• 文献检索
  • 文档翻译
  • 深度研究
  • 学术资讯
  • Suppr Zotero 插件Zotero 插件
  • 邀请有礼
  • 套餐&价格
  • 历史记录
应用&插件
Suppr Zotero 插件Zotero 插件浏览器插件Mac 客户端Windows 客户端微信小程序
定价
高级版会员购买积分包购买API积分包
服务
文献检索文档翻译深度研究API 文档MCP 服务
关于我们
关于 Suppr公司介绍联系我们用户协议隐私条款
关注我们

Suppr 超能文献

核心技术专利:CN118964589B侵权必究
粤ICP备2023148730 号-1Suppr @ 2026

文献检索

告别复杂PubMed语法,用中文像聊天一样搜索,搜遍4000万医学文献。AI智能推荐,让科研检索更轻松。

立即免费搜索

文件翻译

保留排版,准确专业,支持PDF/Word/PPT等文件格式,支持 12+语言互译。

免费翻译文档

深度研究

AI帮你快速写综述,25分钟生成高质量综述,智能提取关键信息,辅助科研写作。

立即免费体验

晚期乳房植入物血清肿的细胞学诊断特征:从反应性到间变性大细胞淋巴瘤。

Cytological diagnostic features of late breast implant seromas: From reactive to anaplastic large cell lymphoma.

作者信息

Di Napoli Arianna, Pepe Giuseppina, Giarnieri Enrico, Cippitelli Claudia, Bonifacino Adriana, Mattei Mauro, Martelli Maurizio, Falasca Carlo, Cox Maria Christina, Santino Iolanda, Giovagnoli Maria Rosaria

机构信息

Department of Clinical and Molecular Medicine, Sapienza University, Pathology Unit, Sant'Andrea Hospital, Roma, Italy.

Department of Clinical and Molecular Medicine, Sapienza University, Cytology Unit, Sant'Andrea Hospital, Roma, Italy.

出版信息

PLoS One. 2017 Jul 17;12(7):e0181097. doi: 10.1371/journal.pone.0181097. eCollection 2017.

DOI:10.1371/journal.pone.0181097
PMID:28715445
原文链接:https://pmc.ncbi.nlm.nih.gov/articles/PMC5513491/
Abstract

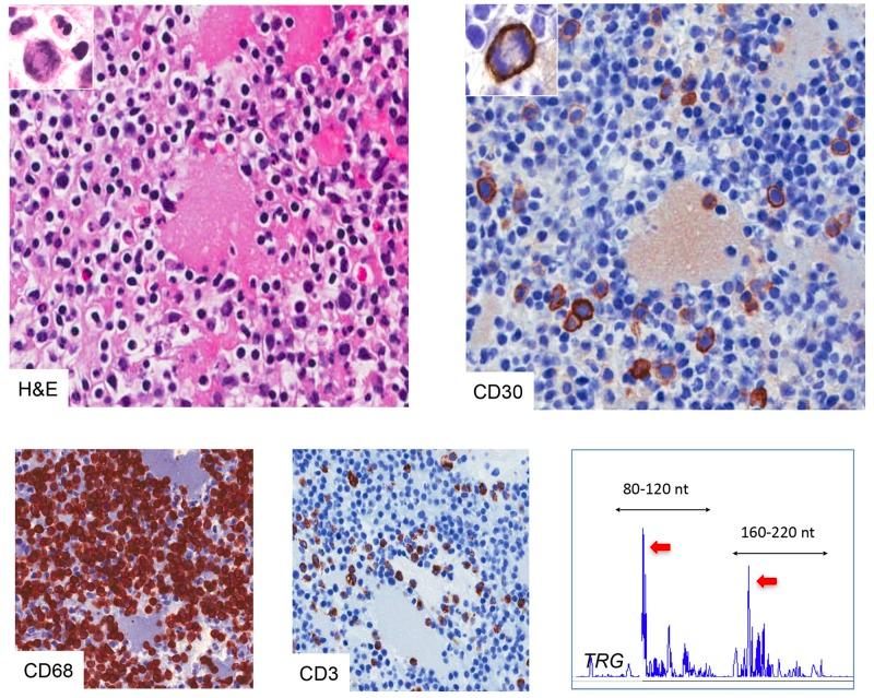
Late breast implant seroma may be the presentation of a breast implant-associated anaplastic large cell lymphoma (BI-ALCL), which claims for a prompt recognition. However, BI-ALCL diagnosis on fine-needle aspiration (FNA) might be challenging for pathologists lacking experience with peri-implant breast effusions. Sixty-seven late breast implant seromas collected by FNA from 50 patients were evaluated by Papanicolaou smear stain and immunocytochemistry on cell blocks. A diagnostic algorithm based on the cellular composition, cell morphology and percentage of CD30+ cells was developed. Histological evaluation of the corresponding peri-prosthetic capsules was also performed. Most of the effusions (91% of the samples) were classified as reactive and 9% as BI-ALCL. In the BI-ALCL cases, medium-to-large atypical cells expressing CD30 represented more than 70% of the cellularity, whereas in in the reactive effusions CD30+ elements were extremely rare (<5%) and consisted of non-atypical elements. The reactive effusions were categorized into three patterns: i) acute infiltrate with prominent neutrophilic component (33% of the samples); ii) mixed infiltrate characterized by a variable number of neutrophils, lymphocytes and macrophages (30% of the samples); iii) chronic infiltrate composed predominantly of T lymphocytes or macrophages with only sporadic granulocytes (37% of the samples). The inflammatory cytological patterns were consistent with the histology of the corresponding capsules. Our results indicate that cytological analysis of late breast implant effusions, supported by the knowledge of the heterogeneous cytomorphological spectrum of late seromas, is a valuable approach for the early recognition of BI-ALCL.

