• 文献检索
  • 文档翻译
  • 深度研究
  • 学术资讯
  • Suppr Zotero 插件Zotero 插件
  • 邀请有礼
  • 套餐&价格
  • 历史记录
应用&插件
Suppr Zotero 插件Zotero 插件浏览器插件Mac 客户端Windows 客户端微信小程序
定价
高级版会员购买积分包购买API积分包
服务
文献检索文档翻译深度研究API 文档MCP 服务
关于我们
关于 Suppr公司介绍联系我们用户协议隐私条款
关注我们

Suppr 超能文献

核心技术专利:CN118964589B侵权必究
粤ICP备2023148730 号-1Suppr @ 2026

文献检索

告别复杂PubMed语法,用中文像聊天一样搜索,搜遍4000万医学文献。AI智能推荐,让科研检索更轻松。

立即免费搜索

文件翻译

保留排版,准确专业,支持PDF/Word/PPT等文件格式,支持 12+语言互译。

免费翻译文档

深度研究

AI帮你快速写综述,25分钟生成高质量综述,智能提取关键信息,辅助科研写作。

立即免费体验

无蒂锯齿状腺瘤伴异型增生:形态学模式及与 MLH1 免疫组化的相关性。

Sessile serrated adenomas with dysplasia: morphological patterns and correlations with MLH1 immunohistochemistry.

机构信息

The Conjoint Gastroenterology Laboratory, QIMR Berghofer Medical Research Institute, Brisbane, QLD, Australia.

Faculty of Medicine, University of Queensland, Brisbane, QLD, Australia.

出版信息

Mod Pathol. 2017 Dec;30(12):1728-1738. doi: 10.1038/modpathol.2017.92. Epub 2017 Jul 28.

DOI:10.1038/modpathol.2017.92
PMID:28752838
原文链接:https://pmc.ncbi.nlm.nih.gov/articles/PMC5719122/
Abstract

