• 文献检索
  • 文档翻译
  • 深度研究
  • 学术资讯
  • Suppr Zotero 插件Zotero 插件
  • 邀请有礼
  • 套餐&价格
  • 历史记录
应用&插件
Suppr Zotero 插件Zotero 插件浏览器插件Mac 客户端Windows 客户端微信小程序
定价
高级版会员购买积分包购买API积分包
服务
文献检索文档翻译深度研究API 文档MCP 服务
关于我们
关于 Suppr公司介绍联系我们用户协议隐私条款
关注我们

Suppr 超能文献

核心技术专利:CN118964589B侵权必究
粤ICP备2023148730 号-1Suppr @ 2026

文献检索

告别复杂PubMed语法,用中文像聊天一样搜索,搜遍4000万医学文献。AI智能推荐,让科研检索更轻松。

立即免费搜索

文件翻译

保留排版,准确专业,支持PDF/Word/PPT等文件格式,支持 12+语言互译。

免费翻译文档

深度研究

AI帮你快速写综述,25分钟生成高质量综述,智能提取关键信息,辅助科研写作。

立即免费体验

Haspin抑制揭示了染色单体间轴定位的AURKB和AURKC的功能差异。

Haspin inhibition reveals functional differences of interchromatid axis-localized AURKB and AURKC.

作者信息

Quartuccio Suzanne M, Dipali Shweta S, Schindler Karen

机构信息

Department of Genetics, Rutgers, The State University of New Jersey, Piscataway, NJ 08854.

Department of Genetics, Rutgers, The State University of New Jersey, Piscataway, NJ 08854

出版信息

Mol Biol Cell. 2017 Aug 15;28(17):2233-2240. doi: 10.1091/mbc.E16-12-0850. Epub 2017 Jun 28.

DOI:10.1091/mbc.E16-12-0850
PMID:28659416
原文链接:https://pmc.ncbi.nlm.nih.gov/articles/PMC5555651/
Abstract

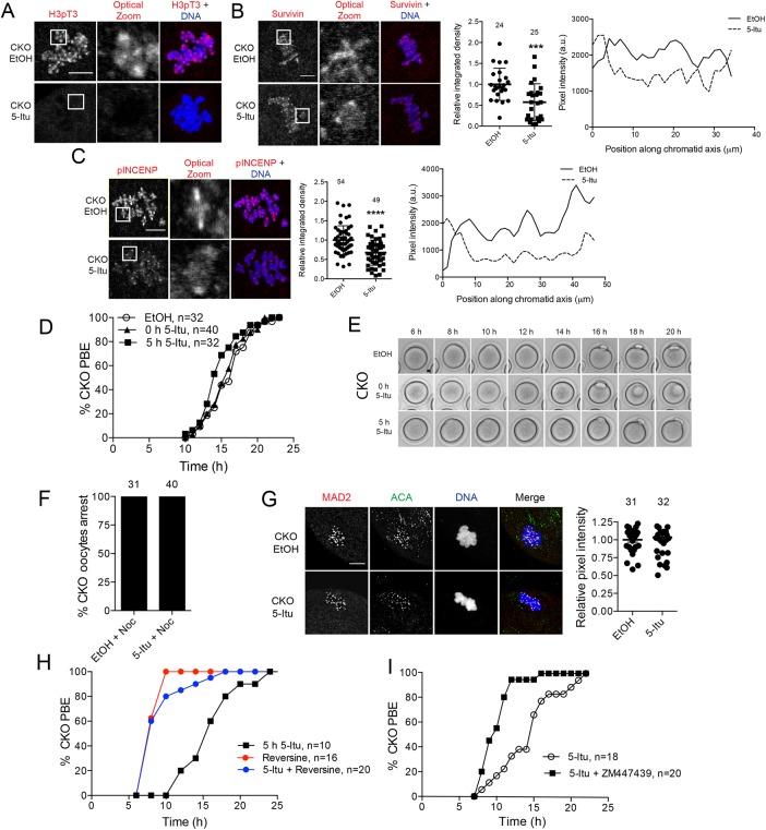
Aneuploidy is the leading genetic abnormality contributing to infertility, and chromosome segregation errors are common during female mammalian meiosis I (MI). Previous results indicate that haspin kinase regulates resumption of meiosis from prophase arrest, chromosome condensation, and kinetochore-microtubule attachments during early prometaphase of MI. Here we report that haspin inhibition in late prometaphase I causes acceleration of MI, bypass of the spindle assembly checkpoint (SAC), and loss of interchromatid axis-localized Aurora kinase C. Meiotic cells contain a second chromosomal passenger complex (CPC) population, with Aurora kinase B (AURKB) bound to INCENP. Haspin inhibition in oocytes from mice, where AURKB is the sole CPC kinase, does not alter MI completion timing, and no change in localization of the SAC protein, MAD2, is observed. These data suggest that AURKB on the interchromatid axis is not needed for SAC activation and illustrate a key difference between the functional capacities of the two AURK homologues.

