Suppr超能文献

起源不明的黑色素瘤并发及突变,表现为乳腺肿块。

Concurrent and mutations in melanoma of unknown origin presenting as a breast mass.

作者信息

Agosto-Arroyo Emmanuel, Rosa Marilin, Chau Alec, Khazai Laila

机构信息

Department of Anatomic Pathology, Moffitt Cancer Center, Tampa, FL, USA.

Department of Diagnostic Imaging, Moffitt Cancer Center, Tampa, FL, USA.

出版信息

SAGE Open Med Case Rep. 2017 May 31;5:2050313X17711064. doi: 10.1177/2050313X17711064. eCollection 2017.

Abstract

BACKGROUND

Metastases represent a small percentage of the malignancies affecting the breast, and only 5% of melanomas originate from non-cutaneous sites. Multiple genetic aberrations have been associated with the development of melanocytic lesions, including V600E mutation. Mutations in gene have also been related to the pathogenesis of multiple malignancies.

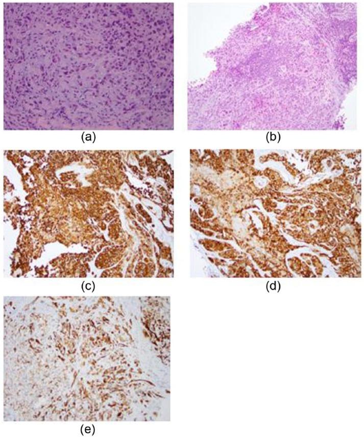
PURPOSE/METHOD: This is the case of a 28-year-old female who presented with a tender, palpable mass in the upper outer quadrant of the right breast. Ultrasound showed a 1-cm solid mass, initially diagnosed as invasive ductal carcinoma on biopsy. During pre-operative workup, a second mass was identified and biopsied. Immunohistochemical stains performed on the second mass biopsy demonstrated that the neoplastic cells were positive for cytokeratin AE1/3, pan-melanoma, tyrosinase, and SOX-10 and negative for CK7, CAM5.2, and GATA-3. Subsequent workup showed widespread metastatic disease involving the liver, lungs, bones, and brain. The brain metastasis tested positive for p.V600E and p.R130Efs*4 mutations. Thorough skin and eye examination did not reveal a primary melanoma.

CONCLUSION

Only few reports have been published of melanoma presenting as a breast mass. This is an interesting case due to the clinical presentation, diagnostic challenges, and genetic mutations profile.

摘要

背景

转移瘤在影响乳腺的恶性肿瘤中占比很小,且仅有5%的黑色素瘤起源于非皮肤部位。多种基因畸变与黑素细胞病变的发生有关,包括V600E突变。该基因的突变也与多种恶性肿瘤的发病机制相关。

目的/方法:本文报道一例28岁女性患者,其右乳外上象限出现一个可触及的压痛性肿块。超声显示一个1厘米的实性肿块,活检最初诊断为浸润性导管癌。在术前检查期间,发现了第二个肿块并进行了活检。对第二个肿块活检进行的免疫组化染色显示,肿瘤细胞细胞角蛋白AE1/3、泛黑色素瘤、酪氨酸酶和SOX-10呈阳性,而CK7、CAM5.2和GATA-3呈阴性。后续检查显示广泛的转移性疾病,累及肝脏、肺、骨骼和大脑。脑转移瘤检测到p.V600E和p.R130Efs*4突变呈阳性。全面的皮肤和眼部检查未发现原发性黑色素瘤。

结论

仅有少数关于以乳腺肿块形式出现的黑色素瘤的报道。由于临床表现、诊断挑战和基因突变谱,这是一个有趣的病例。

https://cdn.ncbi.nlm.nih.gov/pmc/blobs/907c/5456025/8ffedaffa2ed/10.1177_2050313X17711064-fig1.jpg

文献检索

告别复杂PubMed语法,用中文像聊天一样搜索,搜遍4000万医学文献。AI智能推荐,让科研检索更轻松。

立即免费搜索

文件翻译

保留排版,准确专业,支持PDF/Word/PPT等文件格式,支持 12+语言互译。

免费翻译文档

深度研究

AI帮你快速写综述,25分钟生成高质量综述,智能提取关键信息,辅助科研写作。

立即免费体验