Suppr超能文献

周围神经的囊性病变:我们是否漏诊了神经内腱鞘囊肿?

Cystic lesions of peripheral nerves: Are we missing the diagnosis of the intraneural ganglion cyst?

作者信息

Panwar Jyoti, Mathew Anil, Thomas Binu P

机构信息

Jyoti Panwar, Department of Radiology, Christian Medical College, Vellore 632004, India.

出版信息

World J Radiol. 2017 May 28;9(5):230-244. doi: 10.4329/wjr.v9.i5.230.

Abstract

AIM

To highlight the salient magnetic resonance imaging (MRI) features of the intraneural ganglion cyst (INGC) of various peripheral nerves for their precise diagnosis and to differentiate them from other intra and extra-neural cystic lesions.

METHODS

A retrospective analysis of the magnetic resonance (MR) images of a cohort of 245 patients presenting with nerve palsy involving different peripheral nerves was done. MR images were analyzed for the presence of a nerve lesion, and if found, it was further characterized as solid or cystic. The serial axial, coronal and sagittal MR images of the lesions diagnosed as INGC were studied for their pattern and the anatomical extent along the course of the affected nerve and its branches. Its relation to identifiable anatomical landmarks, intra-articular communication and presence of denervation changes in the muscles supplied by involved nerve was also studied.

RESULTS

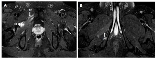
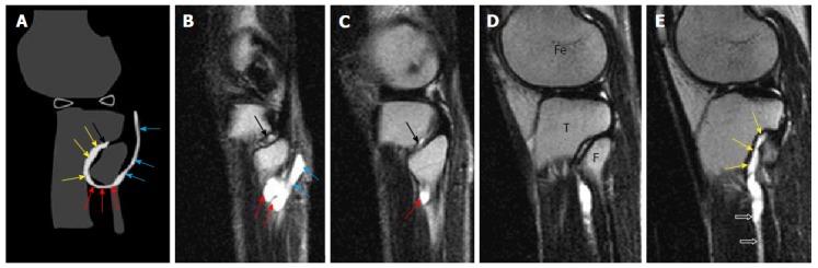
A total of 45 cystic lesions in the intra or extraneural locations of the nerves were identified from the 245 MR scans done for patients presenting with nerve palsy. Out of these 45 cystic lesions, 13 were diagnosed to have INGC of a peripheral nerve on MRI. The other cystic lesions included extraneural ganglion cyst, paralabral cyst impinging upon the suprascapular nerve, cystic schwannoma and nerve abscesses related to Hansen's disease involving various peripheral nerves. Thirteen lesions of INGC were identified in 12 patients. Seven of these affected the common peroneal nerve with one patient having a bilateral involvement. Two lesions each were noted in the tibial and suprascapular nerves, and one each in the obturator and proximal sciatic nerve. An intra-articular connection along the articular branch was demonstrated in 12 out of 13 lesions. Varying stages of denervation atrophy of the supplied muscles of the affected nerves were seen in 7 cases. Out of these 13 lesions in 12 patients, 6 underwent surgery.

CONCLUSION

INGC is an important cause of reversible mono-neuropathy if diagnosed early and surgically treated. Its classic MRI pattern differentiates it from other lesions of the peripheral nerve and aid in its therapeutic planning. In each case, the joint connection has to be identified preoperatively, and the same should be excised during surgery to prevent further cyst recurrence.

摘要

目的

强调各种周围神经内神经节囊肿(INGC)的显著磁共振成像(MRI)特征,以实现其精确诊断,并将其与其他神经内和神经外囊性病变相鉴别。

方法

对245例表现为不同周围神经麻痹的患者的磁共振(MR)图像进行回顾性分析。分析MR图像中是否存在神经病变,若发现病变,则进一步将其特征化为实性或囊性。对诊断为INGC的病变的系列轴位、冠状位和矢状位MR图像进行研究,观察其形态以及沿受累神经及其分支走行的解剖范围。还研究了其与可识别的解剖标志的关系、关节内连通情况以及受累神经所支配肌肉的失神经改变情况。

结果

在为表现为神经麻痹的患者进行的245次MR扫描中,共识别出45个位于神经内或神经外的囊性病变。在这45个囊性病变中,13个经MRI诊断为周围神经的INGC。其他囊性病变包括神经外神经节囊肿、压迫肩胛上神经的盂唇旁囊肿、囊性神经鞘瘤以及与累及各种周围神经的汉森病相关的神经脓肿。12例患者中发现13个INGC病变。其中7个累及腓总神经,1例为双侧受累。胫神经和肩胛上神经各有2个病变,闭孔神经和坐骨神经近端各有1个病变。13个病变中有12个显示沿关节支有关节内连通。7例可见受累神经所支配肌肉不同程度的失神经萎缩。在这12例患者的13个病变中,6例接受了手术。

结论

如果早期诊断并进行手术治疗,INGC是可逆性单神经病的重要病因。其典型的MRI表现使其与周围神经的其他病变相鉴别,并有助于治疗方案的制定。在每例病例中,术前必须识别关节连通情况,手术时应将其切除以防止囊肿复发。

https://cdn.ncbi.nlm.nih.gov/pmc/blobs/7e14/5441458/1ec10f5900a6/WJR-9-230-g001.jpg

文献检索

告别复杂PubMed语法,用中文像聊天一样搜索,搜遍4000万医学文献。AI智能推荐,让科研检索更轻松。

立即免费搜索

文件翻译

保留排版,准确专业,支持PDF/Word/PPT等文件格式,支持 12+语言互译。

免费翻译文档

深度研究

AI帮你快速写综述,25分钟生成高质量综述,智能提取关键信息,辅助科研写作。

立即免费体验