• 文献检索
  • 文档翻译
  • 深度研究
  • 学术资讯
  • Suppr Zotero 插件Zotero 插件
  • 邀请有礼
  • 套餐&价格
  • 历史记录
应用&插件
Suppr Zotero 插件Zotero 插件浏览器插件Mac 客户端Windows 客户端微信小程序
定价
高级版会员购买积分包购买API积分包
服务
文献检索文档翻译深度研究API 文档MCP 服务
关于我们
关于 Suppr公司介绍联系我们用户协议隐私条款
关注我们

Suppr 超能文献

核心技术专利:CN118964589B侵权必究
粤ICP备2023148730 号-1Suppr @ 2026

文献检索

告别复杂PubMed语法,用中文像聊天一样搜索,搜遍4000万医学文献。AI智能推荐,让科研检索更轻松。

立即免费搜索

文件翻译

保留排版,准确专业,支持PDF/Word/PPT等文件格式,支持 12+语言互译。

免费翻译文档

深度研究

AI帮你快速写综述,25分钟生成高质量综述,智能提取关键信息,辅助科研写作。

立即免费体验

眼眶海绵状血管瘤:一种不寻常的急性表现。

Cavernous hemangioma of the orbit: an unusual acute presentation.

作者信息

Louisraj Sophia, Ponnudurai Thendral, Rodriguez Dominic, Thomas Philip A, Nelson Jesudasan Christadoss Arul

机构信息

Department of Orbit and Oculoplasty, Joseph Eye Hospital.

Department of Medicine, Kauvery Medical Centre, Tiruchirapalli, India.

出版信息

Int Med Case Rep J. 2017 Jul 24;10:255-259. doi: 10.2147/IMCRJ.S133284. eCollection 2017.

DOI:10.2147/IMCRJ.S133284
PMID:28769595
原文链接:https://pmc.ncbi.nlm.nih.gov/articles/PMC5533564/
Abstract

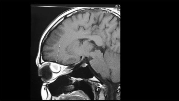
We report an unusual presentation of an orbital cavernous hemangioma in a 26-year-old female, who noted sudden redness and swelling of the left eye (LE) on waking up. At presentation, upper eyelid edema with periorbital ecchymosis and subconjunctival hemorrhage were noted in the LE. Although there was transient symptomatic relief with topical medications, blurring of vision developed in the LE. When seen 10 days later, the patient's LE showed axial proptosis. Magnetic resonance imaging revealed an intraconal soft tissue mass in the superomedial quadrant of the left orbit. Superior orbitotomy with mass excision was done; histopathological examination of the excised mass revealed a cavernous hemangioma. The patient had complete visual recovery following surgery. To our knowledge, an acute presentation of an orbital cavernous hemangioma with subconjunctival hemorrhage and periorbital ecchymosis has not previously been reported.

摘要

我们报告了一例26岁女性眼眶海绵状血管瘤的不寻常表现,该患者醒来时发现左眼突然发红肿胀。就诊时,左眼可见上睑水肿伴眶周瘀斑及结膜下出血。尽管局部用药后症状有短暂缓解,但左眼出现视力模糊。10天后复诊时,患者左眼出现轴性眼球突出。磁共振成像显示左眼眶上内侧象限锥内软组织肿块。行眶上切开术并切除肿块;切除肿块的组织病理学检查显示为海绵状血管瘤。患者术后视力完全恢复。据我们所知,眼眶海绵状血管瘤伴结膜下出血和眶周瘀斑的急性表现此前未见报道。

