Suppr超能文献

肿瘤抑制性miR-26a和miR-26b通过调节结直肠癌中的FUT4来抑制细胞侵袭性。

Tumor-suppressive miR-26a and miR-26b inhibit cell aggressiveness by regulating FUT4 in colorectal cancer.

作者信息

Li Yang, Sun Zheng, Liu Bing, Shan Yujia, Zhao Lifen, Jia Li

机构信息

College of Laboratory Medicine, Dalian Medical University, Liaoning Province, Dalian 116044, China.

出版信息

Cell Death Dis. 2017 Jun 22;8(6):e2892. doi: 10.1038/cddis.2017.281.

Abstract

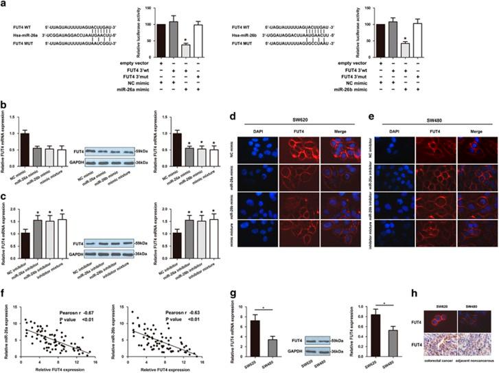
Metastasis is a multistep molecular network process, which is the major cause of death in patients with colorectal cancer (CRC). MicroRNAs (miRNAs) play pivotal roles in tumorigenesis as either tumor suppressors or oncogenes. Increased expression of fucosyltransferase4 (FUT4) has been reported to be associated with the invasive and metastatic properties of CRC. Here to identify potential key miRNAs and their target genes for colorectal cancer (CRC), we compared miRNA expression profiles between metastatic CRC cell SW620 and primary CRC cell SW480. Microarray analysis revealed that there were 85 differentially expressed miRNAs in SW620 cells with highly metastatic potential compared to SW480 cells with lowly metastatic potential. The expression of miR-26a and miR-26b were lower in SW620 cells than in SW480 cells, as well as downregulated in tumor tissues than in adjacent normal tissues of CRC patients. By applying bioinformatic approaches for the prediction of miRNA targeting 3'-UTR of FUT4, we identified FUT4 as one of the miR-26a/26b-targeted genes, while the expression of the target gene exhibited patterns opposite to that of miR-26a/26b in CRC cell lines, tumor tissues and corresponding adjacent tissues. Forced miR-26a/26b expression affected migratory behavior of CRC cells and FUT4 expression, while altered expression of FUT4 in CRC cell lines modulated progression upon transfection with miR-26a/26b mimic or inhibiter. FUT4 also regulated directly aggressiveness of SW620 and SW480 cells. Moreover, statistical analyses revealed that low miR-26a/26b levels and high expression of FUT4 were positively correlated with poor overall survival. The identified CRC-restricted miR-26a and miR-26b might be implicated in cancer progression via their target gene FUT4, suggesting their potential usage in CRC treatment.

摘要

转移是一个多步骤的分子网络过程,是结直肠癌(CRC)患者死亡的主要原因。微小RNA(miRNA)作为肿瘤抑制因子或癌基因在肿瘤发生中起关键作用。据报道,岩藻糖基转移酶4(FUT4)表达增加与CRC的侵袭和转移特性相关。在此,为了鉴定结直肠癌(CRC)潜在的关键miRNA及其靶基因,我们比较了转移性CRC细胞SW620和原发性CRC细胞SW480之间的miRNA表达谱。微阵列分析显示,与低转移潜能的SW480细胞相比,具有高转移潜能的SW620细胞中有85个差异表达的miRNA。miR-26a和miR-26b在SW620细胞中的表达低于SW480细胞,并且在CRC患者的肿瘤组织中比相邻正常组织中表达下调。通过应用生物信息学方法预测miRNA靶向FUT4的3'-UTR,我们鉴定出FUT4是miR-26a/26b靶向的基因之一,而在CRC细胞系、肿瘤组织和相应的相邻组织中,靶基因的表达呈现出与miR-26a/26b相反的模式。强制表达miR-26a/26b影响CRC细胞的迁移行为和FUT4表达,而CRC细胞系中FUT4表达的改变在用miR-26a/26b模拟物或抑制剂转染后调节细胞进程。FUT4还直接调节SW620和SW480细胞的侵袭性。此外,统计分析显示,低水平的miR-26a/26b和高表达的FUT4与总体生存率差呈正相关。所鉴定的CRC特异性miR-26a和miR-26b可能通过其靶基因FUT4参与癌症进展,提示它们在CRC治疗中的潜在用途。

https://cdn.ncbi.nlm.nih.gov/pmc/blobs/3fde/5520934/ea596ed5d177/cddis2017281f1.jpg

文献检索

告别复杂PubMed语法,用中文像聊天一样搜索,搜遍4000万医学文献。AI智能推荐,让科研检索更轻松。

立即免费搜索

文件翻译

保留排版,准确专业,支持PDF/Word/PPT等文件格式,支持 12+语言互译。

免费翻译文档

深度研究

AI帮你快速写综述,25分钟生成高质量综述,智能提取关键信息,辅助科研写作。

立即免费体验