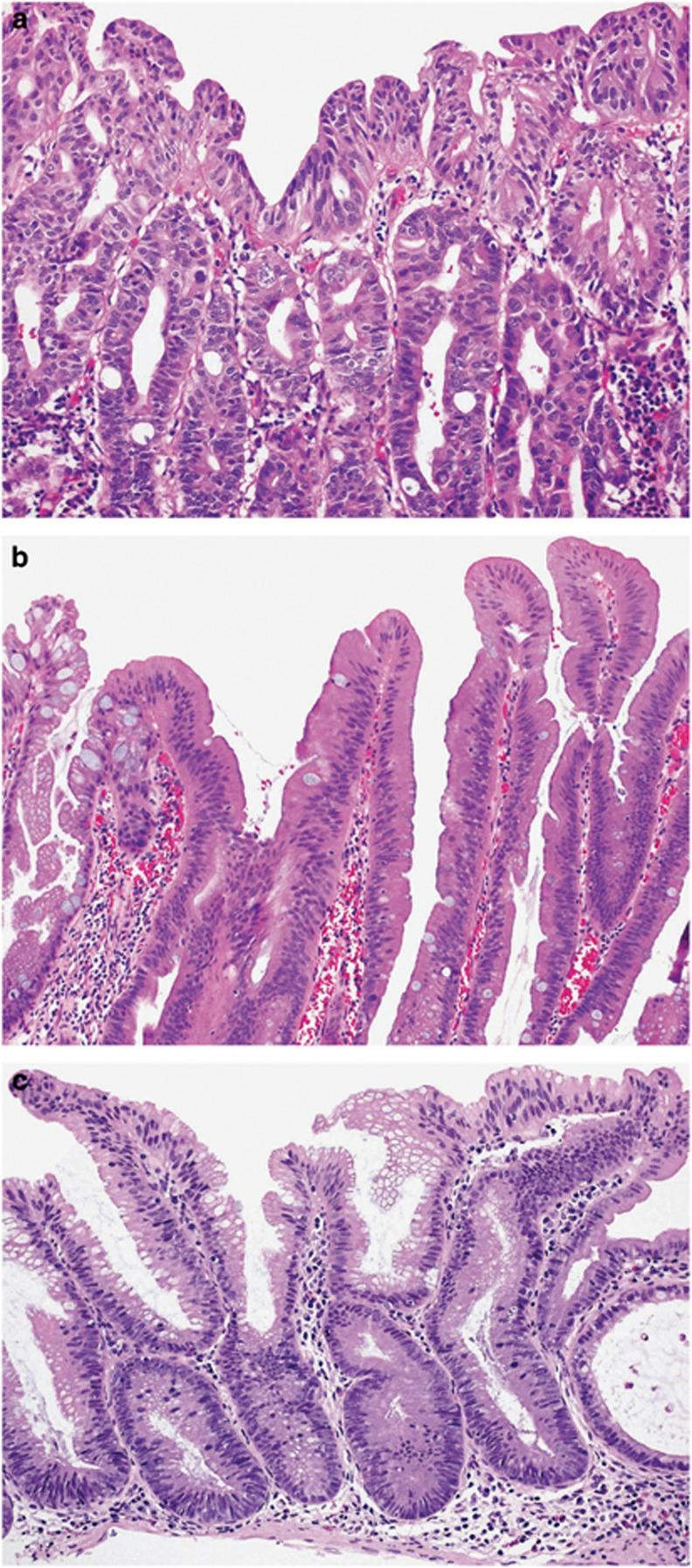
Sessile serrated adenomas are the precursor polyp of approximately 20% of colorectal carcinomas. Sessile serrated adenomas with dysplasia are rarely encountered and represent an intermediate step to malignant progression, frequently associated with loss of MLH1 expression. Accurate diagnosis of these lesions is important to facilitate appropriate surveillance, particularly because progression from dysplasia to carcinoma can be rapid. The current World Health Organization classification describes two main patterns of dysplasia occurring in sessile serrated adenomas, namely, serrated and conventional. However, this may not adequately reflect the spectrum of changes seen by pathologists in routine practice. Furthermore, subtle patterns of dysplasia that are nevertheless associated with loss of MLH1 expression are not encompassed in this classification. We performed a morphological analysis of 266 sessile serrated adenomas with dysplasia with concurrent MLH1 immunohistochemistry with the aims of better defining the spectrum of dysplasia occurring in these lesions and correlating dysplasia patterns with MLH1 expression. We found that dysplasia can be divided morphologically into four major patterns, comprising minimal deviation (19%), serrated (12%), adenomatous (8%) and not otherwise specified (79%) groups. Minimal deviation dysplasia is defined by minor