• 文献检索
  • 文档翻译
  • 深度研究
  • 学术资讯
  • Suppr Zotero 插件Zotero 插件
  • 邀请有礼
  • 套餐&价格
  • 历史记录
应用&插件
Suppr Zotero 插件Zotero 插件浏览器插件Mac 客户端Windows 客户端微信小程序
定价
高级版会员购买积分包购买API积分包
服务
文献检索文档翻译深度研究API 文档MCP 服务
关于我们
关于 Suppr公司介绍联系我们用户协议隐私条款
关注我们

Suppr 超能文献

核心技术专利:CN118964589B侵权必究
粤ICP备2023148730 号-1Suppr @ 2026

文献检索

告别复杂PubMed语法,用中文像聊天一样搜索,搜遍4000万医学文献。AI智能推荐,让科研检索更轻松。

立即免费搜索

文件翻译

保留排版,准确专业,支持PDF/Word/PPT等文件格式,支持 12+语言互译。

免费翻译文档

深度研究

AI帮你快速写综述,25分钟生成高质量综述,智能提取关键信息,辅助科研写作。

立即免费体验

下颌骨常规骨肉瘤在对新辅助化疗反应不佳后经根治性手术和辅助化疗成功治疗:一例报告

Conventional osteosarcoma of the mandible successfully treated with radical surgery and adjuvant chemotherapy after responding poorly to neoadjuvant chemotherapy: a case report.

作者信息

Kimura Yutaro, Tomihara Kei, Tachinami Hidetake, Imaue Shuichi, Nakamori Kenji, Fujiwara Kumiko, Suzuki Kayo, Yasuda Taketoshi, Miwa Shigeharu, Nakayama Eiji, Noguchi Makoto

机构信息

Department of Oral and Maxillofacial Surgery, Graduate School of Medicine and Pharmaceutical Sciences for Research, University of Toyama, 2630 Sugitani, Toyama city, Toyama, 930-0194, Japan.

Department of Oral and Maxillofacial Surgery, Naha City Hospital, 2-31-1 Furujima, Naha, Okinawa, 902-8511, Japan.

出版信息

J Med Case Rep. 2017 Aug 2;11(1):210. doi: 10.1186/s13256-017-1386-0.

DOI:10.1186/s13256-017-1386-0
PMID:28764797
原文链接:https://pmc.ncbi.nlm.nih.gov/articles/PMC5540298/
Abstract

BACKGROUND

Osteosarcoma, the most common primary bone malignancy, has an extremely poor prognosis and a high rate of local recurrence and distal metastases. Because osteosarcomas of the head and neck region are rare, accounting for less than 10% of all osteosarcoma cases, limited information is available about their treatment and prognosis. Because of the high rate of distal metastases associated with extragnathic osteosarcoma, surgery combined with chemotherapy is currently considered essential in its treatment. However, the role of chemotherapy has not been well elucidated in the treatment of head and neck osteosarcoma because of the rarity of this condition.

CASE PRESENTATION

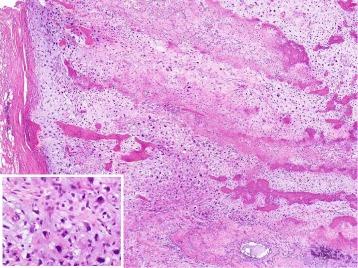
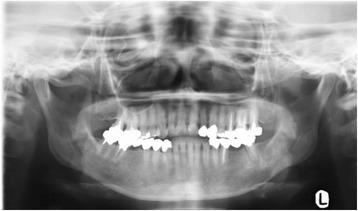
In this report, we present the case of a 58-year-old Japanese woman with osteosarcoma of the mandible that was treated with radical surgery combined with neoadjuvant and adjuvant chemotherapy. Because the tumor showed rapid growth during neoadjuvant chemotherapy, neoadjuvant chemotherapy was suspended and surgical resection was performed, followed by adjuvant chemotherapy. No evidence of local recurrence and distal metastasis was found 14 months after initial treatment. Local control is considered a principal prognostic factor for head and neck osteosarcoma.

CONCLUSIONS

Wide surgical excision should be considered a primary goal even during neoadjuvant chemotherapy, especially in cases that respond poorly to neoadjuvant chemotherapy.

摘要

背景

骨肉瘤是最常见的原发性骨恶性肿瘤,预后极差,局部复发率和远处转移率高。由于头颈部骨肉瘤罕见,占所有骨肉瘤病例的比例不到10%,因此关于其治疗和预后的信息有限。由于颌骨外骨肉瘤的远处转移率高,目前认为手术联合化疗是其治疗的关键。然而,由于这种情况罕见,化疗在头颈部骨肉瘤治疗中的作用尚未得到充分阐明。

病例报告

在本报告中,我们介绍了一名58岁日本女性下颌骨肉瘤患者的病例,该患者接受了根治性手术联合新辅助化疗和辅助化疗。由于肿瘤在新辅助化疗期间生长迅速,新辅助化疗暂停并进行了手术切除,随后进行辅助化疗。初始治疗14个月后未发现局部复发和远处转移迹象。局部控制被认为是头颈部骨肉瘤的主要预后因素。

