• 文献检索
  • 文档翻译
  • 深度研究
  • 学术资讯
  • Suppr Zotero 插件Zotero 插件
  • 邀请有礼
  • 套餐&价格
  • 历史记录
应用&插件
Suppr Zotero 插件Zotero 插件浏览器插件Mac 客户端Windows 客户端微信小程序
定价
高级版会员购买积分包购买API积分包
服务
文献检索文档翻译深度研究API 文档MCP 服务
关于我们
关于 Suppr公司介绍联系我们用户协议隐私条款
关注我们

Suppr 超能文献

核心技术专利:CN118964589B侵权必究
粤ICP备2023148730 号-1Suppr @ 2026

文献检索

告别复杂PubMed语法,用中文像聊天一样搜索,搜遍4000万医学文献。AI智能推荐,让科研检索更轻松。

立即免费搜索

文件翻译

保留排版,准确专业,支持PDF/Word/PPT等文件格式,支持 12+语言互译。

免费翻译文档

深度研究

AI帮你快速写综述,25分钟生成高质量综述,智能提取关键信息,辅助科研写作。

立即免费体验

泛醇 - 细胞色素c还原酶核心蛋白1可能参与二氮嗪诱导的预处理延迟性心脏保护作用。

Ubiquinol-cytochrome c reductase core protein 1 may be involved in delayed cardioprotection from preconditioning induced by diazoxide.

作者信息

Long Zonghong, Duan Guangyou, Li Hong, Yi Tingting, Wu Xiaoxiao, Chen Feng, Wu Zhuoxi, Gao Yuqi

机构信息

Department of Anesthesiology, Xinqiao Hospital, Third Military Medical University, Chongqing, China.

Key Laboratory of High Altitude Medicine, Third Military Medical University, Chongqing, China.

出版信息

PLoS One. 2017 Jul 27;12(7):e0181903. doi: 10.1371/journal.pone.0181903. eCollection 2017.

DOI:10.1371/journal.pone.0181903
PMID:28750029
原文链接:https://pmc.ncbi.nlm.nih.gov/articles/PMC5531499/
Abstract

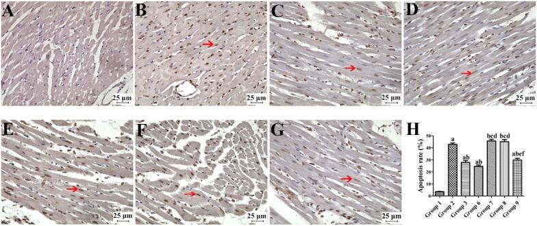
This study aimed to use long-term diazoxide treatment to establish a loss-of-cardioprotection model and then perform proteomics analysis to explore which proteins of mitochondrial inner membrane (MIM) are potentially involved in delayed cardioprotection. Rats received 1 to 8 weeks of diazoxide treatments (20 mg•kg-1•d-1) to establish a loss-of-cardioprotection model in different groups. Detection of serum cTnI levels and cell apoptosis assays in heart tissue were performed. Then, rats MIM after 0, 4 and 6 weeks of diazoxide treatment was isolated and proteomics analysis was performed. An invitro model of H9C2 cells was performed to explore the effects of targeted protein on delayed cardioprotection. The effect of delayed cardioprotection by diazoxide preconditioning disappeared when diazoxide treatments were given for six weeks or longer. Ubiquinol-cytochrome c reductase core protein 1 (UQCRC1) was identified in the proteomics analysis. UQCRC1 expression was upregulated by diazoxide treatment in H9C2 cells, and UQCRC1 down-regulation could increase the lactate dehydrogenase release and apoptosis rate after injury induced by oxygen glucose deprivation. These results showed that UQCRC1 might contribute to the loss-of-cardioprotection model induced by long-term diazoxide treatment and play a role in delayed cardioprotection.