architectural and cytological changes that typically requires loss of MLH1 immunohistochemical expression to support the diagnosis. Serrated dysplasia and adenomatous dysplasia have distinctive histological features and are less frequently associated with loss of MLH1 expression (13 and 5%, respectively). Finally, dysplasia not otherwise specified encompasses most cases and shows a diverse range of morphological changes that do not fall into the other subgroups and are frequently associated with loss of MLH1 expression (83%). This morphological classification of sessile serrated adenomas with dysplasia may represent an improvement on the current description as it correlates with the underlying mismatch repair protein status of the polyps and better highlights the range of morphologies seen by pathologists.

摘要

无蒂锯齿状腺瘤是大约 20%结直肠癌的前体息肉。有异型增生的无蒂锯齿状腺瘤很少见,代表恶性进展的中间步骤,常伴有 MLH1 表达缺失。准确诊断这些病变对于促进适当的监测很重要,特别是因为异型增生向癌的进展可能很快。目前的世界卫生组织分类描述了无蒂锯齿状腺瘤中两种主要的异型增生模式,即锯齿状和传统型。然而,这可能不能充分反映病理学家在常规实践中看到的变化谱。此外,与 MLH1 表达缺失相关的微妙异型增生模式也不包括在该分类中。我们对 266 例伴有 MLH1 免疫组化的有异型增生的无蒂锯齿状腺瘤进行了形态学分析,目的是更好地定义这些病变中发生的异型增生谱,并将异型增生模式与 MLH1 表达相关联。我们发现,异型增生在形态上可分为四个主要类型,包括最小偏差(19%)、锯齿状(12%)、腺瘤性(8%)和非特指(79%)组。最小偏差异型增生的定义是轻微的结构和细胞学改变,通常需要 MLH1 免疫组化表达缺失来支持诊断。锯齿状异型增生和腺瘤性异型增生具有独特的组织学特征,较少与 MLH1 表达缺失相关(分别为 13%和 5%)。最后,非特指异型增生包含了大多数病例,显示出广泛的形态变化,不属于其他亚组,并且常与 MLH1 表达缺失相关(83%)。这种有异型增生的无蒂锯齿状腺瘤的形态学分类可能优于目前的描述,因为它与息肉的错配修复蛋白状态相关,并且更好地突出了病理学家看到的形态变化范围。

