Suppr超能文献

起源于腹膜后间隙的高分化骨外骨肉瘤复发为间变性梭形细胞肉瘤。

Well-differentiated extraskeletal osteosarcoma arising from the retroperitoneum that recurred as anaplastic spindle cell sarcoma.

作者信息

Arai Hiromasa, Rino Yasushi, Nishii Teppei, Yukawa Norio, Wada Nobuyuki, Oshiro Hisashi, Ishida Tsuyoshi, Nakaigawa Noboru, Masuda Munetaka

机构信息

Department of Pulmonary Medicine (Surgery), Yokohama City University Medical Center, 4-57 Urafune-cho, Minami-ku, Yokohama, 232-0024, Japan.

出版信息

Case Rep Med. 2010;2010:327591. doi: 10.1155/2010/327591. Epub 2010 Mar 4.

Abstract

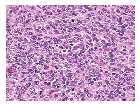
Extraskeletal osteosarcoma is an uncommon high-grade malignant soft tissue sarcoma. Well-differentiated extraskeletal osteosarcoma is thought to have a better prognosis than classical extraskeletal osteosarcoma, but dedifferentiation after recurrence has also been reported. We present a case of a primary retroperitoneal extraskeletal osteosarcoma in a 62-year-old Japanese woman. Abdominal CT revealed a large mass with diffuse calcification in the right retroperitoneal space and tumor resection was performed. The histopathological diagnosis was well-differentiated retroperitoneal extraskeletal osteosarcoma. She was followed up by CT every 6 months without adjuvant radiotherapy and chemotherapy for 31 months until anaplastic high-grade spindle cell sarcoma recurred in the retroperitoneum. Our case is the seventh reported description of well-differentiated extraskeletal sarcoma, and the first to arise in the retroperitoneum and recur as an entirely dedifferentiated spindle cell sarcoma.

摘要

骨外骨肉瘤是一种罕见的高级别恶性软组织肉瘤。高分化骨外骨肉瘤被认为比经典骨外骨肉瘤预后更好,但也有复发后去分化的报道。我们报告一例62岁日本女性原发性腹膜后骨外骨肉瘤病例。腹部CT显示右腹膜后间隙有一伴有弥漫性钙化的巨大肿块,遂行肿瘤切除术。组织病理学诊断为高分化腹膜后骨外骨肉瘤。在未进行辅助放疗和化疗的情况下,每6个月进行一次CT随访,持续31个月,直至腹膜后出现间变性高级别梭形细胞肉瘤复发。我们的病例是第七例报道的高分化骨外肉瘤描述,也是首例发生于腹膜后并复发为完全去分化梭形细胞肉瘤的病例。

https://cdn.ncbi.nlm.nih.gov/pmc/blobs/2b5a/2833305/a2673b4609d1/CRM2010-327591.001.jpg

文献检索

告别复杂PubMed语法,用中文像聊天一样搜索,搜遍4000万医学文献。AI智能推荐,让科研检索更轻松。

立即免费搜索

文件翻译

保留排版,准确专业,支持PDF/Word/PPT等文件格式,支持 12+语言互译。

免费翻译文档

深度研究

AI帮你快速写综述,25分钟生成高质量综述,智能提取关键信息,辅助科研写作。

立即免费体验