Suppr超能文献

一例罕见的伴有脊柱转移的肺肉瘤样癌病例及文献复习

A Rare Case of Sarcomatoid Carcinoma of the Lung with Spine Metastasis, Including a Literature Review.

作者信息

Arshad Hafiza Sobia, Dudekula Rizwan Ahmed, Niazi Masooma, Malik Sandeep, Khaja Misbahuddin

机构信息

Division of Pulmonary and Critical Care Medicine, Bronx Lebanon Hospital Center, Affiliated with Icahn School of Medicine at Mount Sinai, Bronx, NY, USA.

Department of Medicine, Bronx Lebanon Hospital Center, Affiliated with Icahn School of Medicine at Mount Sinai, Bronx, NY, USA.

出版信息

Am J Case Rep. 2017 Jul 7;18:760-765. doi: 10.12659/ajcr.904584.

Abstract

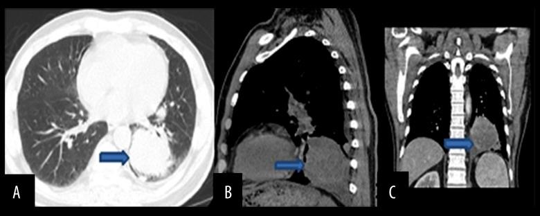
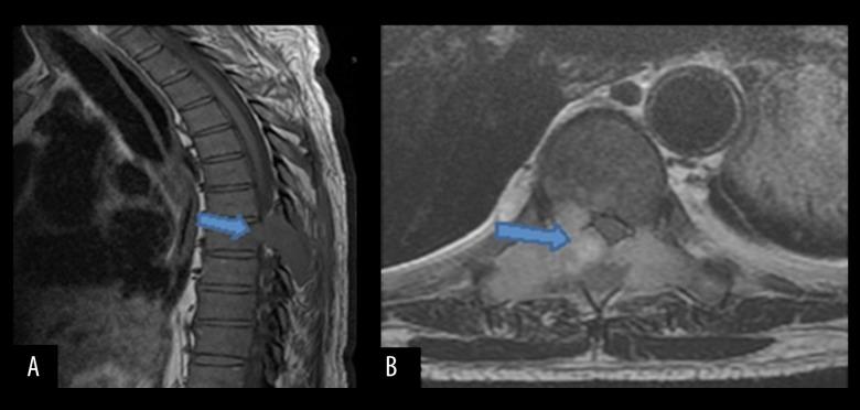
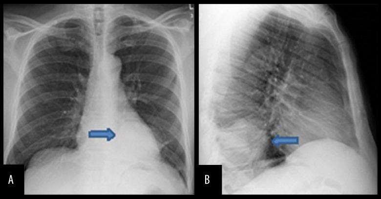
BACKGROUND Sarcomatoid carcinoma is a rare, aggressive, malignant cancer composed of sarcoma and sarcoma-like components, and can occur in different organs such as the thyroid gland, bone, skin, breast, pancreas, liver, urinary tract, and lung. Pulmonary sarcomatoid carcinoma accounts for only a small percentage of lung cancers and has histological variants that include pleomorphic carcinoma, giant cell carcinoma, spindle cell carcinoma, carcinosarcoma, and pulmonary blastoma. CASE REPORT Here, we present a case of sarcomatoid carcinoma in a 63-year-old HIV-positive Hispanic male who presented with back pain, dry cough, and weight loss. A CT scan of his chest showed an ovoid mass in the lower lobe of the left lung, and an MRI of the spine showed a left lateral paraspinal soft tissue mass causing central canal stenosis and mild cord compression. The patient underwent laminectomy and resection of the spinal mass. A transthoracic needle biopsy of the lung and spinal masses had similar histopathology, and were indicative of sarcomatoid carcinoma. CONCLUSIONS We report a rare case of sarcomatoid carcinoma involving both the lung and spinal cord in the same patient. Sarcomatoid carcinomas of the lung have poor prognosis and are aggressive cancers. Moreover, our case also had the co-occurrence of HIV and sarcomatoid carcinoma.

摘要

背景

肉瘤样癌是一种罕见的侵袭性恶性肿瘤,由肉瘤和肉瘤样成分组成,可发生于不同器官,如甲状腺、骨骼、皮肤、乳腺、胰腺、肝脏、泌尿道和肺部。肺肉瘤样癌仅占肺癌的一小部分,具有多种组织学变异型,包括多形性癌、巨细胞癌、梭形细胞癌、癌肉瘤和肺母细胞瘤。病例报告:在此,我们报告一例63岁的HIV阳性西班牙裔男性肉瘤样癌患者,该患者出现背痛、干咳和体重减轻症状。胸部CT扫描显示左肺下叶有一个椭圆形肿块,脊柱MRI显示左侧椎旁软组织肿块,导致中央管狭窄和轻度脊髓受压。患者接受了椎板切除术和脊柱肿块切除术。对肺部和脊柱肿块进行的经胸针吸活检具有相似的组织病理学表现,提示为肉瘤样癌。结论:我们报告了一例罕见的同一患者同时发生肺和脊髓肉瘤样癌的病例。肺肉瘤样癌预后较差,是侵袭性癌症。此外,我们的病例还同时存在HIV和肉瘤样癌。

https://cdn.ncbi.nlm.nih.gov/pmc/blobs/cca4/5510997/ad6393a58823/amjcaserep-18-760-g001.jpg

文献AI研究员

20分钟写一篇综述,助力文献阅读效率提升50倍。

立即体验

用中文搜PubMed

大模型驱动的PubMed中文搜索引擎

马上搜索

文档翻译

学术文献翻译模型,支持多种主流文档格式。

立即体验