摘要

晚期乳房植入物血清肿可能是乳房植入物相关间变性大细胞淋巴瘤(BI-ALCL)的表现,需要及时识别。然而,对于缺乏植入物周围乳腺积液经验的病理学家来说,通过细针穿刺抽吸(FNA)诊断BI-ALCL可能具有挑战性。对50例患者通过FNA收集的67例晚期乳房植入物血清肿进行巴氏涂片染色和细胞块免疫细胞化学评估。基于细胞组成、细胞形态和CD30+细胞百分比制定了诊断算法。还对相应的假体周围包膜进行了组织学评估(组织学评价)。大多数积液(91%的样本)被分类为反应性的,9%为BI-ALCL。在BI-ALCL病例中,表达CD30的中到大的非典型细胞占细胞总数的70%以上,而在反应性积液中,CD30+成分极为罕见(<5%),且由非非典型成分组成。反应性积液分为三种模式:i)以明显中性粒细胞成分为特征的急性浸润(33%的样本);ii)以数量不等的中性粒细胞、淋巴细胞和巨噬细胞为特征的混合浸润(30%的样本);iii)主要由T淋巴细胞或巨噬细胞组成、仅有散在粒细胞的慢性浸润(37%的样本)。炎症细胞学模式与相应包膜的组织学一致。我们的结果表明,晚期乳房植入物积液的细胞学分析,辅以对晚期血清肿异质细胞形态谱的了解,是早期识别BI-ALCL的一种有价值的方法。