https://cdn.ncbi.nlm.nih.gov/pmc/blobs/e4a8/5533564/6af762eb62b7/imcrj-10-255Fig11.jpg
https://cdn.ncbi.nlm.nih.gov/pmc/blobs/e4a8/5533564/7e2fbe6e5d77/imcrj-10-255Fig1.jpg
https://cdn.ncbi.nlm.nih.gov/pmc/blobs/e4a8/5533564/3223412134d9/imcrj-10-255Fig2.jpg
https://cdn.ncbi.nlm.nih.gov/pmc/blobs/e4a8/5533564/a915b29c02d6/imcrj-10-255Fig3.jpg
https://cdn.ncbi.nlm.nih.gov/pmc/blobs/e4a8/5533564/2aea241bf06c/imcrj-10-255Fig4.jpg
https://cdn.ncbi.nlm.nih.gov/pmc/blobs/e4a8/5533564/47ad6882590f/imcrj-10-255Fig5.jpg
https://cdn.ncbi.nlm.nih.gov/pmc/blobs/e4a8/5533564/c08eebeeb95e/imcrj-10-255Fig6.jpg
https://cdn.ncbi.nlm.nih.gov/pmc/blobs/e4a8/5533564/f5ff4186cad8/imcrj-10-255Fig7.jpg
https://cdn.ncbi.nlm.nih.gov/pmc/blobs/e4a8/5533564/706259ac98df/imcrj-10-255Fig8.jpg
https://cdn.ncbi.nlm.nih.gov/pmc/blobs/e4a8/5533564/92c388732b5d/imcrj-10-255Fig9.jpg
https://cdn.ncbi.nlm.nih.gov/pmc/blobs/e4a8/5533564/cf71b4e8054c/imcrj-10-255Fig10.jpg
https://cdn.ncbi.nlm.nih.gov/pmc/blobs/e4a8/5533564/6af762eb62b7/imcrj-10-255Fig11.jpg
https://cdn.ncbi.nlm.nih.gov/pmc/blobs/e4a8/5533564/7e2fbe6e5d77/imcrj-10-255Fig1.jpg
https://cdn.ncbi.nlm.nih.gov/pmc/blobs/e4a8/5533564/3223412134d9/imcrj-10-255Fig2.jpg
https://cdn.ncbi.nlm.nih.gov/pmc/blobs/e4a8/5533564/a915b29c02d6/imcrj-10-255Fig3.jpg
https://cdn.ncbi.nlm.nih.gov/pmc/blobs/e4a8/5533564/2aea241bf06c/imcrj-10-255Fig4.jpg
https://cdn.ncbi.nlm.nih.gov/pmc/blobs/e4a8/5533564/47ad6882590f/imcrj-10-255Fig5.jpg
https://cdn.ncbi.nlm.nih.gov/pmc/blobs/e4a8/5533564/c08eebeeb95e/imcrj-10-255Fig6.jpg
https://cdn.ncbi.nlm.nih.gov/pmc/blobs/e4a8/5533564/f5ff4186cad8/imcrj-10-255Fig7.jpg
https://cdn.ncbi.nlm.nih.gov/pmc/blobs/e4a8/5533564/706259ac98df/imcrj-10-255Fig8.jpg
https://cdn.ncbi.nlm.nih.gov/pmc/blobs/e4a8/5533564/92c388732b5d/imcrj-10-255Fig9.jpg
https://cdn.ncbi.nlm.nih.gov/pmc/blobs/e4a8/5533564/cf71b4e8054c/imcrj-10-255Fig10.jpg
https://cdn.ncbi.nlm.nih.gov/pmc/blobs/e4a8/5533564/6af762eb62b7/imcrj-10-255Fig11.jpg

相似文献

1
Cavernous hemangioma of the orbit: an unusual acute presentation.眼眶海绵状血管瘤:一种不寻常的急性表现。
Int Med Case Rep J. 2017 Jul 24;10:255-259. doi: 10.2147/IMCRJ.S133284. eCollection 2017.
2
Orbital spindle cell hemangioma with acute presentation.伴急性发作的眶部梭形细胞血管瘤。
Indian J Pathol Microbiol. 2024 Jul 1;67(3):677-679. doi: 10.4103/ijpm.ijpm_948_22. Epub 2023 Jul 19.
3
Spontaneous orbital haemorrhage secondary to cavernous haemangioma - a case summary and review of literature.继发于海绵状血管瘤的自发性眼眶出血——病例总结及文献回顾。
J Clin Neurosci. 2019 Sep;67:272-275. doi: 10.1016/j.jocn.2019.05.056. Epub 2019 Jun 17.
4
Bilateral Orbital Cavernous Hemangioma.双侧眼眶海绵状血管瘤
Asian J Neurosurg. 2018 Oct-Dec;13(4):1222-1224. doi: 10.4103/ajns.AJNS_96_17.
5
Acute recurrence of orbital cavernous hemangioma in a young man: a case report.年轻男性眶内海绵状血管瘤急性复发:病例报告。
Ophthalmic Plast Reconstr Surg. 2012 Jul-Aug;28(4):e93-5. doi: 10.1097/IOP.0b013e3182364ab9.
6
The superior eyelid crease approach with retroseptal dissection: A modified access to the superomedial intraconal space. Treatment of a cavernous hemangioma: Case report and literature review.经眶隔后剥离的上睑皱襞入路:一种改良的进入眶内上内侧间隙的方法。海绵状血管瘤的治疗:病例报告及文献综述。
Natl J Maxillofac Surg. 2021 Sep-Dec;12(3):410-413. doi: 10.4103/njms.NJMS_420_21. Epub 2021 Dec 13.
7
Cavernous hemangioma with rapidly developing proptosis.伴有迅速进展性眼球突出的海绵状血管瘤。
Int Ophthalmol. 2008 Apr;28(2):125-6. doi: 10.1007/s10792-007-9115-0. Epub 2007 Jul 17.
8
Unusual presentation of an orbital cavernous hemangioma.眼眶海绵状血管瘤的罕见表现。
J Craniofac Surg. 2014 Jul;25(4):e348-9. doi: 10.1097/SCS.0000000000000774.
9
Orbitozygomatic approach for large orbital cavernous hemangioma.眶颧入路治疗大型眼眶海绵状血管瘤
Surg Neurol Int. 2021 Jun 28;12:320. doi: 10.25259/SNI_274_2021. eCollection 2021.
10
Simultaneous diagnosis of ipsilateral adenoid cystic carcinoma of the lacrimal gland and orbital cavernous hemangioma: case report.泪腺腺样囊性癌与眼眶海绵状血管瘤同侧同时诊断:病例报告
Orbit. 2014 Aug;33(4):283-5. doi: 10.3109/01676830.2013.842254. Epub 2014 Apr 30.

