• 文献检索
  • 文档翻译
  • 深度研究
  • 学术资讯
  • Suppr Zotero 插件Zotero 插件
  • 邀请有礼
  • 套餐&价格
  • 历史记录
应用&插件
Suppr Zotero 插件Zotero 插件浏览器插件Mac 客户端Windows 客户端微信小程序
定价
高级版会员购买积分包购买API积分包
服务
文献检索文档翻译深度研究API 文档MCP 服务
关于我们
关于 Suppr公司介绍联系我们用户协议隐私条款
关注我们

Suppr 超能文献

核心技术专利:CN118964589B侵权必究
粤ICP备2023148730 号-1Suppr @ 2026

文献检索

告别复杂PubMed语法,用中文像聊天一样搜索,搜遍4000万医学文献。AI智能推荐,让科研检索更轻松。

立即免费搜索

文件翻译

保留排版,准确专业,支持PDF/Word/PPT等文件格式,支持 12+语言互译。

免费翻译文档

深度研究

AI帮你快速写综述,25分钟生成高质量综述,智能提取关键信息,辅助科研写作。

立即免费体验

口腔鳞状细胞癌中Foxp3、CD4、CD8细胞浸润及程序性死亡受体配体1的免疫组织化学分析

Immunohistochemical Analysis of Foxp3, CD4, CD8 Cell Infiltrates and PD-L1 in Oral Squamous Cell Carcinoma.

作者信息

Stasikowska-Kanicka Olga, Wągrowska-Danilewicz Małgorzata, Danilewicz Marian

机构信息

Department of Nephropathology, Medical University of Lodz, ul. Czechoslowacka 8/10, 92-216, Lodz, Poland.

Department of Pathomorphology, Medical University of Lodz, Lodz, Poland.

出版信息

Pathol Oncol Res. 2018 Jul;24(3):497-505. doi: 10.1007/s12253-017-0270-y. Epub 2017 Jul 1.

DOI:10.1007/s12253-017-0270-y
PMID:28669079
原文链接:https://pmc.ncbi.nlm.nih.gov/articles/PMC5972165/
Abstract

