• 文献检索
  • 文档翻译
  • 深度研究
  • 学术资讯
  • Suppr Zotero 插件Zotero 插件
  • 邀请有礼
  • 套餐&价格
  • 历史记录
应用&插件
Suppr Zotero 插件Zotero 插件浏览器插件Mac 客户端Windows 客户端微信小程序
定价
高级版会员购买积分包购买API积分包
服务
文献检索文档翻译深度研究API 文档MCP 服务
关于我们
关于 Suppr公司介绍联系我们用户协议隐私条款
关注我们

Suppr 超能文献

核心技术专利:CN118964589B侵权必究
粤ICP备2023148730 号-1Suppr @ 2026

文献检索

告别复杂PubMed语法,用中文像聊天一样搜索,搜遍4000万医学文献。AI智能推荐,让科研检索更轻松。

立即免费搜索

文件翻译

保留排版,准确专业,支持PDF/Word/PPT等文件格式,支持 12+语言互译。

免费翻译文档

深度研究

AI帮你快速写综述,25分钟生成高质量综述,智能提取关键信息,辅助科研写作。

立即免费体验

一种用于肋骨骨折骨固定手术的新型可生物降解聚己内酯固定器及研究

A Novel Biodegradable Polycaprolactone Fixator for Osteosynthesis Surgery of Rib Fracture: and Study.

作者信息

Yu Yi-Hsun, Fan Chin-Lung, Hsu Yung-Heng, Chou Ying-Chao, Ueng Steve W N, Liu Shih-Jung

机构信息

Department of Orthopedic Surgery, Musculoskeletal Research Center, Chang Gung Memorial Hospital, Tao-Yuan 33305, Taiwan.

Department of Mechanical Engineering, Chang Gung University, Tao-Yuan 33302, Taiwan.

出版信息

Materials (Basel). 2015 Nov 13;8(11):7714-7722. doi: 10.3390/ma8115415.

DOI:10.3390/ma8115415
PMID:28793672
原文链接:https://pmc.ncbi.nlm.nih.gov/articles/PMC5458921/
Abstract

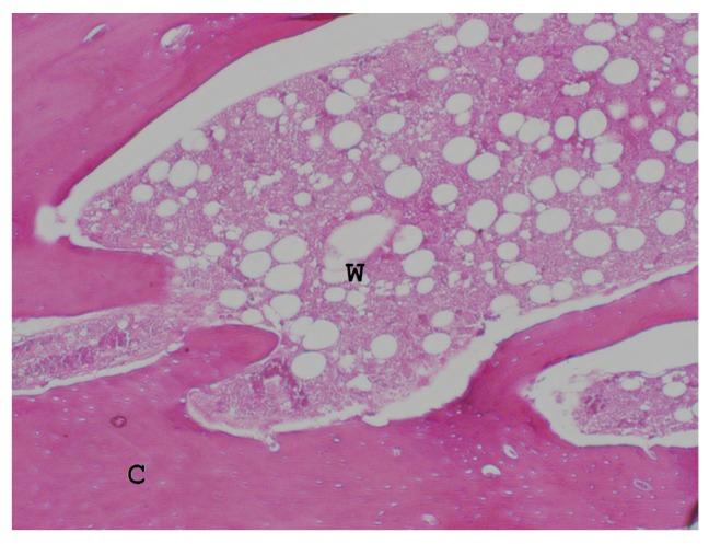
Osteosynthesis surgery for rib fractures is controversial and challenging. This study developed a noval poly(ε-caprolactone) (PCL)-based biodegradable "cable-tie" fixator for osteosynthesis surgery for rib fractures. A biodegradable fixator specifically for fractured ribs was designed and fabricated by a micro-injection molding machine in our laboratory. The fixator has three belts that could be passed through matching holes individually. The locking mechanism allows the belt movement to move in only one direction. To examine the biomechanical performance, ribs 3-7 from four fresh New Zealand rabbits were employed. The load to failure and stress-strain curve was compared in the three-point bending test among native ribs, titanium plate-fixed ribs, and PCL fixator-fixed ribs. In the animal study, the sixth ribs of New Zealand rabbits were osteotomized and osteosynthesis surgery was performed using the PCL fixator. Outcomes were assessed by monthly X-ray examinations, a final micro-computed tomography (CT) scan, and histological analysis. The experimental results suggested that the ribs fixed with the PCL fixator were significantly less stiff than those fixed with titanium plates ( < 0.05). All ribs fixed with the PCL fixators exhibited union. The bridging callus was confirmed by gross, radiographic micro-three-dimensional (3D) CT, and histological examinations. In addition, there was no significant inflammatory response of the osteotomized ribs or the PCL-rib interface during application. The novel PCL fixator developed in this work achieves satisfactory results in osteosynthesis surgery for rib fractures, and may provide potential applications in other orthopedic surgeries.

