• 文献检索
  • 文档翻译
  • 深度研究
  • 学术资讯
  • Suppr Zotero 插件Zotero 插件
  • 邀请有礼
  • 套餐&价格
  • 历史记录
应用&插件
Suppr Zotero 插件Zotero 插件浏览器插件Mac 客户端Windows 客户端微信小程序
定价
高级版会员购买积分包购买API积分包
服务
文献检索文档翻译深度研究API 文档MCP 服务
关于我们
关于 Suppr公司介绍联系我们用户协议隐私条款
关注我们

Suppr 超能文献

核心技术专利:CN118964589B侵权必究
粤ICP备2023148730 号-1Suppr @ 2026

文献检索

告别复杂PubMed语法,用中文像聊天一样搜索,搜遍4000万医学文献。AI智能推荐,让科研检索更轻松。

立即免费搜索

文件翻译

保留排版,准确专业,支持PDF/Word/PPT等文件格式,支持 12+语言互译。

免费翻译文档

深度研究

AI帮你快速写综述,25分钟生成高质量综述,智能提取关键信息,辅助科研写作。

立即免费体验

部分脾栓塞术成功控制胃食管静脉曲张出血

Gastroesophageal Variceal Bleeding Successfully Controlled by Partial Splenic Embolization.

作者信息

Kogure Takayuki, Inoue Jun, Kakazu Eiji, Ninomiya Masashi, Shimosegawa Tooru

机构信息

Division of Gastroenterology1, Tohoku University Hospital, Japan.

出版信息

Intern Med. 2017;56(11):1339-1343. doi: 10.2169/internalmedicine.56.8167. Epub 2017 Jun 1.

DOI:10.2169/internalmedicine.56.8167
PMID:28566595
原文链接:https://pmc.ncbi.nlm.nih.gov/articles/PMC5498196/
Abstract

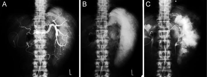
A 53-year-old male patient with a history of hepatocellular carcinoma developed gastroesophageal varices refractory to endoscopic injection sclerotherapy (EIS). He required EIS six times in 2 years for recurring variceal bleeding. After hepatic resection, he developed massive splenomegaly. Partial splenic embolization (PSE) was performed to reduce the portal pressure. Varices and variceal bleeding were not detected during 13-year follow up, until the patient died of hepatocellular carcinoma. This is a unique case of gastroesophageal varices controlled by PSE and improved portal hypertension.

摘要

一名有肝细胞癌病史的53岁男性患者出现了对内镜注射硬化疗法(EIS)难治的胃食管静脉曲张。他在2年内因复发性静脉曲张出血接受了6次EIS治疗。肝切除术后,他出现了巨脾。进行了部分脾栓塞术(PSE)以降低门静脉压力。在13年的随访期间未检测到静脉曲张和静脉曲张出血,直到患者死于肝细胞癌。这是一例通过PSE控制胃食管静脉曲张并改善门静脉高压的独特病例。

https://cdn.ncbi.nlm.nih.gov/pmc/blobs/8cbf/5498196/65189f872f89/1349-7235-56-1339-g005.jpg
https://cdn.ncbi.nlm.nih.gov/pmc/blobs/8cbf/5498196/8942f6a0e52d/1349-7235-56-1339-g001.jpg
https://cdn.ncbi.nlm.nih.gov/pmc/blobs/8cbf/5498196/3d801c597691/1349-7235-56-1339-g002.jpg
https://cdn.ncbi.nlm.nih.gov/pmc/blobs/8cbf/5498196/79f3bb7d1619/1349-7235-56-1339-g003.jpg
https://cdn.ncbi.nlm.nih.gov/pmc/blobs/8cbf/5498196/d27d7741482c/1349-7235-56-1339-g004.jpg
https://cdn.ncbi.nlm.nih.gov/pmc/blobs/8cbf/5498196/65189f872f89/1349-7235-56-1339-g005.jpg
https://cdn.ncbi.nlm.nih.gov/pmc/blobs/8cbf/5498196/8942f6a0e52d/1349-7235-56-1339-g001.jpg
https://cdn.ncbi.nlm.nih.gov/pmc/blobs/8cbf/5498196/3d801c597691/1349-7235-56-1339-g002.jpg
https://cdn.ncbi.nlm.nih.gov/pmc/blobs/8cbf/5498196/79f3bb7d1619/1349-7235-56-1339-g003.jpg
https://cdn.ncbi.nlm.nih.gov/pmc/blobs/8cbf/5498196/d27d7741482c/1349-7235-56-1339-g004.jpg
https://cdn.ncbi.nlm.nih.gov/pmc/blobs/8cbf/5498196/65189f872f89/1349-7235-56-1339-g005.jpg