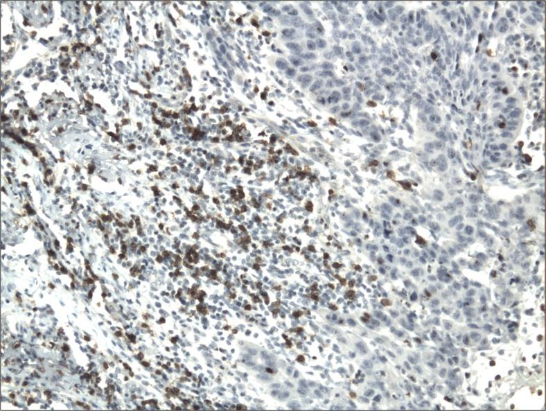
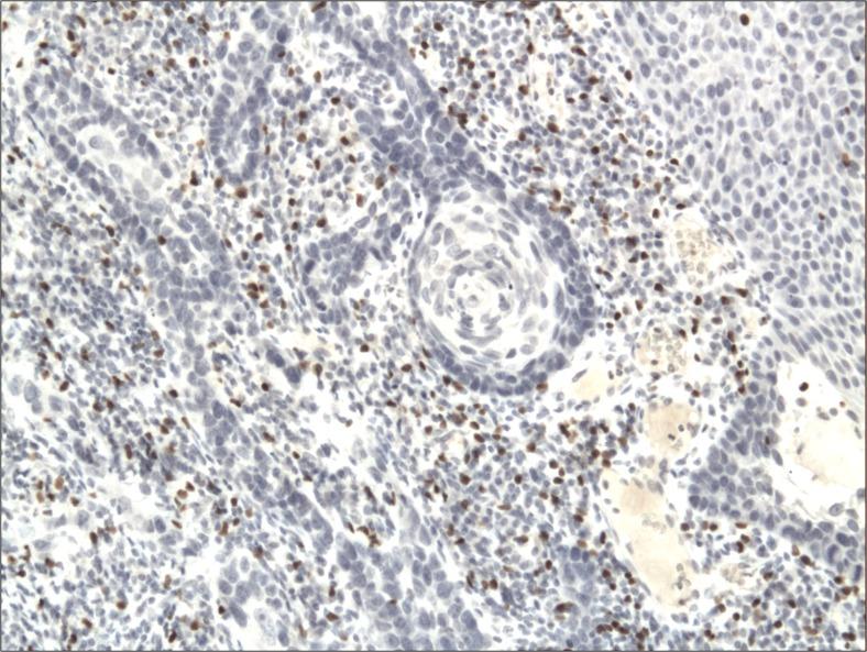
The immunoexpression of the PD-L1 and the number of immune infiltrating cells have been shown to be a significant prognostic factors in various human cancers. Immunohistochemical method was used to examine the immunoexpression of PD-L1 and number of Foxp3+, CD4+, CD8+ cells in 78 cases of oral squamous cell carcinomas (OSCCs): with better prognosis - OSCCBP (n = 37), and with poorer prognosis - OSCCPP (n = 41), and 18 cases of normal mucosa as a control. The immunoexpression of PD-L1 and the mean number of Foxp3+ cells was significantly increased in OSCCPP group in comparison to OSCCBP and control groups. The mean number of CD4+ cells was significantly increased in OSCCPP group in comparison to OSCCBP and control groups. CD8+ cells were significantly more numerous in OSCCBP group in comparison to OSCCPP and control group. In both OSCCPP and OSCCBP groups there were positive significant correlations between number of Foxp3+ and CD4+ cells. We found positive correlations between the immunoexpression of PD-L1 and numbers of Foxp3+ cells, and negative correlation between the immunoexpression of PD-L1 and numbers of CD8+ cells in both OSCCPP and OSCCBP groups. We found also significant positive correlation between immunoexpression of PD-L1 and the number of CD4+ cells in OSCCPP group. In conclusion, our findings support the hypothesis of involvement of Tregs and PD-L1 in OSCC development and progression.

摘要

PD-L1的免疫表达和免疫浸润细胞数量已被证明是多种人类癌症的重要预后因素。采用免疫组织化学方法检测78例口腔鳞状细胞癌(OSCC)中PD-L1的免疫表达以及Foxp3+、CD4+、CD8+细胞的数量:预后较好的OSCCBP组(n = 37),预后较差的OSCCPP组(n = 41),并以18例正常黏膜作为对照。与OSCCBP组和对照组相比,OSCCPP组中PD-L1的免疫表达和Foxp3+细胞的平均数量显著增加。与OSCCBP组和对照组相比,OSCCPP组中CD4+细胞的平均数量显著增加。与OSCCPP组和对照组相比,OSCCBP组中CD8+细胞数量明显更多。在OSCCPP组和OSCCBP组中,Foxp3+细胞数量与CD4+细胞数量之间均存在显著正相关。我们发现,在OSCCPP组和OSCCBP组中,PD-L1的免疫表达与Foxp3+细胞数量之间呈正相关,而PD-L1的免疫表达与CD8+细胞数量之间呈负相关。我们还发现,OSCCPP组中PD-L1的免疫表达与CD4+细胞数量之间存在显著正相关。总之,我们的研究结果支持Tregs和PD-L1参与OSCC发生发展的假说。

