Suppr超能文献

幽门螺杆菌抗原诱导婴儿早期免疫反应

Helicobacter pylori Antigens Inducing Early Immune Response in Infants.

作者信息

Seo Ji Hyun, Youn Jong Hyuk, Kim Eun A, Jun Jin Su, Park Ji Sook, Yeom Jung Sook, Lim Jae Young, Woo Hyang Ok, Youn Hee Shang, Ko Gyung Hyuck, Park Jin Sik, Baik Seung Chul, Lee Woo Kon, Cho Myung Je, Rhee Kwang Ho

机构信息

Department of Pediatrics, Gyeongsang National Institute of Health Sciences, Gyeongsang National University School of Medicine, Jinju, Korea.

Department of Pathology, Gyeongsang National Institute of Health Sciences, Gyeongsang National University School of Medicine, Jinju, Korea.

出版信息

J Korean Med Sci. 2017 Jul;32(7):1139-1146. doi: 10.3346/jkms.2017.32.7.1139.

Abstract

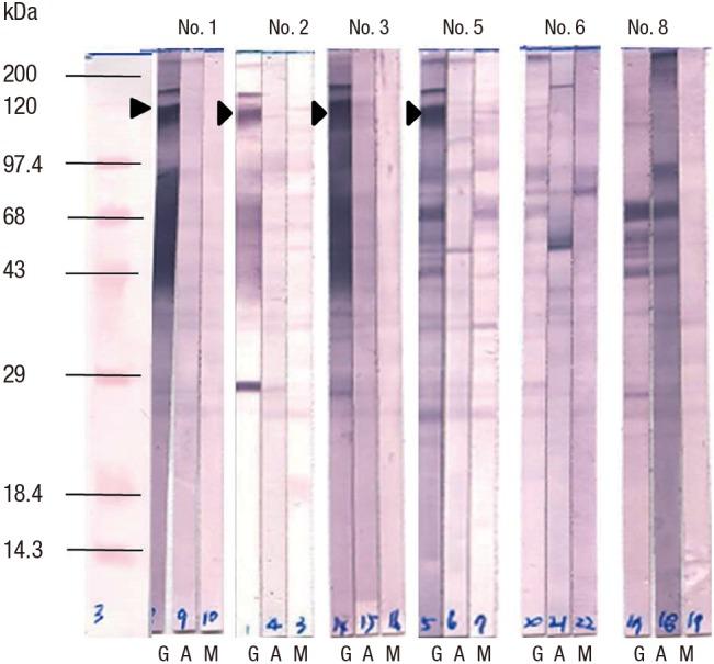
To identify the Helicobacter pylori antigens operating during early infection in sera from infected infants using proteomics and immunoblot analysis. Two-dimensional (2D) large and small gel electrophoresis was performed using H. pylori strain 51. We performed 2D immunoglobulin G (IgG), immunoglobulin A (IgA), and immunoglobulin M (IgM) antibody immunoblotting using small gels on sera collected at the Gyeongsang National University Hospital from 4-11-month-old infants confirmed with H. pylori infection by pre-embedding immunoelectron microscopy. Immunoblot spots appearing to represent early infection markers in infant sera were compared to those of the large 2D gel for H. pylori strain 51. Corresponding spots were analyzed by matrix-assisted laser desorption/ionization time of flight-mass spectrometry (MALDI-TOF-MS). The peptide fingerprints obtained were searched in the National Center for Biotechnology Information (NCBI) database. Eight infant patients were confirmed with H. pylori infection based on urease tests, histopathologic examinations, and pre-embedding immunoelectron microscopy. One infant showed a 2D IgM immunoblot pattern that seemed to represent early infection. Immunoblot spots were compared with those from whole-cell extracts of H. pylori strain 51 and 18 spots were excised, digested in gel, and analyzed by MALDI-TOF-MS. Of the 10 peptide fingerprints obtained, the H. pylori proteins flagellin A (FlaA), urease β subunit (UreB), pyruvate ferredoxin oxidoreductase (POR), and translation elongation factor Ts (EF-Ts) were identified and appeared to be active during the early infection periods. These results might aid identification of serological markers for the serodiagnosis of early H. pylori infection in infants.

摘要

利用蛋白质组学和免疫印迹分析鉴定感染婴儿血清在早期感染期间起作用的幽门螺杆菌抗原。使用幽门螺杆菌51菌株进行二维(2D)大凝胶和小凝胶电泳。我们在庆尚国立大学医院对通过预包埋免疫电子显微镜确诊为幽门螺杆菌感染的4至11个月大婴儿采集的血清,使用小凝胶进行二维免疫球蛋白G(IgG)、免疫球蛋白A(IgA)和免疫球蛋白M(IgM)抗体免疫印迹。将婴儿血清中似乎代表早期感染标志物的免疫印迹斑点与幽门螺杆菌51菌株的大2D凝胶斑点进行比较。通过基质辅助激光解吸/电离飞行时间质谱(MALDI-TOF-MS)分析相应的斑点。在国家生物技术信息中心(NCBI)数据库中搜索获得的肽指纹图谱。基于尿素酶试验、组织病理学检查和预包埋免疫电子显微镜,八名婴儿患者被确诊为幽门螺杆菌感染。一名婴儿表现出似乎代表早期感染的二维IgM免疫印迹模式。将免疫印迹斑点与幽门螺杆菌51菌株全细胞提取物的斑点进行比较,切除18个斑点,在凝胶中消化,并通过MALDI-TOF-MS分析。在获得的10个肽指纹图谱中,鉴定出幽门螺杆菌蛋白鞭毛蛋白A(FlaA)、尿素酶β亚基(UreB)、丙酮酸铁氧还蛋白氧化还原酶(POR)和翻译延伸因子Ts(EF-Ts),它们似乎在早期感染期具有活性。这些结果可能有助于鉴定婴儿早期幽门螺杆菌感染血清学诊断的血清学标志物。

https://cdn.ncbi.nlm.nih.gov/pmc/blobs/7ff0/5461318/677e8311b646/jkms-32-1139-g001.jpg

文献检索

告别复杂PubMed语法,用中文像聊天一样搜索,搜遍4000万医学文献。AI智能推荐,让科研检索更轻松。

立即免费搜索

文件翻译

保留排版,准确专业,支持PDF/Word/PPT等文件格式,支持 12+语言互译。

免费翻译文档

深度研究

AI帮你快速写综述,25分钟生成高质量综述,智能提取关键信息,辅助科研写作。

立即免费体验