https://cdn.ncbi.nlm.nih.gov/pmc/blobs/1d4f/5513491/c1344ea4848f/pone.0181097.g009.jpg
https://cdn.ncbi.nlm.nih.gov/pmc/blobs/1d4f/5513491/6a20c44222b5/pone.0181097.g001.jpg
https://cdn.ncbi.nlm.nih.gov/pmc/blobs/1d4f/5513491/4a137fcbeb5c/pone.0181097.g002.jpg
https://cdn.ncbi.nlm.nih.gov/pmc/blobs/1d4f/5513491/28c462672353/pone.0181097.g003.jpg
https://cdn.ncbi.nlm.nih.gov/pmc/blobs/1d4f/5513491/da40d8e37e81/pone.0181097.g004.jpg
https://cdn.ncbi.nlm.nih.gov/pmc/blobs/1d4f/5513491/2d22d4dc435d/pone.0181097.g005.jpg
https://cdn.ncbi.nlm.nih.gov/pmc/blobs/1d4f/5513491/8767241510d5/pone.0181097.g006.jpg
https://cdn.ncbi.nlm.nih.gov/pmc/blobs/1d4f/5513491/bee788eadb25/pone.0181097.g007.jpg
https://cdn.ncbi.nlm.nih.gov/pmc/blobs/1d4f/5513491/bbe8be85ed13/pone.0181097.g008.jpg
https://cdn.ncbi.nlm.nih.gov/pmc/blobs/1d4f/5513491/c1344ea4848f/pone.0181097.g009.jpg
https://cdn.ncbi.nlm.nih.gov/pmc/blobs/1d4f/5513491/6a20c44222b5/pone.0181097.g001.jpg
https://cdn.ncbi.nlm.nih.gov/pmc/blobs/1d4f/5513491/4a137fcbeb5c/pone.0181097.g002.jpg
https://cdn.ncbi.nlm.nih.gov/pmc/blobs/1d4f/5513491/28c462672353/pone.0181097.g003.jpg
https://cdn.ncbi.nlm.nih.gov/pmc/blobs/1d4f/5513491/da40d8e37e81/pone.0181097.g004.jpg
https://cdn.ncbi.nlm.nih.gov/pmc/blobs/1d4f/5513491/2d22d4dc435d/pone.0181097.g005.jpg
https://cdn.ncbi.nlm.nih.gov/pmc/blobs/1d4f/5513491/8767241510d5/pone.0181097.g006.jpg
https://cdn.ncbi.nlm.nih.gov/pmc/blobs/1d4f/5513491/bee788eadb25/pone.0181097.g007.jpg
https://cdn.ncbi.nlm.nih.gov/pmc/blobs/1d4f/5513491/bbe8be85ed13/pone.0181097.g008.jpg
https://cdn.ncbi.nlm.nih.gov/pmc/blobs/1d4f/5513491/c1344ea4848f/pone.0181097.g009.jpg

相似文献

1
Cytological diagnostic features of late breast implant seromas: From reactive to anaplastic large cell lymphoma.晚期乳房植入物血清肿的细胞学诊断特征:从反应性到间变性大细胞淋巴瘤。
PLoS One. 2017 Jul 17;12(7):e0181097. doi: 10.1371/journal.pone.0181097. eCollection 2017.
2
Cytological Diagnosis of Bilateral Breast Implant-Associated Lymphoma of the ALK-Negative Anaplastic Large-Cell Type. Clinical Implications of Peri-Implant Breast Seroma Cytological Reporting.间变性淋巴瘤激酶阴性间变性大细胞型双侧乳房植入物相关淋巴瘤的细胞学诊断。植入物周围乳腺血清肿细胞学报告的临床意义。
Diagn Cytopathol. 2016 Jul;44(7):623-7. doi: 10.1002/dc.23485. Epub 2016 Apr 15.
3
Anaplastic large-cell lymphoma associated with breast implants: a unique entity within the spectrum of peri-implant effusions.与乳房植入物相关的间变性大细胞淋巴瘤:植入物周围积液谱系中的一种独特实体。
Diagn Cytopathol. 2014 Nov;42(11):929-38. doi: 10.1002/dc.23152. Epub 2014 Mar 31.
4
IL-10, IL-13, Eotaxin and IL-10/IL-6 ratio distinguish breast implant-associated anaplastic large-cell lymphoma from all types of benign late seromas.白细胞介素-10、白细胞介素-13、嗜酸性粒细胞趋化因子和白细胞介素-10/白细胞介素-6 比值可将与假体相关的间变大细胞淋巴瘤与所有类型的良性晚期血清肿区分开来。
Cancer Immunol Immunother. 2021 May;70(5):1379-1392. doi: 10.1007/s00262-020-02778-3. Epub 2020 Nov 4.
5
CD30+ T Cells in Late Seroma May Not Be Diagnostic of Breast Implant-Associated Anaplastic Large Cell Lymphoma.晚期血清肿中的CD30+ T细胞可能无法诊断为乳房植入物相关间变性大细胞淋巴瘤。
Aesthet Surg J. 2017 Jul 1;37(7):771-775. doi: 10.1093/asj/sjw286.
6
Diagnosis of anaplastic large cell lymphoma on late peri-implant breast seroma: Management of cytological sample by an integrated approach.晚期植入物周围乳腺血清肿中间变性大细胞淋巴瘤的诊断:采用综合方法处理细胞学样本
Cytopathology. 2018 Jun;29(3):294-299. doi: 10.1111/cyt.12541. Epub 2018 Apr 6.
7
Flow cytometry of ALK-negative anaplastic large cell lymphoma of breast implant-associated effusion and capsular tissue.乳腺植入物相关积液和包膜组织中ALK阴性间变性大细胞淋巴瘤的流式细胞术
Cytometry B Clin Cytom. 2015 Jan;88(1):58-63. doi: 10.1002/cyto.b.21178. Epub 2014 Jul 11.
8
Variable presentation of anaplastic large-cell lymphoma in patients with breast implants.乳房植入物患者间变性大细胞淋巴瘤的可变表现。
ANZ J Surg. 2017 Oct;87(10):789-794. doi: 10.1111/ans.13074. Epub 2015 Apr 1.
9
Achieving Reliable Diagnosis in Late Breast Implant Seromas: From Reactive to Anaplastic Large Cell Lymphoma.晚期乳房假体积血综合征中可靠诊断的实现:从反应性间变大细胞淋巴瘤到间变大细胞淋巴瘤。
Plast Reconstr Surg. 2019 Mar;143(3S A Review of Breast Implant-Associated Anaplastic Large Cell Lymphoma):15S-22S. doi: 10.1097/PRS.0000000000005565.
10
Detection of a subset of CD30+ anaplastic large cell lymphoma by interphase fluorescence in situ hybridization.通过间期荧光原位杂交检测CD30+间变性大细胞淋巴瘤的一个亚群
Diagn Cytopathol. 2003 Aug;29(2):61-6. doi: 10.1002/dc.10315.

