Suppr超能文献

从果实中提取的鬼臼毒素通过促进附睾上皮细胞凋亡抑制大鼠精子成熟和生育能力。

Podophyllotoxin Extracted from Fruit Inhibits Rat Sperm Maturation and Fertility by Promoting Epididymal Epithelial Cell Apoptosis.

作者信息

Xie Shuwu, Li Guoting, Qu Lijuan, Zhong Ruihua, Chen Ping, Lu Zhigang, Zhou Jieyun, Guo Xiangjie, Li Zhao, Ma Aying, Qian Yueying, Zhu Yan

机构信息

Laboratory of Reproductive Pharmacology, Key Lab of Reproduction Regulation of NPFPC, SIPPR, IRD, Fudan University, Shanghai, China.

Department of Laboratory Medicine, Shanghai Eighth People's Hospital, Shanghai, China.

出版信息

Evid Based Complement Alternat Med. 2017;2017:6958982. doi: 10.1155/2017/6958982. Epub 2017 Jul 4.

Abstract

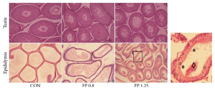
This study aimed to investigate the antifertility effect of fruit on male rats and its possible mechanism, and hence it might be developed as a potential nonhormonal male contraceptive. Male rats were intragastrically fed for consecutive 8-week and 4-week recovery with the fruit of , and sperm maturation, serum testosterone level, and histopathology were analyzed. Epididymal epithelial cell culture was prepared for detection of podophyllotoxin activities. Furthermore, cell proliferation, transmission electron microscopy, Annexin V/Propidium iodide, TUNEL, RT-PCR, ELISA, and western blotting were examined. The results showed that rat sperm motility and fertility were remarkably declined after feeding the fruit. Moreover, the fruit targeted the epididymis rather than the testis. After 4-week recovery, more than half of the male rats resumed normal fertility. It was found that podophyllotoxin significantly inhibited epididymal epithelial cell proliferation, promoted cell apoptosis, and increased the mRNA and protein levels of TNF- and the expression levels of cytochrome c, caspase-8, caspase-9, and caspase-3. Our findings suggest that the fruit of could inhibit male rat sperm maturation and fertility. The potential mechanism might be related to podophyllotoxin, inducing epididymal epithelial cell apoptosis through TNF- and caspase signaling pathway.

摘要

本研究旨在探讨[水果名称]对雄性大鼠的抗生育作用及其可能机制,以期将其开发为一种潜在的非激素男性避孕药。将雄性大鼠连续8周灌胃给予[水果名称],并进行4周恢复期,然后分析精子成熟度、血清睾酮水平和组织病理学。制备附睾上皮细胞培养物以检测鬼臼毒素活性。此外,还检测了细胞增殖、透射电子显微镜、膜联蛋白V/碘化丙啶、TUNEL、RT-PCR、ELISA和蛋白质印迹。结果表明,喂食该水果后,大鼠精子活力和生育能力显著下降。此外,该水果作用于附睾而非睾丸。经过4周的恢复期,超过一半的雄性大鼠恢复了正常生育能力。研究发现,鬼臼毒素显著抑制附睾上皮细胞增殖,促进细胞凋亡,并增加TNF-的mRNA和蛋白质水平以及细胞色素c、半胱天冬酶-8、半胱天冬酶-9和半胱天冬酶-3的表达水平。我们的研究结果表明,[水果名称]可抑制雄性大鼠精子成熟和生育能力。潜在机制可能与鬼臼毒素有关,通过TNF-和半胱天冬酶信号通路诱导附睾上皮细胞凋亡。

https://cdn.ncbi.nlm.nih.gov/pmc/blobs/5d29/5514346/7fbee2bb0ddd/ECAM2017-6958982.001.jpg

文献AI研究员

20分钟写一篇综述,助力文献阅读效率提升50倍。

立即体验

用中文搜PubMed

大模型驱动的PubMed中文搜索引擎

马上搜索

文档翻译

学术文献翻译模型,支持多种主流文档格式。

立即体验