摘要

非整倍体是导致不孕的主要遗传异常,染色体分离错误在雌性哺乳动物减数分裂I(MI)期间很常见。先前的结果表明,Haspin激酶在MI早期前中期调节减数分裂从前期阻滞的恢复、染色体凝聚以及动粒-微管附着。在此我们报告,在I期前中期后期抑制Haspin会导致MI加速、绕过纺锤体组装检查点(SAC)以及染色体间轴定位的极光激酶C丢失。减数分裂细胞包含第二个染色体乘客复合体(CPC)群体,其中极光激酶B(AURKB)与INCENP结合。在AURKB是唯一CPC激酶的小鼠卵母细胞中抑制Haspin,不会改变MI完成时间,并且未观察到SAC蛋白MAD2的定位变化。这些数据表明,染色体间轴上的AURKB对于SAC激活不是必需的,并说明了两种AURK同源物功能能力之间的关键差异。

https://cdn.ncbi.nlm.nih.gov/pmc/blobs/d810/5555651/8464d53ad4b3/2233fig5.jpg
https://cdn.ncbi.nlm.nih.gov/pmc/blobs/d810/5555651/eee026a070d0/2233fig1.jpg
https://cdn.ncbi.nlm.nih.gov/pmc/blobs/d810/5555651/753875c0984d/2233fig2.jpg
https://cdn.ncbi.nlm.nih.gov/pmc/blobs/d810/5555651/fa5bcf2f6a3e/2233fig3.jpg
https://cdn.ncbi.nlm.nih.gov/pmc/blobs/d810/5555651/a999470a278f/2233fig4.jpg
https://cdn.ncbi.nlm.nih.gov/pmc/blobs/d810/5555651/8464d53ad4b3/2233fig5.jpg
https://cdn.ncbi.nlm.nih.gov/pmc/blobs/d810/5555651/eee026a070d0/2233fig1.jpg
https://cdn.ncbi.nlm.nih.gov/pmc/blobs/d810/5555651/753875c0984d/2233fig2.jpg
https://cdn.ncbi.nlm.nih.gov/pmc/blobs/d810/5555651/fa5bcf2f6a3e/2233fig3.jpg
https://cdn.ncbi.nlm.nih.gov/pmc/blobs/d810/5555651/a999470a278f/2233fig4.jpg
https://cdn.ncbi.nlm.nih.gov/pmc/blobs/d810/5555651/8464d53ad4b3/2233fig5.jpg

