Suppr超能文献

丁香树脂醇 - 4 - O - β - D - 葡萄糖苷改变HepG2细胞和C2C12肌管中的脂质和葡萄糖代谢。

Syringaresinol-4---d-glucoside alters lipid and glucose metabolism in HepG2 cells and C2C12 myotubes.

作者信息

Wang Shuai, Wu Chongming, Li Xin, Zhou Yue, Zhang Quanyang, Ma Fuchao, Wei Jianhe, Zhang Xiaopo, Guo Peng

机构信息

Institute of Medicinal Plant Development, Chinese Academy of Medical Sciences & Peking Union Medical College, Beijing 100094, China.

Research Centre on Life Sciences and Environment Sciences, Harbin University of Commerce, Harbin 150076, China.

出版信息

Acta Pharm Sin B. 2017 Jul;7(4):453-460. doi: 10.1016/j.apsb.2017.04.008. Epub 2017 May 9.

Abstract

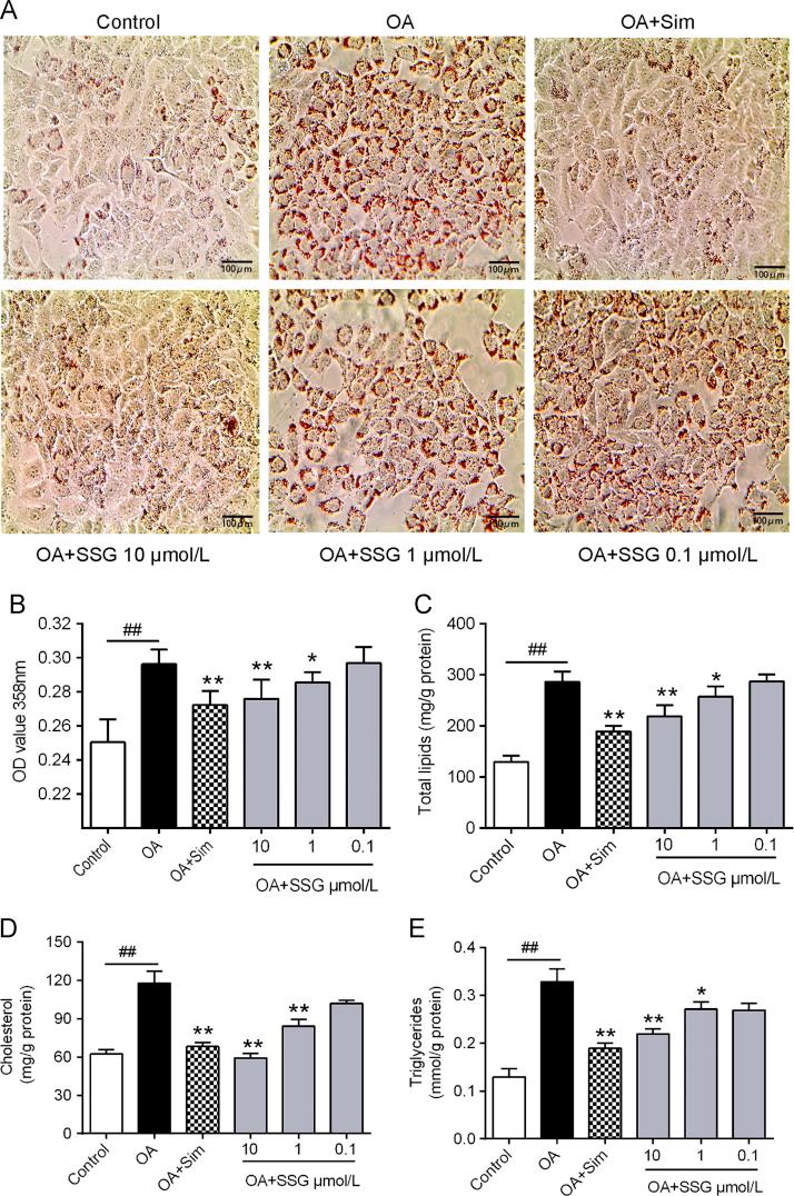
Syringaresinol-4---d-glucoside (SSG), a furofuran-type lignan, was found to modulate lipid and glucose metabolism through an activity screen of lipid accumulation and glucose consumption, and was therefore considered as a promising candidate for the prevention and treatment of metabolic disorder, especially in lipid and glucose metabolic homeostasis. In this study, the effects of SSG on lipogenesis and glucose consumption in HepG2 cells and C2C12 myotubes were further investigated. Treatment with SSG significantly inhibited lipid accumulation by oil red O staining and reduced the intracellular contents of total lipid, cholesterol and triglyceride in HepG2 cells. No effect was observed on cell viability in the MTT assay at concentrations of 0.1-10 μmol/L. SSG also increased glucose consumption by HepG2 cells and glucose uptake by C2C12 myotubes. Furthermore, real-time quantitative PCR revealed that the beneficial effects were associated with the down-regulation of sterol regulatory element-binding proteins-1c, -2 (), fatty acid synthase (), acetyl CoA carboxylase () and hydroxyl methylglutaryl CoA reductase (), and up-regulation of peroxisome proliferator-activated receptors alpha and gamma ( and ). SSG also significantly elevated transcription activity of tested by luciferase assay. These results suggest that SSG is an effective regulator of lipogenesis and glucose consumption and might be a candidate for further research in the prevention and treatment of lipid and glucose metabolic diseases.

摘要

丁香树脂醇-4---D-葡萄糖苷(SSG)是一种呋喃呋喃型木脂素,通过脂质积累和葡萄糖消耗的活性筛选发现其可调节脂质和葡萄糖代谢,因此被认为是预防和治疗代谢紊乱,尤其是脂质和葡萄糖代谢稳态的有前途的候选物。在本研究中,进一步研究了SSG对HepG2细胞和C2C12肌管中脂肪生成和葡萄糖消耗的影响。用SSG处理通过油红O染色显著抑制脂质积累,并降低HepG2细胞中总脂质、胆固醇和甘油三酯的细胞内含量。在0.1-10μmol/L浓度下,MTT试验未观察到对细胞活力的影响。SSG还增加了HepG2细胞的葡萄糖消耗和C2C12肌管的葡萄糖摄取。此外,实时定量PCR显示,有益作用与固醇调节元件结合蛋白-1c、-2()、脂肪酸合酶()、乙酰辅酶A羧化酶()和羟甲基戊二酰辅酶A还原酶()的下调以及过氧化物酶体增殖物激活受体α和γ(和)的上调有关。通过荧光素酶测定,SSG还显著提高了所测试的转录活性。这些结果表明,SSG是脂肪生成和葡萄糖消耗的有效调节剂,可能是进一步研究预防和治疗脂质和葡萄糖代谢疾病的候选物。

https://cdn.ncbi.nlm.nih.gov/pmc/blobs/ed8a/5518665/6cf91d16715f/fx1.jpg

文献检索

告别复杂PubMed语法,用中文像聊天一样搜索,搜遍4000万医学文献。AI智能推荐,让科研检索更轻松。

立即免费搜索

文件翻译

保留排版,准确专业,支持PDF/Word/PPT等文件格式,支持 12+语言互译。

免费翻译文档

深度研究

AI帮你快速写综述,25分钟生成高质量综述,智能提取关键信息,辅助科研写作。

立即免费体验