Suppr超能文献

在一只家猫身上用大网膜包裹法治疗出血性肝囊肿。

Treatment of hemorrhagic hepatic cysts with omentalization in a serval.

作者信息

Lafuente Pilar, Bachelez Andreas, Powers Michelle Y, Finch Nickol P

机构信息

Department of Veterinary Clinical Sciences, Washington State University, Pullman, WA, USA.

Present address: Department of Clinical Sciences and Services, Royal Veterinary College, Hatfield, UK.

出版信息

Open Vet J. 2017;7(2):139-142. doi: 10.4314/ovj.v7i2.10. Epub 2017 May 25.

Abstract

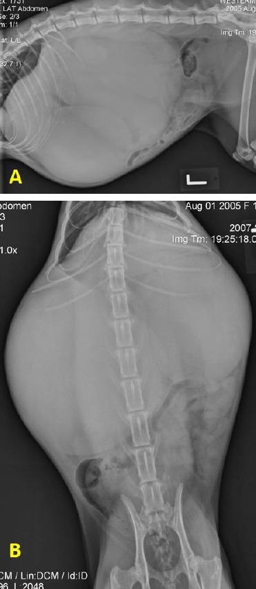
A 2 year old, spayed female African serval was evaluated for a history of abdominal distention. Physical examination findings were consistent with cranial abdominal masses and anemia. Abdominal imaging revealed soft tissue opacity masses in the cranial abdomen and hypoechoic cysts arising from the liver parenchyma. Conservative management failed to improve clinical signs, and a midline exploratory laparotomy was performed. Three large hemorrhagic cysts were visualized occupying a significant amount of the liver parenchyma. The cysts were drained, omentalized and partially closed with a surgical stapler and suture. Histopatological evaluation of the resected tissue was consistent with a chronic hepatic hematoma. The patient recovered well and was discharged 3 days postoperatively. Two years later, the patient was readmitted with the same clinical signs and large multiple hepatic cysts involving most of the liver lobes. These were surgically omentalized similarly to the previous surgery and the patient recovered well postoperatively. Two years later, return to normal life and no recurrence of the cysts was reported.

摘要

一只2岁已绝育的雌性非洲薮猫因腹胀病史接受评估。体格检查结果与上腹部肿块和贫血相符。腹部影像学检查显示上腹部有软组织密度肿块,肝实质内有低回声囊肿。保守治疗未能改善临床症状,遂进行了中线剖腹探查术。可见三个大的出血性囊肿占据了大量肝实质。囊肿被引流、网膜化,并用外科吻合器和缝线部分封闭。切除组织的组织病理学评估结果与慢性肝血肿一致。患者恢复良好,术后3天出院。两年后,患者因相同临床症状再次入院,发现肝脏多个大叶有大量囊肿。这些囊肿同样通过手术进行网膜化处理,患者术后恢复良好。两年后,患者恢复正常生活,未报告囊肿复发。

https://cdn.ncbi.nlm.nih.gov/pmc/blobs/4a4f/5471747/c85c5d578614/OpenVetJ-7-139-g001.jpg

相似文献

1
Treatment of hemorrhagic hepatic cysts with omentalization in a serval.
Open Vet J. 2017;7(2):139-142. doi: 10.4314/ovj.v7i2.10. Epub 2017 May 25.
3
Case Report: Adrenal Epithelial Cyst in an 11-Year-Old Leptailurus Serval.
Front Vet Sci. 2022 Jun 6;9:897469. doi: 10.3389/fvets.2022.897469. eCollection 2022.
7
Surgical management of simple liver cysts.
Cir Cir. 2012 Jan-Feb;80(1):52-5.
9
Feline Cyst-like Lymphocytic Cholangiohepatitis in a Cat: First Case Report.
Animals (Basel). 2022 Nov 24;12(23):3278. doi: 10.3390/ani12233278.
10
Laparoscopic Double Discoid Resection With a Circular Stapler for Bowel Endometriosis.
J Minim Invasive Gynecol. 2015 Sep-Oct;22(6):929-31. doi: 10.1016/j.jmig.2015.04.021. Epub 2015 Apr 29.

本文引用的文献

1
Hepatic lesions in 90 captive nondomestic felids presented for autopsy.
Vet Pathol. 2015 Mar;52(2):369-76. doi: 10.1177/0300985814532822. Epub 2014 May 1.
2
Outcome following liver lobectomy using thoracoabdominal staplers in cats.
J Small Anim Pract. 2014 Jan;55(1):22-7. doi: 10.1111/jsap.12158. Epub 2013 Nov 27.
4
5
Ultrasound-assisted drainage and alcoholization of hepatic and renal cysts: 22 cases.
J Am Anim Hosp Assoc. 2007 Mar-Apr;43(2):112-6. doi: 10.5326/0430112.
6
Intracystic hemorrhage of a simple liver cyst mimicking a biliary cystadenocarcinoma.
J Gastroenterol. 2003;38(2):190-3. doi: 10.1007/s005350300032.
7
Omentalisation of congenital liver cysts in a cat.
Vet Rec. 2001 Sep 1;149(9):275-6. doi: 10.1136/vr.149.9.275.
8
Haemorrhagic hepatic cyst: a differential diagnosis of cystic tumour.
Br J Radiol. 2001 Mar;74(879):270-2. doi: 10.1259/bjr.74.879.740270.
9
Surgery of hepatic cysts in a cat.
J Vet Med Sci. 1992 Oct;54(5):1051-3. doi: 10.1292/jvms.54.1051.

文献AI研究员

20分钟写一篇综述,助力文献阅读效率提升50倍。

立即体验

用中文搜PubMed

大模型驱动的PubMed中文搜索引擎

马上搜索

文档翻译

学术文献翻译模型,支持多种主流文档格式。

立即体验