相似文献

1
Haspin inhibition reveals functional differences of interchromatid axis-localized AURKB and AURKC.Haspin抑制揭示了染色单体间轴定位的AURKB和AURKC的功能差异。
Mol Biol Cell. 2017 Aug 15;28(17):2233-2240. doi: 10.1091/mbc.E16-12-0850. Epub 2017 Jun 28.
2
Phosphorylation of threonine 3 on histone H3 by haspin kinase is required for meiosis I in mouse oocytes.Haspin激酶对组蛋白H3上苏氨酸3的磷酸化是小鼠卵母细胞减数分裂I所必需的。
J Cell Sci. 2014 Dec 1;127(Pt 23):5066-78. doi: 10.1242/jcs.158840. Epub 2014 Oct 14.
3
Genetic Interactions between the Aurora Kinases Reveal New Requirements for AURKB and AURKC during Oocyte Meiosis.极光激酶的遗传相互作用揭示了 AURKB 和 AURKC 在卵母细胞减数分裂过程中的新需求。
Curr Biol. 2018 Nov 5;28(21):3458-3468.e5. doi: 10.1016/j.cub.2018.08.052. Epub 2018 Oct 25.
4
Selective disruption of aurora C kinase reveals distinct functions from aurora B kinase during meiosis in mouse oocytes.选择性破坏极光C激酶揭示了其在小鼠卵母细胞减数分裂过程中与极光B激酶不同的功能。
PLoS Genet. 2014 Feb 27;10(2):e1004194. doi: 10.1371/journal.pgen.1004194. eCollection 2014 Feb.
5
Age-dependent integrity of the meiotic spindle assembly checkpoint in females requires Aurora kinase B.在女性中,依赖年龄的减数分裂纺锤体组装检查点的完整性需要 Aurora 激酶 B。
Aging Cell. 2021 Nov;20(11):e13489. doi: 10.1111/acel.13489. Epub 2021 Oct 26.
6
Chromosome segregation regulation in human zygotes: altered mitotic histone phosphorylation dynamics underlying centromeric targeting of the chromosomal passenger complex.人类受精卵中染色体分离的调控:着丝粒靶向染色体乘客复合物的有丝分裂组蛋白磷酸化动力学改变。
Hum Reprod. 2015 Oct;30(10):2275-91. doi: 10.1093/humrep/dev186. Epub 2015 Jul 29.
7
Haspin kinase regulates microtubule-organizing center clustering and stability through Aurora kinase C in mouse oocytes.在小鼠卵母细胞中,Haspin激酶通过极光激酶C调节微管组织中心的聚集和稳定性。
J Cell Sci. 2016 Oct 1;129(19):3648-3660. doi: 10.1242/jcs.189340. Epub 2016 Aug 25.
8
Identification and characterization of Aurora kinase B and C variants associated with maternal aneuploidy.与母体非整倍体相关的极光激酶B和C变体的鉴定与表征。
Mol Hum Reprod. 2017 Jun 1;23(6):406-416. doi: 10.1093/molehr/gax018.
9
Aurora kinase B modulates chromosome alignment in mouse oocytes.极光激酶 B 调控小鼠卵母细胞中的染色体排列。
Mol Reprod Dev. 2009 Nov;76(11):1094-105. doi: 10.1002/mrd.21075.
10
MCAK is present at centromeres, midspindle and chiasmata and involved in silencing of the spindle assembly checkpoint in mammalian oocytes.MCAK 存在于着丝粒、纺锤体中部和交叉点,参与哺乳动物卵母细胞中纺锤体组装检查点的沉默。
Mol Hum Reprod. 2010 Sep;16(9):665-84. doi: 10.1093/molehr/gaq025. Epub 2010 Apr 20.

引用本文的文献

1
AURKA controls oocyte spindle assembly checkpoint and chromosome alignment by HEC1 phosphorylation.极光激酶A(AURKA)通过磷酸化HEC1来控制卵母细胞纺锤体组装检查点和染色体排列。
Life Sci Alliance. 2025 May 6;8(7). doi: 10.26508/lsa.202403146. Print 2025 Jul.
2
Aurora B and Aurora C pools at two chromosomal regions collaboratively maintain chromosome alignment and prevent aneuploidy at the second meiotic division in mammalian oocytes.极光激酶B和极光激酶C在两个染色体区域的聚集协同维持染色体排列,并防止哺乳动物卵母细胞第二次减数分裂时出现非整倍体。
Front Cell Dev Biol. 2024 Sep 17;12:1470981. doi: 10.3389/fcell.2024.1470981. eCollection 2024.
3