摘要

肋骨骨折的骨固定手术存在争议且具有挑战性。本研究开发了一种新型的基于聚(ε-己内酯)(PCL)的可生物降解“束带”固定器,用于肋骨骨折的骨固定手术。一种专门用于肋骨骨折的可生物降解固定器在我们实验室通过微注塑成型机设计并制造出来。该固定器有三条束带,可分别穿过匹配的孔。锁定机制使束带只能沿一个方向移动。为了检测生物力学性能,使用了来自四只新鲜新西兰兔的第3 - 7肋骨。在三点弯曲试验中比较了天然肋骨、钛板固定肋骨和PCL固定器固定肋骨的破坏载荷和应力 - 应变曲线。在动物研究中,对新西兰兔的第六肋骨进行截骨,并使用PCL固定器进行骨固定手术。通过每月的X线检查、最终的微型计算机断层扫描(CT)以及组织学分析来评估结果。实验结果表明,用PCL固定器固定的肋骨比用钛板固定的肋骨刚度明显更低( < 0.05)。所有用PCL固定器固定的肋骨均显示愈合。通过大体观察、影像学微型三维(3D)CT和组织学检查证实了骨痂的形成。此外,在应用过程中,截骨肋骨或PCL - 肋骨界面没有明显的炎症反应。本研究中开发的新型PCL固定器在肋骨骨折的骨固定手术中取得了满意的结果,并可能在其他骨科手术中提供潜在应用。

https://cdn.ncbi.nlm.nih.gov/pmc/blobs/fb92/5458921/36bad945c07d/materials-08-05415-g006.jpg
https://cdn.ncbi.nlm.nih.gov/pmc/blobs/fb92/5458921/959fd62e950b/materials-08-05415-g001.jpg
https://cdn.ncbi.nlm.nih.gov/pmc/blobs/fb92/5458921/d9b690dd0e8c/materials-08-05415-g002.jpg
https://cdn.ncbi.nlm.nih.gov/pmc/blobs/fb92/5458921/6b9a1d216b10/materials-08-05415-g003.jpg
https://cdn.ncbi.nlm.nih.gov/pmc/blobs/fb92/5458921/29d941cae82f/materials-08-05415-g004.jpg
https://cdn.ncbi.nlm.nih.gov/pmc/blobs/fb92/5458921/783cedf3cec7/materials-08-05415-g005.jpg
https://cdn.ncbi.nlm.nih.gov/pmc/blobs/fb92/5458921/36bad945c07d/materials-08-05415-g006.jpg
https://cdn.ncbi.nlm.nih.gov/pmc/blobs/fb92/5458921/959fd62e950b/materials-08-05415-g001.jpg
https://cdn.ncbi.nlm.nih.gov/pmc/blobs/fb92/5458921/d9b690dd0e8c/materials-08-05415-g002.jpg
https://cdn.ncbi.nlm.nih.gov/pmc/blobs/fb92/5458921/6b9a1d216b10/materials-08-05415-g003.jpg
https://cdn.ncbi.nlm.nih.gov/pmc/blobs/fb92/5458921/29d941cae82f/materials-08-05415-g004.jpg
https://cdn.ncbi.nlm.nih.gov/pmc/blobs/fb92/5458921/783cedf3cec7/materials-08-05415-g005.jpg
https://cdn.ncbi.nlm.nih.gov/pmc/blobs/fb92/5458921/36bad945c07d/materials-08-05415-g006.jpg