摘要

本研究旨在通过长期使用二氮嗪治疗建立心脏保护作用丧失模型,然后进行蛋白质组学分析,以探索线粒体内膜(MIM)的哪些蛋白质可能参与延迟性心脏保护。大鼠接受1至8周的二氮嗪治疗(20mg•kg-1•d-1),以在不同组中建立心脏保护作用丧失模型。进行血清肌钙蛋白I水平检测和心脏组织细胞凋亡分析。然后,分离二氮嗪治疗0、4和6周后的大鼠MIM并进行蛋白质组学分析。建立H9C2细胞的体外模型,以探索靶向蛋白对延迟性心脏保护的影响。当给予二氮嗪治疗六周或更长时间时,二氮嗪预处理的延迟性心脏保护作用消失。在蛋白质组学分析中鉴定出泛醇 - 细胞色素c还原酶核心蛋白1(UQCRC1)。在H9C2细胞中,二氮嗪处理上调UQCRC1表达,UQCRC1下调可增加氧糖剥夺诱导损伤后的乳酸脱氢酶释放和凋亡率。这些结果表明,UQCRC1可能导致长期二氮嗪治疗诱导的心脏保护作用丧失模型,并在延迟性心脏保护中发挥作用。

https://cdn.ncbi.nlm.nih.gov/pmc/blobs/b1bb/5531499/634176d5b398/pone.0181903.g006.jpg
https://cdn.ncbi.nlm.nih.gov/pmc/blobs/b1bb/5531499/f455b7eb7055/pone.0181903.g001.jpg
https://cdn.ncbi.nlm.nih.gov/pmc/blobs/b1bb/5531499/3fae182a045f/pone.0181903.g002.jpg
https://cdn.ncbi.nlm.nih.gov/pmc/blobs/b1bb/5531499/f5e0b99e95ef/pone.0181903.g003.jpg
https://cdn.ncbi.nlm.nih.gov/pmc/blobs/b1bb/5531499/e66d8006156e/pone.0181903.g004.jpg
https://cdn.ncbi.nlm.nih.gov/pmc/blobs/b1bb/5531499/93099c378736/pone.0181903.g005.jpg
https://cdn.ncbi.nlm.nih.gov/pmc/blobs/b1bb/5531499/634176d5b398/pone.0181903.g006.jpg
https://cdn.ncbi.nlm.nih.gov/pmc/blobs/b1bb/5531499/f455b7eb7055/pone.0181903.g001.jpg
https://cdn.ncbi.nlm.nih.gov/pmc/blobs/b1bb/5531499/3fae182a045f/pone.0181903.g002.jpg
https://cdn.ncbi.nlm.nih.gov/pmc/blobs/b1bb/5531499/f5e0b99e95ef/pone.0181903.g003.jpg
https://cdn.ncbi.nlm.nih.gov/pmc/blobs/b1bb/5531499/e66d8006156e/pone.0181903.g004.jpg
https://cdn.ncbi.nlm.nih.gov/pmc/blobs/b1bb/5531499/93099c378736/pone.0181903.g005.jpg
https://cdn.ncbi.nlm.nih.gov/pmc/blobs/b1bb/5531499/634176d5b398/pone.0181903.g006.jpg