https://cdn.ncbi.nlm.nih.gov/pmc/blobs/91c9/5972165/af679a959892/12253_2017_270_Fig12_HTML.jpg
https://cdn.ncbi.nlm.nih.gov/pmc/blobs/91c9/5972165/194434d229c7/12253_2017_270_Fig1_HTML.jpg
https://cdn.ncbi.nlm.nih.gov/pmc/blobs/91c9/5972165/75ccc6d637a7/12253_2017_270_Fig2_HTML.jpg
https://cdn.ncbi.nlm.nih.gov/pmc/blobs/91c9/5972165/8a33bbc123bc/12253_2017_270_Fig3_HTML.jpg
https://cdn.ncbi.nlm.nih.gov/pmc/blobs/91c9/5972165/542bb7fcd29d/12253_2017_270_Fig4_HTML.jpg
https://cdn.ncbi.nlm.nih.gov/pmc/blobs/91c9/5972165/8fd2435e5f0f/12253_2017_270_Fig5_HTML.jpg
https://cdn.ncbi.nlm.nih.gov/pmc/blobs/91c9/5972165/4307085e6382/12253_2017_270_Fig6_HTML.jpg
https://cdn.ncbi.nlm.nih.gov/pmc/blobs/91c9/5972165/cd339a207cf8/12253_2017_270_Fig7_HTML.jpg
https://cdn.ncbi.nlm.nih.gov/pmc/blobs/91c9/5972165/05364a6d8dbe/12253_2017_270_Fig8_HTML.jpg
https://cdn.ncbi.nlm.nih.gov/pmc/blobs/91c9/5972165/3476dcde2a55/12253_2017_270_Fig9_HTML.jpg
https://cdn.ncbi.nlm.nih.gov/pmc/blobs/91c9/5972165/2f79508cb1db/12253_2017_270_Fig10_HTML.jpg
https://cdn.ncbi.nlm.nih.gov/pmc/blobs/91c9/5972165/c4e36c6073f0/12253_2017_270_Fig11_HTML.jpg
https://cdn.ncbi.nlm.nih.gov/pmc/blobs/91c9/5972165/af679a959892/12253_2017_270_Fig12_HTML.jpg
https://cdn.ncbi.nlm.nih.gov/pmc/blobs/91c9/5972165/194434d229c7/12253_2017_270_Fig1_HTML.jpg
https://cdn.ncbi.nlm.nih.gov/pmc/blobs/91c9/5972165/75ccc6d637a7/12253_2017_270_Fig2_HTML.jpg
https://cdn.ncbi.nlm.nih.gov/pmc/blobs/91c9/5972165/8a33bbc123bc/12253_2017_270_Fig3_HTML.jpg
https://cdn.ncbi.nlm.nih.gov/pmc/blobs/91c9/5972165/542bb7fcd29d/12253_2017_270_Fig4_HTML.jpg
https://cdn.ncbi.nlm.nih.gov/pmc/blobs/91c9/5972165/8fd2435e5f0f/12253_2017_270_Fig5_HTML.jpg
https://cdn.ncbi.nlm.nih.gov/pmc/blobs/91c9/5972165/4307085e6382/12253_2017_270_Fig6_HTML.jpg
https://cdn.ncbi.nlm.nih.gov/pmc/blobs/91c9/5972165/cd339a207cf8/12253_2017_270_Fig7_HTML.jpg
https://cdn.ncbi.nlm.nih.gov/pmc/blobs/91c9/5972165/05364a6d8dbe/12253_2017_270_Fig8_HTML.jpg
https://cdn.ncbi.nlm.nih.gov/pmc/blobs/91c9/5972165/3476dcde2a55/12253_2017_270_Fig9_HTML.jpg
https://cdn.ncbi.nlm.nih.gov/pmc/blobs/91c9/5972165/2f79508cb1db/12253_2017_270_Fig10_HTML.jpg
https://cdn.ncbi.nlm.nih.gov/pmc/blobs/91c9/5972165/c4e36c6073f0/12253_2017_270_Fig11_HTML.jpg
https://cdn.ncbi.nlm.nih.gov/pmc/blobs/91c9/5972165/af679a959892/12253_2017_270_Fig12_HTML.jpg