相似文献

1
Gastroesophageal Variceal Bleeding Successfully Controlled by Partial Splenic Embolization.部分脾栓塞术成功控制胃食管静脉曲张出血
Intern Med. 2017;56(11):1339-1343. doi: 10.2169/internalmedicine.56.8167. Epub 2017 Jun 1.
2
Partial splenic embolization as a rescue and emergency treatment for portal hypertension and gastroesophageal variceal hemorrhage.部分性脾栓塞术作为门静脉高压和胃食管静脉曲张出血的抢救和急症治疗。
BMC Gastroenterol. 2023 May 24;23(1):180. doi: 10.1186/s12876-023-02808-1.
3
Bleeding portal-hypertensive gastropathy managed successfully by partial splenic embolization.部分脾栓塞术成功治疗门静脉高压性胃病出血
Hepatogastroenterology. 2002 Jul-Aug;49(46):947-9.
4
Endoscopic injection sclerotherapy versus conservative treatment for patients with unresectable hepatocellular carcinoma and bleeding esophageal varices.内镜注射硬化疗法与保守治疗对无法切除的肝细胞癌合并食管静脉曲张出血患者的疗效比较
Gastrointest Endosc. 1991 Mar-Apr;37(2):161-4. doi: 10.1016/s0016-5107(91)70677-9.
5
Partial splenic embolization in patients with idiopathic portal hypertension.特发性门静脉高压症患者的部分脾栓塞术
Eur J Radiol. 2004 Mar;49(3):268-73. doi: 10.1016/S0720-048X(03)00134-7.
6
Endoscopic injection sclerotherapy for esophageal varices associated with concomitant portal venous thrombus of hepatocellular carcinoma.内镜下注射硬化疗法治疗肝细胞癌合并门静脉血栓形成相关的食管静脉曲张
J Surg Oncol. 1995 Jun;59(2):125-30. doi: 10.1002/jso.2930590210.
7
Emergency splenic arterial embolization for massive variceal bleeding in liver recipient with left-sided portal hypertension.急诊脾动脉栓塞术治疗左侧门静脉高压肝移植受者的大量静脉曲张出血
Liver Transpl. 2005 Sep;11(9):1136-9. doi: 10.1002/lt.20543.
8
Injection sclerotherapy for variceal bleeding in patients with irresectable hepatocellular carcinoma.不可切除肝细胞癌患者静脉曲张出血的注射硬化疗法
Hepatogastroenterology. 2000 Nov-Dec;47(36):1680-4.
9
Endoscopic injection sclerotherapy for esophageal varices prolonged survival of patients with hepatocellular carcinoma complicating liver cirrhosis.内镜下注射硬化疗法治疗食管静脉曲张可延长合并肝硬化的肝细胞癌患者的生存期。
Gastrointest Endosc. 2000 May;51(5):569-72. doi: 10.1016/s0016-5107(00)70291-4.
10
Sclerotherapy for esophageal variceal bleeding in advanced hepatocellular carcinoma: an 8-year experience in Taiwan.晚期肝细胞癌食管静脉曲张破裂出血的硬化治疗:台湾地区8年经验
J Gastroenterol. 1994 Aug;29(4):474-8. doi: 10.1007/BF02361246.

引用本文的文献

1
Quantitative splenic embolization possible: application of 8Spheres conformal microspheres in partial splenic embolization (PSE).可行的定量性脾脏栓塞:8Spheres 适形微球在部分性脾脏栓塞术(PSE)中的应用。
BMC Gastroenterol. 2021 Oct 27;21(1):407. doi: 10.1186/s12876-021-01991-3.

本文引用的文献

1
Clinical application of partial splenic embolization.部分脾栓塞术的临床应用
ScientificWorldJournal. 2014;2014:961345. doi: 10.1155/2014/961345. Epub 2014 Nov 3.
2
Incidence and predictors of rebleeding after band ligation of oesophageal varices.食管静脉曲张套扎术后再出血的发生率及预测因素
Arab J Gastroenterol. 2014 Sep-Dec;15(3-4):135-41. doi: 10.1016/j.ajg.2014.10.002. Epub 2014 Dec 8.
3
Transjugular Intrahepatic Portosystemic Shunt before and after Liver Transplantation.肝移植前后的经颈静脉肝内门体分流术
Semin Intervent Radiol. 2014 Sep;31(3):243-7. doi: 10.1055/s-0034-1382791.
4
Partial splenic artery embolization in cirrhotic patients.肝硬化患者的部分脾动脉栓塞术
World J Radiol. 2014 May 28;6(5):160-8. doi: 10.4329/wjr.v6.i5.160.
5
Outcomes after transjugular intrahepatic portosystemic stent shunt: a "bridge" to nowhere.经颈静脉肝内门体分流术的转归:一座“没有尽头的桥”。
Am J Surg. 2013 Apr;205(4):441-6. doi: 10.1016/j.amjsurg.2012.06.005. Epub 2013 Jan 30.
6
Splenomegaly as risk factor of liver cirrhosis. A retrospective cohort study of 2,525 patients who underwent laparoscopy.脾肿大是肝硬化的危险因素。一项对 2525 例行腹腔镜检查患者的回顾性队列研究。
In Vivo. 2011 Nov-Dec;25(6):1009-12.
7
Management of varices and variceal hemorrhage in cirrhosis.肝硬化中静脉曲张及静脉曲张出血的管理
N Engl J Med. 2010 Mar 4;362(9):823-32. doi: 10.1056/NEJMra0901512.
8
General rules for recording endoscopic findings of esophagogastric varices (2nd edition).食管胃静脉曲张内镜下所见记录总则(第 2 版)。
Dig Endosc. 2010 Jan;22(1):1-9. doi: 10.1111/j.1443-1661.2009.00929.x.
9
Evaluation of patients with esophageal varices after endoscopic injection sclerotherapy using multiplanar reconstruction MDCT images.使用多平面重建MDCT图像评估内镜注射硬化治疗后的食管静脉曲张患者。
AJR Am J Roentgenol. 2009 Jan;192(1):122-30. doi: 10.2214/AJR.08.1268.
10
Laparoscopic splenectomy is a safe and effective procedure for patients with splenomegaly due to portal hypertension.对于因门静脉高压导致脾肿大的患者,腹腔镜脾切除术是一种安全有效的手术方法。
J Hepatobiliary Pancreat Surg. 2008;15(3):304-9. doi: 10.1007/s00534-007-1232-7. Epub 2008 Jun 6.