相似文献

1
Ubiquinol-cytochrome c reductase core protein 1 may be involved in delayed cardioprotection from preconditioning induced by diazoxide.泛醇 - 细胞色素c还原酶核心蛋白1可能参与二氮嗪诱导的预处理延迟性心脏保护作用。
PLoS One. 2017 Jul 27;12(7):e0181903. doi: 10.1371/journal.pone.0181903. eCollection 2017.
2
Translocation of connexin 43 to the inner mitochondrial membrane of cardiomyocytes through the heat shock protein 90-dependent TOM pathway and its importance for cardioprotection.连接蛋白43通过热休克蛋白90依赖的TOM途径转运至心肌细胞线粒体内膜及其对心脏保护的重要性。
Circ Res. 2006 Jul 7;99(1):93-101. doi: 10.1161/01.RES.0000230315.56904.de. Epub 2006 Jun 1.
3
Diazoxide-induced cardioprotection via DeltaPsim loss depending on timing of application.二氮嗪通过依赖于应用时间的线粒体膜电位丧失诱导心脏保护作用。
Life Sci. 2006 Oct 12;79(20):1906-12. doi: 10.1016/j.lfs.2006.06.012. Epub 2006 Jun 15.
4
Diazoxide acts more as a PKC-epsilon activator, and indirectly activates the mitochondrial K(ATP) channel conferring cardioprotection against hypoxic injury.二氮嗪更多地作为一种蛋白激酶C-ε激活剂起作用,并间接激活线粒体ATP敏感性钾通道,赋予心脏对缺氧损伤的保护作用。
Br J Pharmacol. 2006 Dec;149(8):1059-70. doi: 10.1038/sj.bjp.0706922. Epub 2006 Oct 16.
5
Mitochondrial K(ATP) channel as an end effector of cardioprotection during late preconditioning: triggering role of nitric oxide.线粒体ATP敏感性钾通道作为晚期预处理心脏保护的终效应器:一氧化氮的触发作用
J Mol Cell Cardiol. 2001 Nov;33(11):2037-46. doi: 10.1006/jmcc.2001.1468.
6
Ischaemic preconditioning and a mitochondrial KATP channel opener both produce cardioprotection accompanied by F1F0-ATPase inhibition in early ischaemia.缺血预处理和线粒体ATP敏感性钾通道开放剂均能产生心脏保护作用,并在早期缺血时伴有F1F0-ATP酶抑制。
Basic Res Cardiol. 2003 Jul;98(4):250-8. doi: 10.1007/s00395-003-0413-z.
7
2,2',4,4'-Tetrabromodiphenyl ether injures cell viability and mitochondrial function of mouse spermatocytes by decreasing mitochondrial proteins Atp5b and Uqcrc1.2,2',4,4'-四溴二苯醚通过降低线粒体蛋白Atp5b和Uqcrc1损害小鼠精母细胞的细胞活力和线粒体功能。
Environ Toxicol Pharmacol. 2016 Sep;46:301-310. doi: 10.1016/j.etap.2016.08.011. Epub 2016 Aug 11.
8
Stimulation of mitochondrial ATP synthase activity - a new diazoxide-mediated mechanism of cardioprotection.刺激线粒体ATP合酶活性——二氮嗪介导的一种新的心脏保护机制。
Physiol Res. 2016 Sep 19;65 Suppl 1:S119-27. doi: 10.33549/physiolres.933411.
9
Long-term oral resveratrol intake provides nutritional preconditioning against myocardial ischemia/reperfusion injury: involvement of VDAC1 downregulation.长期口服白藜芦醇可为心肌缺血/再灌注损伤提供营养预处理:与电压依赖性阴离子通道1下调有关。
Mol Nutr Food Res. 2015 Mar;59(3):454-64. doi: 10.1002/mnfr.201400730. Epub 2015 Jan 19.
10
Repeated Non-Invasive Limb Ischemic Preconditioning Confers Cardioprotection Through PKC-Ԑ/STAT3 Signaling in Diabetic Rats.重复无创肢体缺血预处理通过PKC-Ԑ/STAT3信号通路对糖尿病大鼠产生心脏保护作用。
Cell Physiol Biochem. 2018;45(5):2107-2121. doi: 10.1159/000488047. Epub 2018 Mar 7.

引用本文的文献

1
Ubiquinol-cytochrome c reductase core protein 1 contributes to cardiac tolerance to acute exhaustive exercise.泛醌细胞色素 c 还原酶核心蛋白 1 有助于心脏对急性力竭运动的耐受。
Exp Biol Med (Maywood). 2022 Jan;247(2):165-173. doi: 10.1177/15353702211046546. Epub 2021 Oct 14.
2
Critical role of UQCRC1 in embryo survival, brain ischemic tolerance and normal cognition in mice.UQCRC1 在胚胎存活、脑缺血耐受和正常认知中具有关键作用。
Cell Mol Life Sci. 2019 Apr;76(7):1381-1396. doi: 10.1007/s00018-019-03007-6. Epub 2019 Jan 21.