引用本文的文献

1
Surgical management and postoperative outcomes of orbital cavernous malformations: A systematic literature review by the EANS skull base section.眼眶海绵状畸形的手术治疗及术后结果:欧洲神经外科协会颅底分会的系统文献综述
Brain Spine. 2025 Jun 22;5:104302. doi: 10.1016/j.bas.2025.104302. eCollection 2025.
2
Biological identity of orbital cavernous venous malformations.眼眶海绵状静脉畸形的生物学特性。
Arq Bras Oftalmol. 2024 Apr 22;87(2):e2023. doi: 10.5935/0004-2749.2023-0338. eCollection 2024.
3
Isolated cavernous venous malformation of the eyelid.

本文引用的文献

1
Acute presentation of vascular disease within the orbit-a descriptive synopsis of mechanisms.眼眶内血管疾病的急性表现——发病机制的描述性概述。
Eye (Lond). 2013 Mar;27(3):299-307. doi: 10.1038/eye.2012.283. Epub 2013 Feb 1.
2
Spontaneous hemorrhage from orbital cavernous hemangioma resulting in sudden onset of ophthalmopathy in an adult--case report.成人眼眶海绵状血管瘤自发性出血导致突发性眼病——病例报告
Neurol Med Chir (Tokyo). 2012;52(10):741-4. doi: 10.2176/nmc.52.741.
3
Acute presentation of cavernous hemangioma of the orbit.
眼睑孤立性海绵状静脉畸形。
Digit J Ophthalmol. 2024 Jan 15;30(1):11-14. doi: 10.5693/djo.02.2023.08.002. eCollection 2024.
4
Intraconal Retroorbital Cavernous Hemangioma - A Case Report.眶内圆锥后海绵状血管瘤——病例报告
Indian J Otolaryngol Head Neck Surg. 2023 Dec;75(4):3925-3928. doi: 10.1007/s12070-023-03984-y. Epub 2023 Jun 19.
5
Cavernous Hemangioma in the Orbital Cavity: Case Report.眶内海绵状血管瘤:病例报告
Eur J Dent. 2022 Feb;16(1):230-233. doi: 10.1055/s-0041-1732948. Epub 2021 Oct 21.
6
Spontaneous bleeding from orbital haemangioma in drug-induced thrombocytopaenia.药物诱导性血小板减少症患者眶部血管瘤自发性出血。
BMJ Case Rep. 2021 Jul 6;14(7):e241741. doi: 10.1136/bcr-2021-241741.
7
A Cavernous Venous Malformation of the Orbit Mimicking an Idiopathic Orbital Inflammation.一例酷似特发性眼眶炎症的眼眶海绵状静脉畸形
Asian J Neurosurg. 2020 Aug 28;15(3):750-752. doi: 10.4103/ajns.AJNS_236_20. eCollection 2020 Jul-Sep.
眼眶海绵状血管瘤的急性表现。
Orbit. 2011 Aug;30(4):195-7. doi: 10.3109/01676830.2011.579684.
4
Extraconal cavernous hemangioma of orbit: A case report.眼眶锥外海绵状血管瘤:一例报告。
Indian J Radiol Imaging. 2008 Nov;18(4):310-2. doi: 10.4103/0971-3026.43849.
5
Orbital cavernous hemangioma: role of imaging.眼眶海绵状血管瘤:影像学的作用
Neuroimaging Clin N Am. 2005 Feb;15(1):137-58. doi: 10.1016/j.nic.2005.02.009.
6
Spontaneous intraorbital hemorrhage caused by cavernous angioma of the orbit.眼眶海绵状血管瘤引起的自发性眶内出血。
J Neurosurg Sci. 1984 Jan-Mar;28(1):37-40.
7
Cavernous haemangiomas of the orbit.眼眶海绵状血管瘤
Aust N Z J Ophthalmol. 1989 Nov;17(4):337-45. doi: 10.1111/j.1442-9071.1989.tb00551.x.
8
Cavernous hemangioma of the orbit.眼眶海绵状血管瘤
J Neurosurg. 1979 Aug;51(2):219-28. doi: 10.3171/jns.1979.51.2.0219.