Mineta Kazuaki, Okada Masahiko, Matsumoto Soshi, Hamada Daisuke, Goto Tomohiro, Sairyo Koichi
Department of Orthopedics, University of Tokushima, Tokushima, Japan.
Department of Orthopedics, Tokushima Kensei Hospital, Tokushima, Japan.
Case Rep Orthop. 2017;2017:4080816. doi: 10.1155/2017/4080816. Epub 2017 May 16.
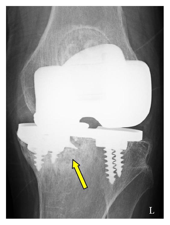
We report a rare case of tibial baseplate fracture of Miller-Galante II (MG II) prosthesis. We examine the factors that may cause such late fracture and review the literature on radiographic analysis and retrieval studies. A 76-year-old woman, who had undergone bilateral MG II total knee arthroplasty due to rheumatoid arthritis 16 years earlier, presented to our department with a 3-month history of left knee pain. Plain radiographs revealed severe distortion of the medial tibial component. During revision knee arthroplasty, we observed severe metallosis in the knee joint, polyethylene insert deformation, and posteromedial coronal baseplate fracture. After removal of the fractured tray, a bone deficit due to osteolysis was noted. The revision prosthesis (LCCK, Zimmer-Biomet) was implanted uneventfully. Four months after revision surgery, the patient was ambulating and had no complications. The implants on the right side had survived without complications for 17 years. We speculate that the primary causative factor of the fatigue fracture of the base plate due to loss of bony support most likely secondary to osteolysis was varus malalignment at primary implantation. This case highlights the importance of paying close attention to the correct alignment of each component at primary implantation.
我们报告了一例罕见的米勒 - 加兰特二世(MG II)假体胫骨基板骨折病例。我们研究了可能导致这种晚期骨折的因素,并回顾了有关影像学分析和取出研究的文献。一名76岁女性,16年前因类风湿性关节炎接受了双侧MG II全膝关节置换术,因左膝疼痛3个月前来我院就诊。X线平片显示内侧胫骨部件严重变形。在翻修膝关节置换术中,我们观察到膝关节严重金属沉着、聚乙烯衬垫变形以及后内侧冠状基板骨折。取出骨折托盘后,发现存在因骨溶解导致的骨缺损。顺利植入了翻修假体(LCCK,捷迈邦美)。翻修手术后四个月,患者能够行走且无并发症。右侧的植入物已无并发症存活了17年。我们推测,由于骨溶解继发骨支撑丧失导致基板疲劳骨折的主要原因最有可能是初次植入时的内翻畸形。该病例突出了在初次植入时密切关注每个部件正确对线的重要性。