本文引用的文献

1
Overexpression of Ubiquinol-Cytochrome c Reductase Core Protein 1 May Protect H9c2 Cardiac Cells by Binding with Zinc.泛醌细胞色素 c 还原酶核心蛋白 1 的过表达可能通过与锌结合来保护 H9c2 心脏细胞。
Biomed Res Int. 2017;2017:1314297. doi: 10.1155/2017/1314297. Epub 2017 Jun 6.
2
Atorvastatin Protects Myocardium Against Ischemia-Reperfusion Injury Through Inhibiting miR-199a-5p.阿托伐他汀通过抑制miR-199a-5p保护心肌免受缺血再灌注损伤。
Cell Physiol Biochem. 2016;39(3):1021-30. doi: 10.1159/000447809. Epub 2016 Aug 19.
3
2,2',4,4'-Tetrabromodiphenyl ether injures cell viability and mitochondrial function of mouse spermatocytes by decreasing mitochondrial proteins Atp5b and Uqcrc1.
2,2',4,4'-四溴二苯醚通过降低线粒体蛋白Atp5b和Uqcrc1损害小鼠精母细胞的细胞活力和线粒体功能。
Environ Toxicol Pharmacol. 2016 Sep;46:301-310. doi: 10.1016/j.etap.2016.08.011. Epub 2016 Aug 11.
4
Mitochondrial Protein PGAM5 Regulates Mitophagic Protection against Cell Necroptosis.线粒体蛋白PGAM5调节线粒体自噬对细胞坏死性凋亡的保护作用。
PLoS One. 2016 Jan 25;11(1):e0147792. doi: 10.1371/journal.pone.0147792. eCollection 2016.
5
Ischaemic preconditioning preferentially increases protein S-nitrosylation in subsarcolemmal mitochondria.缺血预处理优先增加肌膜下线粒体中的蛋白质S-亚硝基化。
Cardiovasc Res. 2015 May 1;106(2):227-36. doi: 10.1093/cvr/cvv044. Epub 2015 Feb 18.
6
Molecular basis of cardioprotection: signal transduction in ischemic pre-, post-, and remote conditioning.心肌保护的分子基础:缺血预处理、后处理和远程处理中的信号转导。
Circ Res. 2015 Feb 13;116(4):674-99. doi: 10.1161/CIRCRESAHA.116.305348.
7
Influence of levosimendan postconditioning on apoptosis of rat lung cells in a model of ischemia-reperfusion injury.左西孟旦后处理对大鼠肺缺血再灌注损伤模型中肺细胞凋亡的影响。
PLoS One. 2015 Jan 21;10(1):e0114963. doi: 10.1371/journal.pone.0114963. eCollection 2015.
8
Uncoupling protein 3 mediates H₂O₂ preconditioning-afforded cardioprotection through the inhibition of MPTP opening.解偶联蛋白 3 通过抑制 MPTP 开放介导 H₂O₂预处理提供的心脏保护作用。
Cardiovasc Res. 2015 Feb 1;105(2):192-202. doi: 10.1093/cvr/cvu256. Epub 2014 Dec 16.
9
In vivo desflurane preconditioning evokes dynamic alterations of metabolic proteins in the heart--proteomic insights strengthen the link between bioenergetics and cardioprotection.体内地氟烷预处理引发心脏代谢蛋白的动态变化——蛋白质组学见解强化了生物能量学与心脏保护之间的联系。
Cell Physiol Biochem. 2014;33(4):967-81. doi: 10.1159/000358668. Epub 2014 Mar 31.
10
Cardiac insulin-resistance and decreased mitochondrial energy production precede the development of systolic heart failure after pressure-overload hypertrophy.心脏胰岛素抵抗和线粒体能量产生减少先于压力超负荷肥厚后收缩性心力衰竭的发展。
Circ Heart Fail. 2013 Sep 1;6(5):1039-48. doi: 10.1161/CIRCHEARTFAILURE.112.000228. Epub 2013 Jul 16.