相似文献

1
A Novel Biodegradable Polycaprolactone Fixator for Osteosynthesis Surgery of Rib Fracture: and Study.一种用于肋骨骨折骨固定手术的新型可生物降解聚己内酯固定器及研究
Materials (Basel). 2015 Nov 13;8(11):7714-7722. doi: 10.3390/ma8115415.
2
[Innovated Judet Ribs Plates - Preclinical Study, First Clinical Experience].[创新型Judet肋骨接骨板——临床前研究及首次临床经验]
Acta Chir Orthop Traumatol Cech. 2018;85(3):226-230.
3
Osteosynthesis of partial rib osteotomy in a miniature pig model using human standard-sized magnesium plate/screw systems: Effect of cyclic deformation on implant integrity and bone healing.使用人类标准尺寸镁板/螺钉系统在小型猪模型中进行部分肋骨截骨术的骨合成:循环变形对植入物完整性和骨愈合的影响。
J Craniomaxillofac Surg. 2017 Jun;45(6):862-871. doi: 10.1016/j.jcms.2017.03.018. Epub 2017 Apr 4.
4
A biomechanical study of a polymer material bundled rib fracture fixator.一种聚合物材料捆绑肋骨骨折固定器的生物力学研究。
Technol Health Care. 2024;32(6):4681-4694. doi: 10.3233/THC-240928.
5
[A contribution of multidetector computed tomography to indications for chest wall stabilisation in multiple rib fractures].[多层螺旋计算机断层扫描对多根肋骨骨折胸壁稳定指征的贡献]
Acta Chir Orthop Traumatol Cech. 2011;78(3):258-61.
6
An assessment of outcomes with intramedullary fixation of fractured ribs.肋骨骨折髓内固定术的疗效评估
J Cardiothorac Surg. 2016 Aug 5;11(1):126. doi: 10.1186/s13019-016-0510-3.
7
Rib osteosynthesis is a safe and effective treatment and leads to a significant reduction of trauma associated pain.肋骨骨合成术是一种安全有效的治疗方法,可显著减轻与创伤相关的疼痛。
Eur J Trauma Emerg Surg. 2019 Aug;45(4):623-630. doi: 10.1007/s00068-018-01062-5. Epub 2019 Apr 15.
8
Analysis of bone healing in flail chest injury: do we need to fix both fractures per rib?连枷胸损伤中骨愈合的分析:我们是否需要每根肋骨固定两处骨折?
J Trauma Acute Care Surg. 2014 Sep;77(3):452-8. doi: 10.1097/TA.0000000000000375.
9
General principles for the clinical use of the LCP.锁定加压钢板临床应用的一般原则。
Injury. 2003 Nov;34 Suppl 2:B31-42. doi: 10.1016/j.injury.2003.09.023.
10
Systemic administration of mesenchymal stem cells combined with parathyroid hormone therapy synergistically regenerates multiple rib fractures.间充质干细胞的全身给药联合甲状旁腺激素治疗可协同促进多处肋骨骨折的再生。
Stem Cell Res Ther. 2017 Mar 9;8(1):51. doi: 10.1186/s13287-017-0502-9.

引用本文的文献

1
An innovative animal experimental model of rib fracture with bone displacement.一种具有骨移位的肋骨骨折创新动物实验模型。
BMC Surg. 2025 Mar 28;25(1):123. doi: 10.1186/s12893-025-02861-5.
2
Biodegradable Antimicrobial Agent/Analgesic/Bone Morphogenetic Protein-Loaded Nanofibrous Fixators for Bone Fracture Repair.可生物降解的抗菌药物/镇痛药/骨形态发生蛋白负载的纳米纤维固定器,用于骨折修复。
Int J Nanomedicine. 2021 Aug 11;16:5357-5370. doi: 10.2147/IJN.S325885. eCollection 2021.
3
A new instrument for surgical stabilization of multiple rib fractures.