结论

即使在新辅助化疗期间,也应将广泛的手术切除视为主要目标,尤其是对新辅助化疗反应不佳的病例。

https://cdn.ncbi.nlm.nih.gov/pmc/blobs/482c/5540298/82da159bf9e3/13256_2017_1386_Fig4_HTML.jpg
https://cdn.ncbi.nlm.nih.gov/pmc/blobs/482c/5540298/eac124aa78cc/13256_2017_1386_Fig1_HTML.jpg
https://cdn.ncbi.nlm.nih.gov/pmc/blobs/482c/5540298/6391f19f6de3/13256_2017_1386_Fig2_HTML.jpg
https://cdn.ncbi.nlm.nih.gov/pmc/blobs/482c/5540298/ccace093a9fd/13256_2017_1386_Fig3_HTML.jpg
https://cdn.ncbi.nlm.nih.gov/pmc/blobs/482c/5540298/82da159bf9e3/13256_2017_1386_Fig4_HTML.jpg
https://cdn.ncbi.nlm.nih.gov/pmc/blobs/482c/5540298/eac124aa78cc/13256_2017_1386_Fig1_HTML.jpg
https://cdn.ncbi.nlm.nih.gov/pmc/blobs/482c/5540298/6391f19f6de3/13256_2017_1386_Fig2_HTML.jpg
https://cdn.ncbi.nlm.nih.gov/pmc/blobs/482c/5540298/ccace093a9fd/13256_2017_1386_Fig3_HTML.jpg
https://cdn.ncbi.nlm.nih.gov/pmc/blobs/482c/5540298/82da159bf9e3/13256_2017_1386_Fig4_HTML.jpg

相似文献

1
Conventional osteosarcoma of the mandible successfully treated with radical surgery and adjuvant chemotherapy after responding poorly to neoadjuvant chemotherapy: a case report.下颌骨常规骨肉瘤在对新辅助化疗反应不佳后经根治性手术和辅助化疗成功治疗:一例报告
J Med Case Rep. 2017 Aug 2;11(1):210. doi: 10.1186/s13256-017-1386-0.
2
Free osseous and soft tissue surgical margins as prognostic factors in mandibular osteosarcoma.游离骨与软组织手术切缘作为下颌骨肉瘤的预后因素
Oral Oncol. 2006 Feb;42(2):172-6. doi: 10.1016/j.oraloncology.2005.06.027. Epub 2005 Oct 24.
3
Interdisciplinary combined treatment of craniofacial osteosarcoma with neoadjuvant and adjuvant chemotherapy and excision of the tumour: a retrospective study.颅面部骨肉瘤的新辅助和辅助化疗联合肿瘤切除的多学科综合治疗:一项回顾性研究。
Br J Oral Maxillofac Surg. 2008 Oct;46(7):533-6. doi: 10.1016/j.bjoms.2008.03.010. Epub 2008 Apr 23.
4
[Cheek paresthesia by an osteosarcoma].[骨肉瘤导致的面颊感觉异常]
Ned Tijdschr Tandheelkd. 2010 Apr;117(4):215-8. doi: 10.5177/ntvt2010.04.09161.
5
Osteosarcomas of the mandible: multidisciplinary management of a rare tumor of the young adult a cooperative study of the GSF-GETO, Rare Cancer Network, GETTEC/REFCOR and SFCE.下颌骨骨肉瘤:青年罕见肿瘤的多学科综合治疗 GSF-GETO、罕见癌症网络、GETTEC/REFCOR 和 SFCE 的合作研究。
Ann Oncol. 2013 Mar;24(3):824-31. doi: 10.1093/annonc/mds507. Epub 2012 Nov 6.
6
Marginal resection for osteosarcoma with effective neoadjuvant chemotherapy: long-term outcomes.骨肉瘤的边缘切除联合有效的新辅助化疗:长期疗效
World J Surg Oncol. 2014 Nov 11;12:341. doi: 10.1186/1477-7819-12-341.
7
A modified preauricular and transmandibular approach for surgical management of osteosarcoma of the mandibular condyle within the masticator space and infratemporal fossa: a case report.一种改良的耳前和经下颌入路用于咀嚼肌间隙和颞下窝内下颌骨髁突骨肉瘤的手术治疗:病例报告
J Med Case Rep. 2019 Mar 12;13(1):58. doi: 10.1186/s13256-019-1975-1.
8
Head and neck osteosarcoma at the University of Washington.华盛顿大学的头颈部骨肉瘤
Head Neck. 1997 Sep;19(6):513-23. doi: 10.1002/(sici)1097-0347(199709)19:6<513::aid-hed9>3.0.co;2-1.
9
[Prognostic factors for the local recurrence of osteosarcoma in extremities treated with combined therapy].[肢体骨肉瘤联合治疗后局部复发的预后因素]
Zhonghua Wai Ke Za Zhi. 2007 Aug 15;45(16):1114-7.
10
Pulmonary metastases of stage IIB extremity osteosarcoma and subsequent pulmonary metastases.IIB期肢体骨肉瘤的肺转移及后续肺转移
J Clin Oncol. 1994 Sep;12(9):1849-58. doi: 10.1200/JCO.1994.12.9.1849.