本文引用的文献

1
Structural basis of reversine selectivity in inhibiting Mps1 more potently than aurora B kinase.逆转录酶比极光B激酶更有效地抑制Mps1的选择性结构基础。
Proteins. 2016 Dec;84(12):1761-1766. doi: 10.1002/prot.25174. Epub 2016 Oct 11.
2
Haspin kinase regulates microtubule-organizing center clustering and stability through Aurora kinase C in mouse oocytes.在小鼠卵母细胞中,Haspin激酶通过极光激酶C调节微管组织中心的聚集和稳定性。
J Cell Sci. 2016 Oct 1;129(19):3648-3660. doi: 10.1242/jcs.189340. Epub 2016 Aug 25.
3
Aurora-C Interactions with Survivin and INCENP Reveal Shared and Distinct Features Compared with Aurora-B Chromosome Passenger Protein Complex.
Distinct Aurora B pools at the inner centromere and kinetochore have different contributions to meiotic and mitotic chromosome segregation.
在有丝分裂和减数分裂中,内着丝粒和动粒处不同的 Aurora B 聚集体对染色体分离有不同的贡献。
Mol Biol Cell. 2023 May 1;34(5):ar43. doi: 10.1091/mbc.E23-01-0014. Epub 2023 Mar 15.
4
Distinct Aurora B pools at the inner centromere and kinetochore have different contributions to meiotic and mitotic chromosome segregation.在内着丝粒和动粒处不同的极光激酶B池对减数分裂和有丝分裂染色体分离有不同贡献。
bioRxiv. 2023 Feb 5:2023.02.05.527197. doi: 10.1101/2023.02.05.527197.
5
Establishing correct kinetochore-microtubule attachments in mitosis and meiosis.在有丝分裂和减数分裂中建立正确的动粒-微管连接。
Essays Biochem. 2020 Sep 4;64(2):277-287. doi: 10.1042/EBC20190072.
6
Aurora B prevents aneuploidy via MAD2 during the first mitotic cleavage in oxidatively damaged embryos.Aurora B 通过 MAD2 在氧化损伤胚胎的第一次有丝分裂分裂中防止非整倍体。
Cell Prolif. 2019 Sep;52(5):e12657. doi: 10.1111/cpr.12657. Epub 2019 Jul 1.
7
Meiotic spindle assembly checkpoint and aneuploidy in males versus females.减数分裂纺锤体组装检查点与雌雄两性的非整倍体。
Cell Mol Life Sci. 2019 Mar;76(6):1135-1150. doi: 10.1007/s00018-018-2986-6. Epub 2018 Dec 18.
8
DNA damage induces a kinetochore-based ATM/ATR-independent SAC arrest unique to the first meiotic division in mouse oocytes.DNA损伤会引发一种基于动粒的、不依赖ATM/ATR的纺锤体组装检查点(SAC)停滞,这种停滞是小鼠卵母细胞第一次减数分裂所特有的。
Development. 2017 Oct 1;144(19):3475-3486. doi: 10.1242/dev.153965. Epub 2017 Aug 29.
与Aurora-B染色体乘客蛋白复合物相比,极光激酶C与生存素及染色体乘客复合体亚基之间的相互作用揭示了其共同特征和独特特征。
PLoS One. 2016 Jun 22;11(6):e0157305. doi: 10.1371/journal.pone.0157305. eCollection 2016.
4
H3 Thr3 phosphorylation is crucial for meiotic resumption and anaphase onset in oocyte meiosis.H3苏氨酸3位点的磷酸化对于卵母细胞减数分裂中的减数分裂恢复和后期起始至关重要。
Cell Cycle. 2016;15(2):213-24. doi: 10.1080/15384101.2015.1121330. Epub 2015 Dec 4.
5
Inherent Instability of Correct Kinetochore-Microtubule Attachments during Meiosis I in Oocytes.卵母细胞减数分裂 I 中正确的动粒-微管连接的固有不稳定性。
Dev Cell. 2015 Jun 8;33(5):589-602. doi: 10.1016/j.devcel.2015.04.020. Epub 2015 May 28.
6
Dynamics of histone H3 phosphorylation at threonine 3 during meiotic maturation in mouse oocytes.小鼠卵母细胞减数分裂成熟过程中组蛋白H3苏氨酸3位点磷酸化的动力学
Biochem Biophys Res Commun. 2015 Mar 6;458(2):280-6. doi: 10.1016/j.bbrc.2015.01.099. Epub 2015 Jan 31.
7
Phosphorylation of threonine 3 on histone H3 by haspin kinase is required for meiosis I in mouse oocytes.Haspin激酶对组蛋白H3上苏氨酸3的磷酸化是小鼠卵母细胞减数分裂I所必需的。
J Cell Sci. 2014 Dec 1;127(Pt 23):5066-78. doi: 10.1242/jcs.158840. Epub 2014 Oct 14.
8
Non-canonical function of spindle assembly checkpoint proteins after APC activation reduces aneuploidy in mouse oocytes.纺锤体检验点蛋白在 APC 激活后的非典型功能可降低小鼠卵母细胞的非整倍体率。
Nat Commun. 2014 Mar 18;5:3444. doi: 10.1038/ncomms4444.
9
Overexpression of Aurora-C interferes with the spindle checkpoint by promoting the degradation of Aurora-B.极光激酶C的过表达通过促进极光激酶B的降解来干扰纺锤体检查点。
Cell Death Dis. 2014 Mar 6;5(3):e1106. doi: 10.1038/cddis.2014.37.
10
Selective disruption of aurora C kinase reveals distinct functions from aurora B kinase during meiosis in mouse oocytes.选择性破坏极光C激酶揭示了其在小鼠卵母细胞减数分裂过程中与极光B激酶不同的功能。
PLoS Genet. 2014 Feb 27;10(2):e1004194. doi: 10.1371/journal.pgen.1004194. eCollection 2014 Feb.