本文引用的文献

1
From implantation to degradation - are poly (l-lactide)/multiwall carbon nanotube composite materials really cytocompatible?从植入到降解——聚(L-丙交酯)/多壁碳纳米管复合材料真的具有细胞相容性吗?
Nanomedicine. 2014 Jul;10(5):1041-51. doi: 10.1016/j.nano.2013.12.012. Epub 2014 Jan 7.
2
Biodegradable cisplatin-eluting tracheal stent for malignant airway obstruction: in vivo and in vitro studies.可生物降解顺铂洗脱气管支架治疗恶性气道阻塞:体内外研究。
Chest. 2013 Jul;144(1):193-199. doi: 10.1378/chest.12-2282.
3
Structural integrity of intramedullary rib fixation using a single bioresorbable screw.
一种用于多发性肋骨骨折手术固定的新型器械。
J Int Med Res. 2020 Feb;48(2):300060519877076. doi: 10.1177/0300060519877076. Epub 2019 Sep 30.
4
Novel electrospun poly(ε-caprolactone)/type I collagen nanofiber conduits for repair of peripheral nerve injury.用于修复周围神经损伤的新型电纺聚(ε-己内酯)/I型胶原纳米纤维导管
Neural Regen Res. 2019 Sep;14(9):1617-1625. doi: 10.4103/1673-5374.255997.
5
Development of a socket-type rib coaptation device made of poly-L-lactide fibers: feasibility study in a canine model.聚-L-丙交酯纤维制成的套接式肋骨贴合装置的研制:犬模型的可行性研究
J Thorac Dis. 2018 Apr;10(4):2213-2222. doi: 10.21037/jtd.2018.03.75.
使用单个生物可吸收螺钉固定髓内肋骨的结构完整性。
J Trauma Acute Care Surg. 2012 Sep;73(3):668-73. doi: 10.1097/TA.0b013e3182569f75.
4
Experimental absorbable stent permits airway remodeling.实验性可吸收支架可实现气道重塑。
J Thorac Cardiovasc Surg. 2011 Feb;141(2):463-8. doi: 10.1016/j.jtcvs.2010.08.008. Epub 2010 Sep 29.
5
Rib fracture fixation: controversies and technical challenges.肋骨骨折固定术:争议与技术挑战
Am Surg. 2010 Aug;76(8):793-802.
6
Biomechanical testing of two devices for internal fixation of fractured ribs.两种肋骨骨折内固定装置的生物力学测试
J Trauma. 2010 May;68(5):1234-8. doi: 10.1097/TA.0b013e3181ae555e.
7
Surgical stabilization of rib fractures using Inion OTPS wraps--techniques and quality of life follow-up.使用Inion OTPS绷带对肋骨骨折进行手术固定——技术及生活质量随访
J Trauma. 2009 Sep;67(3):596-601. doi: 10.1097/TA.0b013e3181ad8cb7.
8
Biodegradable poly(epsilon-caprolactone) nanowires for bone tissue engineering applications.用于骨组织工程应用的可生物降解聚(ε-己内酯)纳米线
Biomaterials. 2009 Feb;30(5):780-8. doi: 10.1016/j.biomaterials.2008.10.022. Epub 2008 Nov 14.
9
Reduction of rib fractures with a bioresorbable plating system: preliminary observations.
J Trauma. 2008 May;64(5):1264-9. doi: 10.1097/TA.0b013e3180340e31.
10
Acidosis inhibits bone formation by osteoblasts in vitro by preventing mineralization.酸中毒在体外通过阻止矿化抑制成骨细胞的骨形成。
Calcif Tissue Int. 2005 Sep;77(3):167-74. doi: 10.1007/s00223-004-0285-8. Epub 2005 Jul 28.