Suppr超能文献

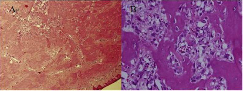
Extraskeletal osteosarcoma in the back.

作者信息

Chang Shu-Mei, Chen Chien-Chin, Fang Chien-Liang, Tung Chun-Liang

机构信息

Department of Pathology, Chia-Yi Christian Hospital, Chiayi, Taiwan.

Department of Cosmetic Science, Chia Nan University of Pharmacy and Science, Tainan, Taiwan.

出版信息

Tzu Chi Med J. 2016 Jan-Mar;28(1):35-36. doi: 10.1016/j.tcmj.2015.11.003. Epub 2015 Dec 19.

Abstract
摘要
https://cdn.ncbi.nlm.nih.gov/pmc/blobs/4697/5509176/8ee9a4b019cb/TCMJ-28-35-g001.jpg

文献AI研究员

20分钟写一篇综述,助力文献阅读效率提升50倍。

立即体验

用中文搜PubMed

大模型驱动的PubMed中文搜索引擎

马上搜索

文档翻译

学术文献翻译模型,支持多种主流文档格式。

立即体验