Suppr超能文献

患骨关节炎的绝经后女性胫骨近端和腰椎小梁骨退化减缓。

Decreased trabecular bone deterioration of proximal tibiae and lumbar vertebrae in postmenopausal women with osteoarthritis.

作者信息

Yin Zhenhua, Wang Wei, Han Jian, Chen Ke, Ma Jianjun

机构信息

Department of Orthopedics, The First People's Hospital, Xianyang, Shaanxi 712000, P.R. China.

出版信息

Exp Ther Med. 2017 Jun;13(6):3355-3359. doi: 10.3892/etm.2017.4439. Epub 2017 May 8.

Abstract

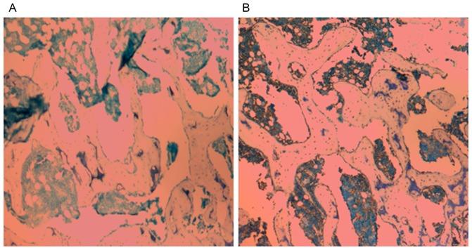
Osteoporosis and osteoarthritis (OA) are two common age-related skeletal disorders, which are associated with substantial morbidity and disability, particularly among elderly women. The present study was performed to investigate the trabecular bone deterioration of proximal tibiae and lumbar vertebrae in postmenopausal women with OA. The results demonstrated that the histomorphometric section of trabecular bone below the growth plate was markedly different between the healthy control and OA group. However, the loss of trabecular bone underneath the growth plate in the healthy control group was significantly worse than that of the OA group. Hematoxylin and eosin staining demonstrated the increased disconnection and separation of the trabecular bone network as well as the reduction of trabecular bone mass of primary and secondary spongiosa throughout the proximal metaphysis of tibia in the healthy control compared to the OA group; similar results were found when the same experiment was repeated on the lumbar vertebrae of healthy control subjects and OA patients from postmenopausal women. The biological properties of trabecular bone in the proximal tibia and lumbar vertebrae were measured in postmenopausal women with OA. Spearman's rank correlation analysis revealed that the bone volume fraction was both positively correlated with radiographic severity and Western Ontario McMaster University Osteoarthritis Index scores in in the proximal tibia and lumbar vertebrae from postmenopausal women with OA. In conclusion, the structural properties of the proximal tibia and lumbar vertebrae supported that an inverse correlation existed between postmenopausal women with OA and healthy controls. Moreover, there is an important protective mechanism of OA on trabecular microstructure in proximal tibiae and lumbar vertebrae from postmenopausal women.

摘要

骨质疏松症和骨关节炎(OA)是两种常见的与年龄相关的骨骼疾病,它们与相当高的发病率和残疾率相关,尤其是在老年女性中。本研究旨在调查患有OA的绝经后女性胫骨近端和腰椎的小梁骨退化情况。结果表明,健康对照组和OA组生长板下方小梁骨的组织形态计量学切片存在明显差异。然而,健康对照组生长板下方小梁骨的丢失明显比OA组更严重。苏木精和伊红染色显示,与OA组相比,健康对照组胫骨近端整个干骺端的小梁骨网络连接和分离增加,以及初级和次级海绵体小梁骨量减少;对绝经后女性健康对照者和OA患者的腰椎重复相同实验时也发现了类似结果。对患有OA的绝经后女性胫骨近端和腰椎的小梁骨生物学特性进行了测量。Spearman等级相关分析显示,骨体积分数与患有OA的绝经后女性胫骨近端和腰椎的放射学严重程度以及西安大略和麦克马斯特大学骨关节炎指数评分均呈正相关。总之,胫骨近端和腰椎的结构特性支持患有OA的绝经后女性与健康对照者之间存在负相关。此外,OA对绝经后女性胫骨近端和腰椎的小梁微结构具有重要的保护机制。

https://cdn.ncbi.nlm.nih.gov/pmc/blobs/9bc0/5450684/b520b989cf55/etm-13-06-3355-g00.jpg

文献AI研究员

20分钟写一篇综述,助力文献阅读效率提升50倍。

立即体验

用中文搜PubMed

大模型驱动的PubMed中文搜索引擎

马上搜索

文档翻译

学术文献翻译模型,支持多种主流文档格式。

立即体验