相似文献

1
Immunohistochemical Analysis of Foxp3, CD4, CD8 Cell Infiltrates and PD-L1 in Oral Squamous Cell Carcinoma.口腔鳞状细胞癌中Foxp3、CD4、CD8细胞浸润及程序性死亡受体配体1的免疫组织化学分析
Pathol Oncol Res. 2018 Jul;24(3):497-505. doi: 10.1007/s12253-017-0270-y. Epub 2017 Jul 1.
2
T-lymphocyte profiles differ between keratoacanthomas and invasive squamous cell carcinomas of the human skin.T 淋巴细胞谱在人类皮肤的角化棘皮瘤和侵袭性鳞状细胞癌之间存在差异。
Cancer Immunol Immunother. 2018 Jul;67(7):1147-1157. doi: 10.1007/s00262-018-2171-7. Epub 2018 May 24.
3
PD-1 Expression in Head and Neck Squamous Cell Carcinomas Derives Primarily from Functionally Anergic CD4 TILs in the Presence of PD-L1 TAMs.头颈部鳞状细胞癌中PD-1的表达主要源于在存在PD-L1肿瘤相关巨噬细胞的情况下功能失能的CD4肿瘤浸润淋巴细胞。
Cancer Res. 2017 Nov 15;77(22):6365-6374. doi: 10.1158/0008-5472.CAN-16-3453. Epub 2017 Sep 25.
4
CD8+ and CD163+ infiltrating cells and PD-L1 immunoexpression in oral leukoplakia and oral carcinoma.口腔白斑和口腔癌中CD8 +和CD163 +浸润细胞及PD-L1免疫表达情况
APMIS. 2018 Sep;126(9):732-738. doi: 10.1111/apm.12881.
5
Immunoexpression of PD-L1, CD4+ and CD8+ cell infiltrates and tumor-infiltrating lymphocytes (TILs) in the microenvironment of actinic cheilitis and lower lip squamous cell carcinoma.日光性唇炎和下唇鳞状细胞癌微环境中 PD-L1、CD4+ 和 CD8+ 细胞浸润及肿瘤浸润淋巴细胞(TILs)的免疫表达。
J Appl Oral Sci. 2022 Feb 21;30:e20210344. doi: 10.1590/1678-7757-2021-0344. eCollection 2022.
6
Immune microenvironment in ductal carcinoma in situ: a comparison with invasive carcinoma of the breast.导管原位癌的免疫微环境:与乳腺浸润性癌的比较。
Breast Cancer Res. 2020 Mar 26;22(1):32. doi: 10.1186/s13058-020-01267-w.
7
Association of infiltrating cells with microvessel density in oral squamous cell carcinoma.口腔鳞状细胞癌中浸润细胞与微血管密度的相关性
Pol J Pathol. 2017;68(1):40-48. doi: 10.5114/pjp.2017.67614.
8
Guanylate binding protein 5 is an immune-related biomarker of oral squamous cell carcinoma: A retrospective prognostic study with bioinformatic analysis.鸟苷酸结合蛋白 5 是口腔鳞状细胞癌的一种免疫相关生物标志物:一项回顾性预后研究及生物信息学分析。
Cancer Med. 2024 Jul;13(13):e7431. doi: 10.1002/cam4.7431.
9
Clinical and Biological Significance of PD-L1 Expression Within the Tumor Microenvironment of Oral Squamous Cell Carcinoma.口腔鳞状细胞癌肿瘤微环境中PD-L1表达的临床及生物学意义
Anticancer Res. 2019 Jun;39(6):3039-3046. doi: 10.21873/anticanres.13437.
10
Integration of tumour infiltrating lymphocytes, programmed cell-death ligand-1, CD8 and FOXP3 in prognostic models for triple-negative breast cancer: Analysis of 244 stage I-III patients treated with standard therapy.肿瘤浸润淋巴细胞、程序性细胞死亡配体-1、CD8 和 FOXP3 在三阴性乳腺癌预后模型中的整合:对 244 例接受标准治疗的 I-III 期患者的分析。
Eur J Cancer. 2020 Sep;136:7-15. doi: 10.1016/j.ejca.2020.05.014. Epub 2020 Jul 1.