引用本文的文献

1
Molecular Insights into the Diagnosis of Anaplastic Large Cell Lymphoma: Beyond Morphology and Immunophenotype.间变性大细胞淋巴瘤诊断的分子见解:超越形态学和免疫表型
Int J Mol Sci. 2025 Jun 19;26(12):5871. doi: 10.3390/ijms26125871.
2
Breast Implant Silicones and B Cell-Mediated Immune Responses: A Systematic Review of Literature.乳房植入硅胶与B细胞介导的免疫反应:文献系统综述
JPRAS Open. 2024 Jul 8;41:353-367. doi: 10.1016/j.jpra.2024.06.013. eCollection 2024 Sep.
3
Current State of Evidence-Based Long-Term Monitoring Protocols for Breast Plastic Surgery Patients.

本文引用的文献

1
CD30+ T Cells in Late Seroma May Not Be Diagnostic of Breast Implant-Associated Anaplastic Large Cell Lymphoma.晚期血清肿中的CD30+ T细胞可能无法诊断为乳房植入物相关间变性大细胞淋巴瘤。
Aesthet Surg J. 2017 Jul 1;37(7):771-775. doi: 10.1093/asj/sjw286.
2
Targeted next generation sequencing of breast implant-associated anaplastic large cell lymphoma reveals mutations in JAK/STAT signalling pathway genes, TP53 and DNMT3A.乳房植入物相关间变性大细胞淋巴瘤的靶向二代测序揭示了JAK/STAT信号通路基因、TP53和DNMT3A中的突变。
Br J Haematol. 2018 Mar;180(5):741-744. doi: 10.1111/bjh.14431. Epub 2016 Nov 10.
3
Flow Cytometry and Effusions in Lymphoproliferative Processes and Other Hematologic Neoplasias.
基于证据的乳房整形手术患者长期监测方案的现状。
Ann Surg Oncol. 2024 Nov;31(12):8372-8382. doi: 10.1245/s10434-024-16003-3. Epub 2024 Aug 5.
4
Role of flow cytometric immunophenotyping in the diagnosis of breast implant-associated anaplastic large cell lymphoma: A 6-year, single-institution experience.流式细胞术免疫表型分析在诊断乳房植入物相关间变大细胞淋巴瘤中的作用:一项 6 年单机构经验。
Cytometry B Clin Cytom. 2024 Mar;106(2):117-125. doi: 10.1002/cyto.b.22162. Epub 2024 Jan 31.
5
Incidental Bystander or Essential Culprit: A Systematic Review of Bacterial Significance in the Pathogenesis of Breast Implant-Associated Anaplastic Large Cell Lymphoma.偶然旁观者还是主要元凶:假体相关性间变大细胞淋巴瘤发病机制中细菌作用的系统评价。
Int J Mol Sci. 2023 Dec 26;25(1):355. doi: 10.3390/ijms25010355.
6
CD30 Lateral Flow and Enzyme-Linked Immunosorbent Assays for Detection of BIA-ALCL: A Pilot Study.用于检测乳房植入物相关间变性大细胞淋巴瘤的CD30侧向流动和酶联免疫吸附测定:一项试点研究。
Cancers (Basel). 2023 Oct 25;15(21):5128. doi: 10.3390/cancers15215128.
7
Implant replacement and anaplastic large cell lymphoma associated with breast implants: a quantitative analysis.植入物置换与乳房植入物相关的间变性大细胞淋巴瘤:一项定量分析。
Front Oncol. 2023 Oct 19;13:1202733. doi: 10.3389/fonc.2023.1202733. eCollection 2023.
8
The evaluation of the delayed swollen breast in patients with a history of breast implants.对有乳房植入物病史患者延迟性乳房肿胀的评估。