https://cdn.ncbi.nlm.nih.gov/pmc/blobs/36c3/5719122/06cabf9b9110/modpathol201792f5a.jpg
https://cdn.ncbi.nlm.nih.gov/pmc/blobs/36c3/5719122/89115643115c/modpathol201792f1a.jpg
https://cdn.ncbi.nlm.nih.gov/pmc/blobs/36c3/5719122/417940b4e1e5/modpathol201792f2.jpg
https://cdn.ncbi.nlm.nih.gov/pmc/blobs/36c3/5719122/beaf3ee33e8a/modpathol201792f3.jpg
https://cdn.ncbi.nlm.nih.gov/pmc/blobs/36c3/5719122/344e603fb4fd/modpathol201792f4.jpg
https://cdn.ncbi.nlm.nih.gov/pmc/blobs/36c3/5719122/06cabf9b9110/modpathol201792f5a.jpg
https://cdn.ncbi.nlm.nih.gov/pmc/blobs/36c3/5719122/89115643115c/modpathol201792f1a.jpg
https://cdn.ncbi.nlm.nih.gov/pmc/blobs/36c3/5719122/417940b4e1e5/modpathol201792f2.jpg
https://cdn.ncbi.nlm.nih.gov/pmc/blobs/36c3/5719122/beaf3ee33e8a/modpathol201792f3.jpg
https://cdn.ncbi.nlm.nih.gov/pmc/blobs/36c3/5719122/344e603fb4fd/modpathol201792f4.jpg
https://cdn.ncbi.nlm.nih.gov/pmc/blobs/36c3/5719122/06cabf9b9110/modpathol201792f5a.jpg

相似文献

1
Sessile serrated adenomas with dysplasia: morphological patterns and correlations with MLH1 immunohistochemistry.无蒂锯齿状腺瘤伴异型增生:形态学模式及与 MLH1 免疫组化的相关性。
Mod Pathol. 2017 Dec;30(12):1728-1738. doi: 10.1038/modpathol.2017.92. Epub 2017 Jul 28.
2
Loss of expression of MLH1 in non-dysplastic crypts is a harbinger of neoplastic progression in sessile serrated adenomas/polyps.非锯齿状增生性息肉中 MLH1 的表达缺失是锯齿状腺瘤/息肉发生肿瘤进展的先兆。
Histopathology. 2019 Sep;75(3):376-384. doi: 10.1111/his.13874. Epub 2019 Jul 2.
3
Sessile Serrated Adenoma With Dysplasia of the Colon.结直肠无蒂锯齿状腺瘤伴异型增生。
Am J Clin Pathol. 2022 Feb 3;157(2):180-195. doi: 10.1093/ajcp/aqab112.
4
BRAF V600E immunohistochemistry demonstrates that some sessile serrated lesions with adenomatous dysplasia may represent collision lesions.BRAF V600E 免疫组化显示,一些具有腺瘤性异型增生的无蒂锯齿状病变可能代表碰撞病变。
Histopathology. 2019 Jul;75(1):81-87. doi: 10.1111/his.13851. Epub 2019 May 16.
5
Selective expression of gastric mucin MUC6 in colonic sessile serrated adenoma but not in hyperplastic polyp aids in morphological diagnosis of serrated polyps.胃黏蛋白MUC6在结肠无蒂锯齿状腺瘤中选择性表达,而在增生性息肉中不表达,这有助于锯齿状息肉的形态学诊断。
Mod Pathol. 2008 Jun;21(6):660-9. doi: 10.1038/modpathol.2008.55.
6
Molecular characterization of sessile serrated adenoma/polyps with dysplasia/carcinoma based on immunohistochemistry, next-generation sequencing, and microsatellite instability testing: a case series study.基于免疫组织化学、二代测序和微卫星不稳定性检测的伴发育异常/癌的无蒂锯齿状腺瘤/息肉的分子特征:一项病例系列研究
Diagn Pathol. 2018 Nov 20;13(1):88. doi: 10.1186/s13000-018-0771-3.
7
Clinicopathological and molecular features of sessile serrated adenomas with dysplasia or carcinoma.具有异型增生或癌的无蒂锯齿状腺瘤的临床病理和分子特征。
Gut. 2017 Jan;66(1):97-106. doi: 10.1136/gutjnl-2015-310456. Epub 2015 Oct 15.
8
MLH1-deficient Colorectal Carcinoma With Wild-type BRAF and MLH1 Promoter Hypermethylation Harbor KRAS Mutations and Arise From Conventional Adenomas.MLH1 缺陷型结直肠癌伴野生型 BRAF 和 MLH1 启动子高甲基化,携 KRAS 突变,源自传统腺瘤。
Am J Surg Pathol. 2016 Oct;40(10):1390-9. doi: 10.1097/PAS.0000000000000695.
9
Defined morphological criteria allow reliable diagnosis of colorectal serrated polyps and predict polyp genetics.明确的形态学标准可实现结直肠锯齿状息肉的可靠诊断,并预测息肉的遗传学特征。
Virchows Arch. 2014 Jun;464(6):663-72. doi: 10.1007/s00428-014-1569-7. Epub 2014 Apr 12.
10
IGF2 differentially methylated region hypomethylation in relation to pathological and molecular features of serrated lesions.胰岛素样生长因子2差异甲基化区域低甲基化与锯齿状病变的病理及分子特征的关系
World J Gastroenterol. 2014 Aug 7;20(29):10050-61. doi: 10.3748/wjg.v20.i29.10050.