引用本文的文献

1
Spatial Transcriptome Analysis of B7-H4 in Head and Neck Squamous Cell Carcinoma: A Novel Therapeutic Target for Anti-Immune Checkpoint Inhibitors.头颈部鳞状细胞癌中B7-H4的空间转录组分析:抗免疫检查点抑制剂的新型治疗靶点
Head Neck Pathol. 2025 Jun 30;19(1):78. doi: 10.1007/s12105-025-01815-w.
2
Investigating Tumor-Infiltrating Lymphocytes in the Microenvironment of Oral Squamous Cell Carcinoma (OSCC) and Oral Potentially Malignant Disorders (OPMDs): Can They Shift Our Perspective? A Scoping Review.口腔鳞状细胞癌(OSCC)和口腔潜在恶性疾病(OPMDs)微环境中肿瘤浸润淋巴细胞的研究:它们能改变我们的观点吗?一项范围综述
J Clin Med. 2025 Jan 18;14(2):606. doi: 10.3390/jcm14020606.
3

本文引用的文献

1
Pillars Article: Control of Regulatory T Cell Development by the Transcription Factor Foxp3. Science 2003. 299: 1057-1061.支柱文章:转录因子Foxp3对调节性T细胞发育的控制。《科学》2003年。299卷:1057 - 1061页。
J Immunol. 2017 Feb 1;198(3):981-985.
2
Patterns of PD-L1 expression and CD8 T cell infiltration in gastric adenocarcinomas and associated immune stroma.胃腺癌中PD-L1表达模式、CD8 T细胞浸润及相关免疫基质
Gut. 2017 May;66(5):794-801. doi: 10.1136/gutjnl-2015-310839. Epub 2016 Jan 22.
3
Predictive relevance of PD-L1 expression combined with CD8+ TIL density in stage III non-small cell lung cancer patients receiving concurrent chemoradiotherapy.
Targeting oral tumor microenvironment for effective therapy.
靶向口腔肿瘤微环境以实现有效治疗。
Cancer Cell Int. 2023 May 23;23(1):101. doi: 10.1186/s12935-023-02943-5.
4
Expression of PD-L1 is HPV/P16-independent in oral squamous cell carcinoma.在口腔鳞状细胞癌中,程序性死亡受体配体1(PD-L1)的表达不依赖于人乳头瘤病毒(HPV)/16型人乳头瘤病毒癌蛋白(P16)。
Heliyon. 2022 Sep 17;8(10):e10667. doi: 10.1016/j.heliyon.2022.e10667. eCollection 2022 Oct.
5
Dietary selenium sources alleviate immune challenge induced by potentially through improving the host immune response and gut microbiota in laying hens.膳食硒源通过改善宿主免疫反应和蛋鸡肠道微生物群来缓解潜在的免疫挑战。
Front Immunol. 2022 Aug 9;13:928865. doi: 10.3389/fimmu.2022.928865. eCollection 2022.
6
T-Cell Infiltration and Immune Checkpoint Expression Increase in Oral Cavity Premalignant and Malignant Disorders.T细胞浸润和免疫检查点表达在口腔癌前病变和恶性病变中增加。
Biomedicines. 2022 Jul 30;10(8):1840. doi: 10.3390/biomedicines10081840.
7
An enhancer variant associated with breast cancer susceptibility in Black women regulates TNFSF10 expression and antitumor immunity in triple-negative breast cancer.一个与黑人女性乳腺癌易感性相关的增强子变异体调控三阴性乳腺癌中的 TNFSF10 表达和抗肿瘤免疫。
