• 文献检索
  • 文档翻译
  • 深度研究
  • 学术资讯
  • Suppr Zotero 插件Zotero 插件
  • 邀请有礼
  • 套餐&价格
  • 历史记录
应用&插件
Suppr Zotero 插件Zotero 插件浏览器插件Mac 客户端Windows 客户端微信小程序
定价
高级版会员购买积分包购买API积分包
服务
文献检索文档翻译深度研究API 文档MCP 服务
关于我们
关于 Suppr公司介绍联系我们用户协议隐私条款
关注我们

Suppr 超能文献

核心技术专利:CN118964589B侵权必究
粤ICP备2023148730 号-1Suppr @ 2026

文献检索

告别复杂PubMed语法,用中文像聊天一样搜索,搜遍4000万医学文献。AI智能推荐,让科研检索更轻松。

立即免费搜索

文件翻译

保留排版,准确专业,支持PDF/Word/PPT等文件格式,支持 12+语言互译。

免费翻译文档

深度研究

AI帮你快速写综述,25分钟生成高质量综述,智能提取关键信息,辅助科研写作。

立即免费体验

[胸大肌肿胀提示孤立性肌肉结核]

[Swelling of the pectoralis muscle revealing isolated muscular tuberculosis].

作者信息

Hayoun Sohaib, Ouazzani Hanane El, Habibi Bouchra, Belhabib Salwa, Souhi Hicham, Rhorfi Ismail Abderahmane, Abid Ahmed

机构信息

Service de Pneumologie, Hôpital Militaire et d'Instruction Mohammed V, Rabat, Maroc.

Service d'Anatomopathologie, Hôpital Militaire et d'Instruction Mohammed V, Rabat, Maroc.

出版信息

Pan Afr Med J. 2017 May 18;27:44. doi: 10.11604/pamj.2017.27.44.12419. eCollection 2017.

DOI:10.11604/pamj.2017.27.44.12419
PMID:28761620
原文链接:https://pmc.ncbi.nlm.nih.gov/articles/PMC5516675/
Abstract

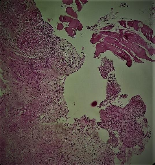
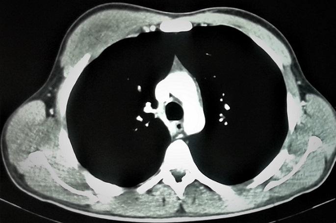
Soft tissue tuberculosis is one of the rare forms of extrapulmonary tuberculosis. Furthermore, isolated muscular tuberculosis is exceptional. We here report the original case of a young immunocompetent patient with isolated muscular tuberculosis involving major pectoralis muscle. The diagnosis was mainly based on histology. The patient was successfully treated with anti bacterial therapy only. This rare case study has been combined with a literature review.

摘要

软组织结核是肺外结核的罕见形式之一。此外,孤立性肌肉结核更是罕见。我们在此报告一例原本健康的年轻患者发生累及胸大肌的孤立性肌肉结核的病例。诊断主要基于组织学检查。该患者仅通过抗菌治疗即获成功治愈。本罕见病例报告还结合了文献综述。

https://cdn.ncbi.nlm.nih.gov/pmc/blobs/c3db/5516675/e9947443be57/PAMJ-27-44-g004.jpg
https://cdn.ncbi.nlm.nih.gov/pmc/blobs/c3db/5516675/3aa1c677f9bf/PAMJ-27-44-g001.jpg
https://cdn.ncbi.nlm.nih.gov/pmc/blobs/c3db/5516675/42fd6ad1abcd/PAMJ-27-44-g002.jpg
https://cdn.ncbi.nlm.nih.gov/pmc/blobs/c3db/5516675/52fb8e5f0a0f/PAMJ-27-44-g003.jpg
https://cdn.ncbi.nlm.nih.gov/pmc/blobs/c3db/5516675/e9947443be57/PAMJ-27-44-g004.jpg
https://cdn.ncbi.nlm.nih.gov/pmc/blobs/c3db/5516675/3aa1c677f9bf/PAMJ-27-44-g001.jpg
https://cdn.ncbi.nlm.nih.gov/pmc/blobs/c3db/5516675/42fd6ad1abcd/PAMJ-27-44-g002.jpg
https://cdn.ncbi.nlm.nih.gov/pmc/blobs/c3db/5516675/52fb8e5f0a0f/PAMJ-27-44-g003.jpg
https://cdn.ncbi.nlm.nih.gov/pmc/blobs/c3db/5516675/e9947443be57/PAMJ-27-44-g004.jpg