引用本文的文献

1
Whole-Exome Sequencing Analysis of Inflammatory Bowel Disease-Associated Serrated Dysplasia.炎症性肠病相关锯齿状发育异常的全外显子组测序分析
Int J Mol Sci. 2025 Jun 13;26(12):5704. doi: 10.3390/ijms26125704.
2
Progression of dysplasia in sessile serrated lesions with proliferative zone redistribution: 'Top-down growth' as a marker of malignant potential.伴有增殖区重新分布的无蒂锯齿状病变中发育异常的进展:“自上而下生长”作为恶性潜能的标志物
Virchows Arch. 2025 Jun 18. doi: 10.1007/s00428-025-04144-z.
3
[Colon polyps-nomenclature, histology, and molecular pathology].

本文引用的文献

1
Cancer emerging from the recurrence of sessile serrated adenoma/polyp resected endoscopically 5 years ago.癌症源于5年前经内镜切除的无蒂锯齿状腺瘤/息肉的复发。
Jpn J Clin Oncol. 2016 Jan;46(1):89-95. doi: 10.1093/jjco/hyv154. Epub 2015 Nov 3.
2
Clinicopathological and molecular features of sessile serrated adenomas with dysplasia or carcinoma.具有异型增生或癌的无蒂锯齿状腺瘤的临床病理和分子特征。
Gut. 2017 Jan;66(1):97-106. doi: 10.1136/gutjnl-2015-310456. Epub 2015 Oct 15.
3
Serrated neoplasia-role in colorectal carcinogenesis and clinical implications.
[结肠息肉——命名、组织学及分子病理学]
Pathologie (Heidelb). 2025 May;46(3):171-178. doi: 10.1007/s00292-025-01438-6. Epub 2025 Apr 16.
4
Immunohistochemical insights into the pathogenesis of colonic sessile serrated lesions.结肠无蒂锯齿状病变发病机制的免疫组化研究
Arch Clin Cases. 2025 Mar 25;12(1):22-28. doi: 10.22551/2025.46.1201.10307. eCollection 2025.
5
Epithelial-Stromal Polyp With Features of Perineurioma Lacking Covering Serrated Crypts Associated With a Sessile Serrated Lesion With High-Grade Dysplasia of the Colon: A Case Report.具有神经束膜瘤特征且无锯齿状隐窝覆盖的上皮-间质息肉,与结肠高级别异型增生的无蒂锯齿状病变相关:一例报告
Cureus. 2025 Mar 16;17(3):e80681. doi: 10.7759/cureus.80681. eCollection 2025 Mar.
6
The tumour histopathology "glossary" for AI developers.面向人工智能开发者的肿瘤组织病理学“术语表”。
PLoS Comput Biol. 2025 Jan 23;21(1):e1012708. doi: 10.1371/journal.pcbi.1012708. eCollection 2025 Jan.
7
How to "pick up" colorectal serrated lesions and polyps in daily histopathology practice: From terminologies to diagnostic pitfalls.在日常组织病理学实践中如何“识别”结直肠锯齿状病变和息肉:从术语到诊断陷阱
World J Clin Oncol. 2024 Sep 24;15(9):1157-1167. doi: 10.5306/wjco.v15.i9.1157.
8
Clinicopathological Correlates of Dysplastic Sessile Serrated Lesion: A Prospective Cohort Study With a High Detection Rate.发育异常的无蒂锯齿状病变的临床病理相关性:一项高检出率的前瞻性队列研究
Gastro Hep Adv. 2022 Mar 30;1(3):313-320. doi: 10.1016/j.gastha.2021.12.010. eCollection 2022.
9
BRAF-mutant mismatch repair deficient invasive colon cancer regressing to sessile serrated lesion.BRAF 突变型错配修复缺陷型浸润性结肠癌退化为无蒂锯齿状病变。
Clin J Gastroenterol. 2024 Oct;17(5):904-909. doi: 10.1007/s12328-024-02006-w. Epub 2024 Jul 13.
10
Endoscopic characteristics and performance of WASP classification in the diagnosis of colorectal sessile-serrated lesions in Vietnamese patients.越南患者大肠无蒂锯齿状病变诊断中WASP分类的内镜特征及性能
JGH Open. 2024 Jun 24;8(6):e13109. doi: 10.1002/jgh3.13109. eCollection 2024 Jun.
锯齿状肿瘤-在结直肠肿瘤发生中的作用及其临床意义。
Nat Rev Gastroenterol Hepatol. 2015 Jul;12(7):401-9. doi: 10.1038/nrgastro.2015.73. Epub 2015 May 12.
4
Anatomic distribution of sessile serrated adenoma/polyp with and without cytologic dysplasia.伴或不伴细胞学异型增生的无蒂锯齿状腺瘤/息肉的解剖分布。
Arch Pathol Lab Med. 2015 Mar;139(3):388-93. doi: 10.5858/arpa.2013-0523-OA.
5
Association between molecular subtypes of colorectal cancer and patient survival.结直肠癌分子亚型与患者生存率之间的关联。
Gastroenterology. 2015 Jan;148(1):77-87.e2. doi: 10.1053/j.gastro.2014.09.038. Epub 2014 Sep 30.
6
Colorectal serrated pathway cancers and precursors.结直肠锯齿状途径肿瘤及其前体。
Histopathology. 2015 Jan;66(1):49-65. doi: 10.1111/his.12564. Epub 2014 Dec 1.
7
A clinicopathological and molecular analysis of 200 traditional serrated adenomas.200例传统锯齿状腺瘤的临床病理及分子分析
Mod Pathol. 2015 Mar;28(3):414-27. doi: 10.1038/modpathol.2014.122. Epub 2014 Sep 12.
8
Re: Microsatellite instability and BRAF mutation testing in colorectal cancer prognostication.关于:微卫星不稳定性及BRAF突变检测在结直肠癌预后评估中的应用
J Natl Cancer Inst. 2014 Aug 11;106(8). doi: 10.1093/jnci/dju180. Print 2014 Aug.
9
Sessile serrated adenomas/polyps with cytologic dysplasia: a triple threat for interval cancer.伴有细胞学异型增生的无蒂锯齿状腺瘤/息肉:间隔期癌的三重威胁。
Gastrointest Endosc. 2014 Aug;80(2):307-10. doi: 10.1016/j.gie.2014.03.050. Epub 2014 Jun 2.
10
Adenocarcinoma arising in small sessile serrated adenoma/polyp (SSA/P) of the colon: clinicopathological study of eight lesions.结肠小广基锯齿状腺瘤/息肉(SSA/P)中发生的腺癌:8例病变的临床病理研究
Pathol Int. 2014 Mar;64(3):123-32. doi: 10.1111/pin.12147.