Hum Mol Genet. 2023 Jan 1;32(1):139-150. doi: 10.1093/hmg/ddac168.
8
Validation of an Accurate Automated Multiplex Immunofluorescence Method for Immuno-Profiling Melanoma.一种用于黑色素瘤免疫分析的准确自动化多重免疫荧光方法的验证
Front Mol Biosci. 2022 May 19;9:810858. doi: 10.3389/fmolb.2022.810858. eCollection 2022.
9
The B7 family molecules in oral squamous cell carcinoma: a systematic review. Part I: B7-H1 (PD-L1) and B7-DC (PD-L2).口腔鳞状细胞癌中的B7家族分子:系统评价。第一部分:B7-H1(PD-L1)和B7-DC(PD-L2)。
Postepy Dermatol Alergol. 2022 Apr;39(2):265-274. doi: 10.5114/ada.2020.98522. Epub 2020 Oct 13.
10
Identification of lncRNA Signature of Tumor-Infiltrating T Lymphocytes With Potential Implications for Prognosis and Chemotherapy of Head and Neck Squamous Cell Carcinoma.肿瘤浸润性T淋巴细胞lncRNA特征的鉴定及其对头颈部鳞状细胞癌预后和化疗的潜在影响
Front Pharmacol. 2022 Feb 15;12:795205. doi: 10.3389/fphar.2021.795205. eCollection 2021.
在接受同步放化疗的 III 期非小细胞肺癌患者中,PD-L1 表达与 CD8 + 肿瘤浸润淋巴细胞密度联合的预测相关性
Eur J Cancer. 2016 Mar;55:7-14. doi: 10.1016/j.ejca.2015.11.020. Epub 2016 Jan 6.
4
High PD-L1 Expression Correlates with Metastasis and Poor Prognosis in Oral Squamous Cell Carcinoma.高程序性死亡受体配体1(PD-L1)表达与口腔鳞状细胞癌的转移及不良预后相关。
PLoS One. 2015 Nov 12;10(11):e0142656. doi: 10.1371/journal.pone.0142656. eCollection 2015.
5
Analysis of CD8+ Treg cells in patients with ovarian cancer: a possible mechanism for immune impairment.卵巢癌患者CD8+调节性T细胞分析:免疫损伤的一种可能机制
Cell Mol Immunol. 2015 Sep;12(5):580-91. doi: 10.1038/cmi.2015.57. Epub 2015 Jul 13.
6
Classifying Cancers Based on T-cell Infiltration and PD-L1.基于T细胞浸润和PD-L1对癌症进行分类
Cancer Res. 2015 Jun 1;75(11):2139-45. doi: 10.1158/0008-5472.CAN-15-0255.
7
Differential regulation and function of tumor-infiltrating T cells in different stages of breast cancer patients.乳腺癌患者不同阶段肿瘤浸润性T细胞的差异调控及功能
Tumour Biol. 2015 Sep;36(10):7907-13. doi: 10.1007/s13277-015-3507-y. Epub 2015 May 8.
8
Induction of antigen-specific immunity with a vaccine targeting NY-ESO-1 to the dendritic cell receptor DEC-205.用针对树突状细胞受体 DEC-205 的 NY-ESO-1 疫苗诱导抗原特异性免疫。
Sci Transl Med. 2014 Apr 16;6(232):232ra51. doi: 10.1126/scitranslmed.3008068.
9
Cancer statistics, 2014.癌症统计数据,2014 年。
CA Cancer J Clin. 2014 Jan-Feb;64(1):9-29. doi: 10.3322/caac.21208. Epub 2014 Jan 7.
10
Programmed death ligand-1 expression in non-small cell lung cancer.程序性死亡配体-1 在非小细胞肺癌中的表达。
Lab Invest. 2014 Jan;94(1):107-16. doi: 10.1038/labinvest.2013.130. Epub 2013 Nov 11.