引用本文的文献

1
Low-Grade Chondroid Variant Osteosarcoma: A Rare Case Report and Diagnostic Insights.低级别软骨样变异型骨肉瘤:一例罕见病例报告及诊断见解
J Pharm Bioallied Sci. 2024 Dec;16(Suppl 5):S4925-S4928. doi: 10.4103/jpbs.jpbs_1292_24. Epub 2025 Jan 30.
2
Clinical and Pathological Features of Osteosarcomas of the Jaws: A Retrospective Study.颌骨骨肉瘤的临床与病理特征:一项回顾性研究
Clin Pract. 2024 May 23;14(3):965-979. doi: 10.3390/clinpract14030077.
3
Osteosarcoma of Head and Neck Region: Tertiary Cancer Care Center Experience.

本文引用的文献

1
Sarcoma classification: an update based on the 2013 World Health Organization Classification of Tumors of Soft Tissue and Bone.肉瘤分类:基于 2013 年世界卫生组织软组织和骨肿瘤分类的更新。
Cancer. 2014 Jun 15;120(12):1763-74. doi: 10.1002/cncr.28657. Epub 2014 Mar 19.
2
Targeting JNK-interacting-protein-1 (JIP1) sensitises osteosarcoma to doxorubicin.靶向JNK相互作用蛋白1(JIP1)可使骨肉瘤对多柔比星敏感。
Oncotarget. 2012 Oct;3(10):1169-81. doi: 10.18632/oncotarget.600.
3
Osteosarcomas of the mandible: are they different from other tumor sites?
头颈部骨肉瘤:三级癌症护理中心经验
Indian J Otolaryngol Head Neck Surg. 2024 Feb;76(1):581-586. doi: 10.1007/s12070-023-04216-z. Epub 2023 Oct 8.
4
Carbon-ion radiotherapy in osteosarcoma of the mandible: a case report.碳离子放疗治疗下颌骨肉瘤:一例报告
J Korean Assoc Oral Maxillofac Surg. 2021 Aug 31;47(4):315-320. doi: 10.5125/jkaoms.2021.47.4.315.
5
inhibits growth and promotes apoptosis of osteosarcoma in nude mice through targetly regulating TGIF2 expression.通过靶向调控 TGIF2 表达,抑制裸鼠骨肉瘤的生长并促进其凋亡。
Biosci Rep. 2018 Jun 12;38(3). doi: 10.1042/BSR20180078. Print 2018 Jun 29.
下颌骨骨肉瘤:与其他肿瘤部位有何不同?
Crit Rev Oncol Hematol. 2012 Jun;82(3):280-95. doi: 10.1016/j.critrevonc.2011.07.001. Epub 2011 Aug 24.
4
Impact of close surgical margin on local recurrence and survival in osteosarcoma.骨肉瘤中紧邻手术切缘对局部复发和生存的影响。
Int Orthop. 2012 Jan;36(1):131-7. doi: 10.1007/s00264-011-1230-x. Epub 2011 Mar 15.
5
Osteosarcoma of the jaws: factors influencing prognosis.颌骨骨肉瘤:影响预后的因素
J Oral Maxillofac Surg. 2011 Sep;69(9):2368-75. doi: 10.1016/j.joms.2010.10.023. Epub 2011 Feb 1.
6
Head and neck osteosarcoma.头颈部骨肉瘤。
Am J Otolaryngol. 2011 Nov-Dec;32(6):597-600. doi: 10.1016/j.amjoto.2010.09.002. Epub 2010 Nov 19.
7
Micro-RNA profiles in osteosarcoma as a predictive tool for ifosfamide response.骨肉瘤中 microRNA 谱作为异环磷酰胺反应的预测工具。
Int J Cancer. 2011 Aug 1;129(3):680-90. doi: 10.1002/ijc.25715. Epub 2010 Nov 23.
8
A retrospective clinicopathological study of 59 osteogenic sarcoma of jaw bone archived in a stomatology unit.对存档于某口腔医学科室的59例颌骨骨肉瘤进行的回顾性临床病理研究。
Malays J Pathol. 2010 Jun;32(1):27-34.
9
Sarcomas of the head and neck: a 10-year retrospective of 25 patients to evaluate treatment modalities, function and survival.头颈部肉瘤:对25例患者进行的10年回顾性研究,以评估治疗方式、功能和生存率。
Br J Oral Maxillofac Surg. 2011 Mar;49(2):116-20. doi: 10.1016/j.bjoms.2010.02.012. Epub 2010 Apr 22.
10
Multiinstitutional phase II study of neoadjuvant chemotherapy for osteosarcoma (NECO study) in Japan: NECO-93J and NECO-95J.日本骨肉瘤新辅助化疗多机构II期研究(NECO研究):NECO-93J和NECO-95J
J Orthop Sci. 2009 Jul;14(4):397-404. doi: 10.1007/s00776-009-1347-6. Epub 2009 Aug 7.