相似文献

1
[Swelling of the pectoralis muscle revealing isolated muscular tuberculosis].[胸大肌肿胀提示孤立性肌肉结核]
Pan Afr Med J. 2017 May 18;27:44. doi: 10.11604/pamj.2017.27.44.12419. eCollection 2017.
2
Primary skeletal muscle tuberculosis at an unusual site.罕见部位的原发性骨骼肌结核。
J Pak Med Assoc. 2013 Jan;63(1):126-8.
3
Primary skeletal muscle tuberculosis.原发性骨骼肌结核
Orthopedics. 2003 Mar;26(3):327-8. doi: 10.3928/0147-7447-20030301-15.
4
Skeletal muscle tuberculosis in an immunocompetent patient.
Arch Bronconeumol. 2016 Jun;52(6):340-1. doi: 10.1016/j.arbres.2015.08.012. Epub 2015 Nov 1.
5
Tuberculous abscess of the brachialis and biceps brachii muscles without osseous involvement. A case report.肱肌和肱二头肌结核性脓肿,无骨质受累。病例报告。
J Bone Joint Surg Am. 1999 Dec;81(12):1788.
6
Tuberculous abscess of the brachialis and biceps brachii muscles without osseous involvement. A case report.肱肌和肱二头肌结核性脓肿,无骨质受累。病例报告。
J Bone Joint Surg Am. 1998 Oct;80(10):1521-4. doi: 10.2106/00004623-199810000-00014.
7
Skeletal muscle tuberculosis simultaneously involving multiple sites.同时累及多个部位的骨骼肌结核。
J Pediatr Orthop B. 2013 Mar;22(2):167-9. doi: 10.1097/BPB.0b013e328354b04d.
8
[Muscular tuberculosis: an unusual focus of Koch bacillus].[肌肉结核:结核杆菌的罕见病灶]
Rev Chir Orthop Reparatrice Appar Mot. 2004 Feb;90(1):75-8. doi: 10.1016/s0035-1040(04)70010-0.
9
Paraspinal tuberculosis mimicking malignancy.
Saudi Med J. 2013 Dec;34(12):1296-8.
10
[The so-called primary muscular tuberculosis of the lower leg].[所谓小腿原发性肌肉结核]
Zentralbl Chir. 1973 Oct 12;98(41):1471-5.

引用本文的文献

1
Case Report: Tuberculous abscess of the popliteal fossa: A case report.病例报告:腘窝结核性脓肿:一例报告。
F1000Res. 2023 Sep 25;12:1194. doi: 10.12688/f1000research.138152.1. eCollection 2023.
2
Isolated soft tissue tuberculosis: a case report and literature review.孤立性软组织结核:一例病例报告及文献综述
Front Med (Lausanne). 2023 Nov 15;10:1205446. doi: 10.3389/fmed.2023.1205446. eCollection 2023.

本文引用的文献

1
[Chest wall tuberculosis: report of 3 cases].[胸壁结核:3例报告]
Rev Pneumol Clin. 2015 Oct;71(5):290-3. doi: 10.1016/j.pneumo.2014.12.006. Epub 2015 Feb 26.
2
Atypical extraspinal musculoskeletal tuberculosis in immunocompetent patients: part II, tuberculous myositis, tuberculous bursitis, and tuberculous tenosynovites.免疫功能正常患者的非典型脊柱外肌肉骨骼结核:第二部分,结核性肌炎、结核性滑囊炎和结核性腱鞘炎
Can Assoc Radiol J. 2006 Dec;57(5):278-86.
3
Tuberculous myositis: a rare but existing clinical entity.结核性肌炎:一种罕见但确实存在的临床实体。
Rheumatology (Oxford). 2003 Jul;42(7):836-40. doi: 10.1093/rheumatology/keg228.
4
Soft tissue tuberculosis: a series of 11 cases.软组织结核:11例病例系列
J Rheumatol. 1995 Jul;22(7):1321-5.
5
Tropical myositis: is it an entity and what is its cause?热带性肌炎:它是一种独立的疾病吗?其病因是什么?
Lancet. 1983 Nov 26;2(8361):1240-2. doi: 10.1016/s0140-6736(83)91281-3.
6
Radiographic changes of the ribs.肋骨的影像学改变。
Am J Med Sci. 1967 May;253(5):586-619.
7
Gadolinium-DTPA enhanced MR imaging of intramuscular abscesses.钆-二乙三胺五乙酸增强磁共振成像对肌肉内脓肿的诊断
Magn Reson Imaging. 1987;5(2):109-15. doi: 10.1016/0730-725x(87)90040-3.