Front Oncol. 2023 Jul 5;13:1174173. doi: 10.3389/fonc.2023.1174173. eCollection 2023.
9
Breast implant associated anaplastic large cell lymphoma: Evidence for an efficient diagnostic workup.乳房植入物相关间变大细胞淋巴瘤:有效的诊断方法学评估。
Tumori. 2023 Oct;109(5):458-465. doi: 10.1177/03008916231157837. Epub 2023 Mar 20.
10
Breast Implanted-Associated Anaplastic Large Cell Lymphoma: A Case of Advanced Disease with Flow Cytometric Findings.乳腺植入物相关间变大细胞淋巴瘤:一例晚期疾病并流式细胞术检查结果。
Int J Surg Pathol. 2023 Jun;31(4):464-471. doi: 10.1177/10668969221102551. Epub 2022 Nov 10.
流式细胞术与淋巴增殖性疾病及其他血液系统肿瘤中的积液
Acta Cytol. 2016;60(4):354-364. doi: 10.1159/000448325. Epub 2016 Aug 30.
4
Whole exome sequencing reveals activating JAK1 and STAT3 mutations in breast implant-associated anaplastic large cell lymphoma anaplastic large cell lymphoma.全外显子组测序揭示了乳房植入物相关间变性大细胞淋巴瘤中间变性大细胞淋巴瘤的JAK1和STAT3激活突变。
Haematologica. 2016 Sep;101(9):e387-90. doi: 10.3324/haematol.2016.146118. Epub 2016 May 19.
5
Cytological Diagnosis of Bilateral Breast Implant-Associated Lymphoma of the ALK-Negative Anaplastic Large-Cell Type. Clinical Implications of Peri-Implant Breast Seroma Cytological Reporting.间变性淋巴瘤激酶阴性间变性大细胞型双侧乳房植入物相关淋巴瘤的细胞学诊断。植入物周围乳腺血清肿细胞学报告的临床意义。
Diagn Cytopathol. 2016 Jul;44(7):623-7. doi: 10.1002/dc.23485. Epub 2016 Apr 15.
6
The 2016 revision of the World Health Organization classification of lymphoid neoplasms.《世界卫生组织淋巴组织肿瘤分类(2016年修订版)》
Blood. 2016 May 19;127(20):2375-90. doi: 10.1182/blood-2016-01-643569. Epub 2016 Mar 15.
7
Bacterial Biofilm Infection Detected in Breast Implant-Associated Anaplastic Large-Cell Lymphoma.在乳房植入物相关间变性大细胞淋巴瘤中检测到细菌生物膜感染。
Plast Reconstr Surg. 2016 Jun;137(6):1659-1669. doi: 10.1097/PRS.0000000000002010.
8
Complete Surgical Excision Is Essential for the Management of Patients With Breast Implant-Associated Anaplastic Large-Cell Lymphoma.完整手术切除对于乳房植入物相关间变性大细胞淋巴瘤患者的治疗至关重要。
J Clin Oncol. 2016 Jan 10;34(2):160-8. doi: 10.1200/JCO.2015.63.3412. Epub 2015 Nov 30.
9
Breast implant-associated anaplastic large cell lymphoma: two distinct clinicopathological variants with different outcomes.乳房植入物相关间变性大细胞淋巴瘤:两种具有不同预后的独特临床病理变体。
Ann Oncol. 2016 Feb;27(2):306-14. doi: 10.1093/annonc/mdv575. Epub 2015 Nov 23.
10
Breast Implant-Associated Anaplastic Large Cell Lymphoma: Proposal for a Monitoring Protocol.乳房植入物相关间变性大细胞淋巴瘤:监测方案建议
Plast Reconstr Surg. 2015 Aug;136(2):144e-151e. doi: 10.1097/PRS.0000000000001416.