.91±1.69显著提高至14.93±1.58(P < 0.001)。NEP组的平均JOA恢复率为32.71±40.45%,NNP组为59.00±33.80%(P = 0.036)。两组的NDI评分均显著降低,两组的VAS评分在末次随访时均无显著变化。对于颈部中立位时K线为阴性但颈部伸展位时K线为阳性的患者,椎板成形术是一种相对有效且安全的手术方法。对于OPLL累及3个或更多节段的患者,我们建议采用椎板成形术而非前路手术。